VECTASTAIN® ABC SYSTEMS
VECTASTAIN® ABC detection systems use macromolecular, preformed Avidin-Biotin Complexes (ABC complexes) to produce high sensitivity, low background, reproducible staining due to the form and number of active enzyme molecules comprising the ABC reagents.

The supplier does not provide quotations for this product through SelectScience. You can search for similar products in our Product Directory.
Excellent results
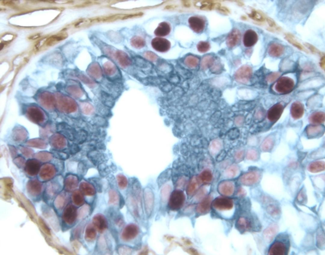
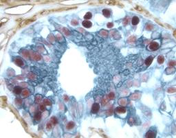
Immunocytochemistry
Affordable, easy-to-use, high quality product that yields great results
Review Date: 19 Sept 2016 | Vector Laboratories Inc.
VECTASTAIN® ABC Kits are modular - they can be configured for compatibility with a large number of different primary antibodies and target species and are available with a choice of detection enzymes.
VECTASTAIN® ABC Reagents are versatile - they can be used to detect any molecule that is biotinylated (antibodies, nucleic acids, neuronal tracers, lectins, and other ligands) in a wide variety of applications (IHC, ICC, ISH blot detection).
VECTASTAIN® ABC Kits are economical and are a staple product for immunodetection.
- Advanced avidin/biotin technology: The Elite® ABC complex is smaller, very uniform, and highly active, allowing more accessibility for binding to a biotinylated target
- HIghest sensitivity, low background: The VECTASTAIN® Elite® ABC system is the most sensitive avidin/biotin-based peroxidase system. The Elite® ABC series is approximately 5 times more sensitive than the original VECTASTAIN® ABC Kit with the same low background.
- Cost effective: HIgher sensitivity leads to lower cost per slide
- Available without (""Standard"" kit) or with biotinylated species-specific or universal secondary antibodies
- Available in ready-to-use formats: Prediluted, stabilized working solutions of Elite® ABC Kit reagents provide the same high sensitivity and low background as the traditional VECTASTAIN® Elite® ABC Kit reagents.

















