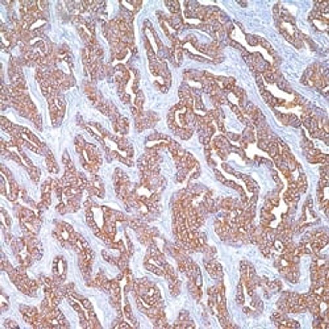
Cytokeratin Cocktail (AE1 & AE3)
Cytokeratin Cocktail (AE1 & AE3) Mouse Monoclonal Antibody
Anti-cytokeratin cocktail (AE1 & AE3) is the broad-spectrum keratin antibody cocktail. It is composed of mouse monoclonal antibody AE1 that recognizes the acidic type I keratins 10, 14, 15, 16, 19, and AE3 that reacts with the basic type II keratins 1, 2, 3, 4, 5, 6, 7, and 8. Both clones were generated using epidermal keratin as immunogen. This antibody detects carcinomas of different organ origin, but is most frequently negative in hepatocellular carcinoma, chromophobe RCC, adrenol cortical carcinoma, some clear cell renal cell carcinomas, and renal oncocytoma. This antibody cocktail can cross-react with other intermediate filaments, such as glial fibrillary acidic protein, giving a false-positive staining in glial tumors.


















