RNAscope™ Chromogenic Assays
Independent of your genes of interest, our easy RNA in situ hybridization assay uses common reagents and protocols; providing universal assay conditions. All RNA-ISH kits contain reagents in a convenient ready-to-use (RTU) format, and chromogenic dyes are available to interrogate a single or two genes simultaneously.

The supplier does not provide quotations for this product through SelectScience. You can search for similar products in our Product Directory.
Easy to use and very effective RNA detection, Go RNAscope.
RNA in situ hybridization
RNAscope chromogenic assay is a great product for in situ hybridization and detection of RNA in a tissue sections. I have used this kit on 6-7 month old FFPE sections and it works beautifully. After sales, the company provides outstanding product support and suggestions on assay optimization.
Review Date: 22 Jul 2020 | Advanced Cell Diagnostics
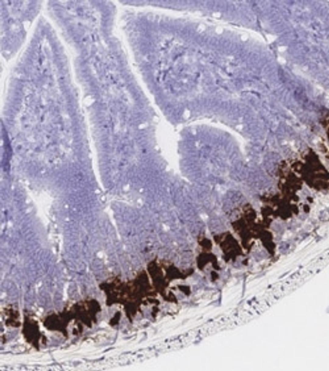
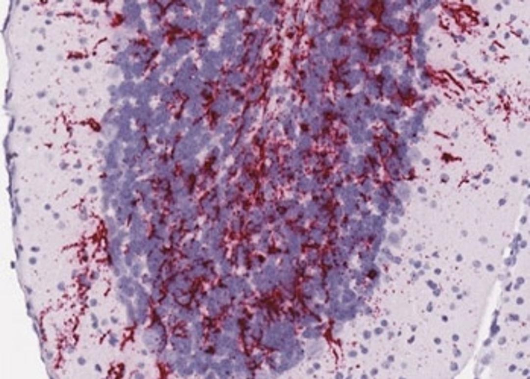
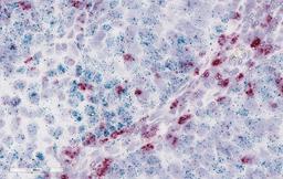
Independent of your genes of interest, our easy RNA in situ hybridization assay uses common reagents and protocols; providing universal assay conditions. All RNA-ISH kits contain reagents in a convenient ready-to-use (RTU) format, and chromogenic dyes are available to interrogate a single or two genes simultaneously. The RNAscope 2.5 High Definition (HD)—BROWN, RED and DUPLEX Assays, are based on ACD’s patented signal amplification and background suppression technology. The assay uses a novel and proprietary method of in situ hybridization (ISH) to visualize single RNA molecules per cell in a multitude of sample types mounted on slides. RNAscope Assays do not require the RNA-free environment used for traditional ISH. Chromogenic assays are ideal starter kit for the first time users. Our very robust assays give reliable results which are ideal for archiving due to the permanent staining. It is the standard in molecular pathology diagnostics, usable for a wide source of samples and the results are visible under any standard bright field microscope.
- Single molecule RNA detection
- Single cell resolution
- Sensitive
- Specific
- Spatial Context






















