Products & ReviewLife Sciences
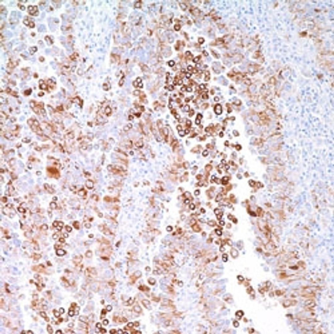
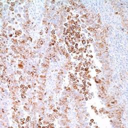
Cytokeratin 5 & 6 (D5 & 16B4)
Cytokeratin 5 & 6 (D5 & 16B4) Mouse Monoclonal Antibody
Twenty identified cytokeratins make up a complex family of intermediate filaments. Cytokeratin 5 (58kDa) & cytokeratin 6 (56kDa) are type II high molecular weight keratins that are expressed in a broad range of normal tissues including breast, prostate, mesothelium, skin and esophagus. Anti-Cytokeratin 5 & 6 is a useful immunohistochemical marker in the identification of mesothelioma and lung squamous cell carcinoma.



















