Hemacolor®
Cytological Staining Reagents

The supplier does not provide quotations for this product through SelectScience. You can search for similar products in our Product Directory.
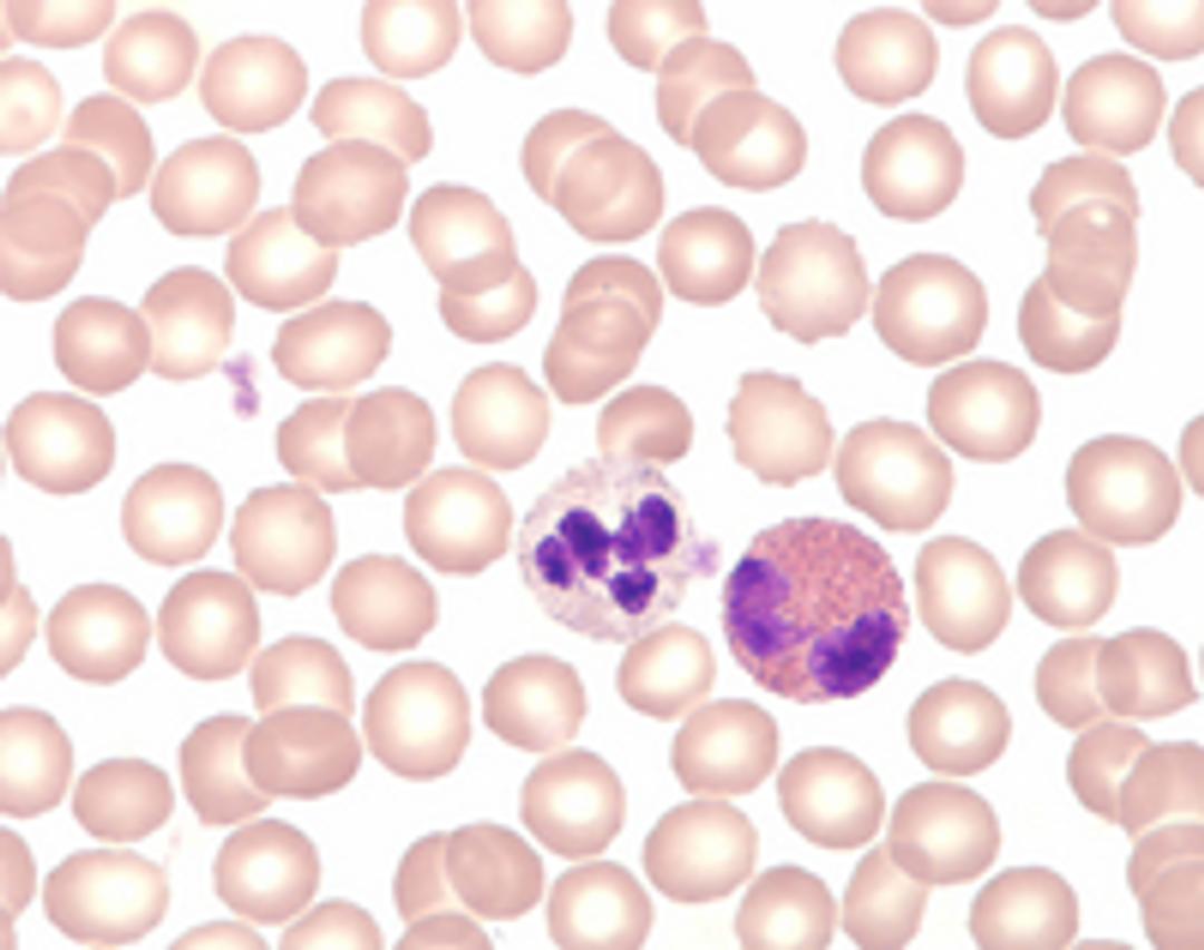
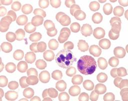
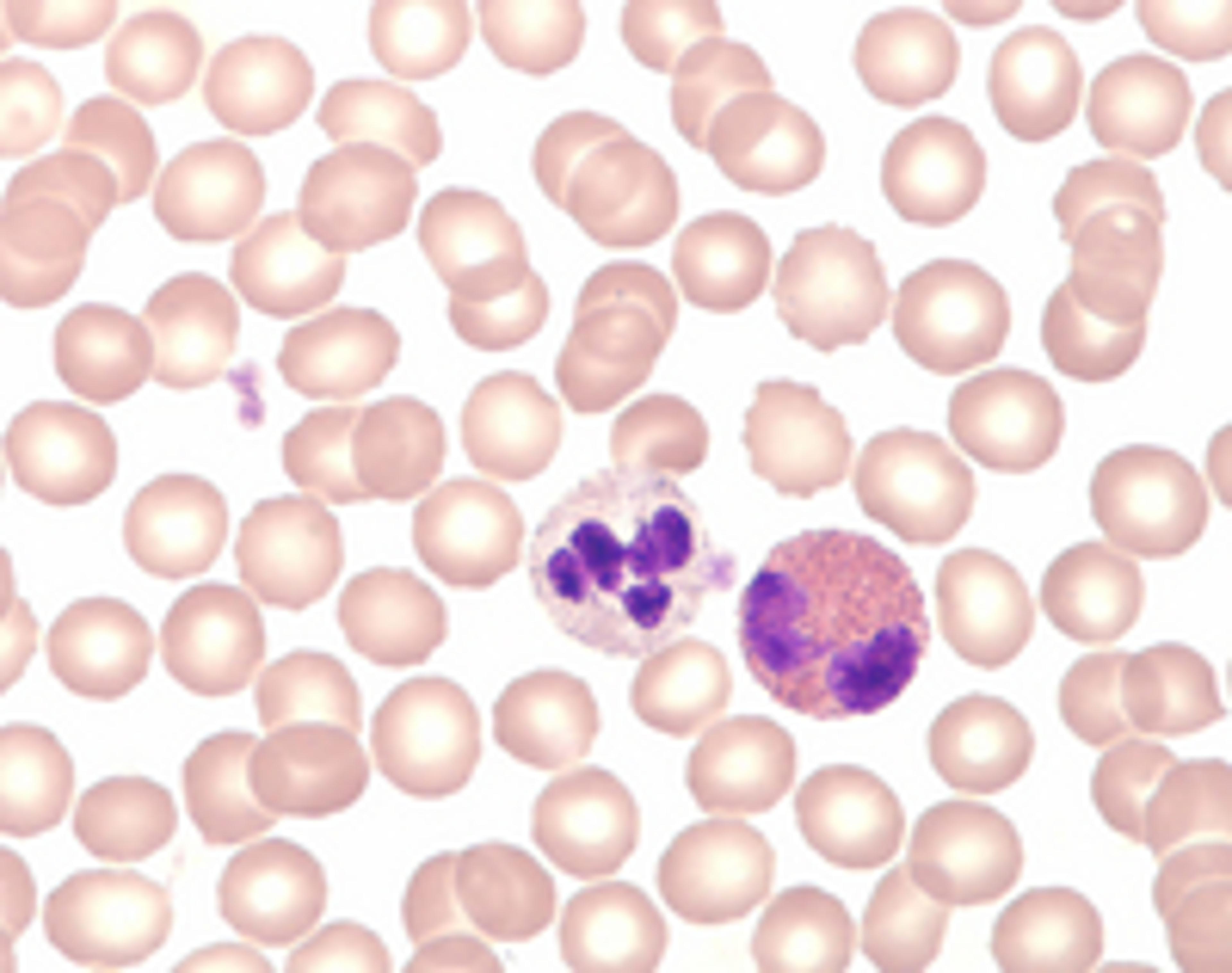
The Hemacolor® staining kit combines the brilliance and reproducibility of the Pappenheim staining with the time-advantage of a rapid stain. The Hemacolor® staining kit contains a fixing solution, one red (eosin) and one blue (azur) staining solution and phosphate buffer tablets pH 7.2 acc. to Weise. The staining solutions are separately applied, which results in a high degree of stability. The conventionally appearing precipitates in the hematological staining solutions, could be avoided in this kit. In addition to blood and bone marrow smears, Hemacolor® can be used in clinical cytology, e.g. for staining urine, sputum, FNAB, sperm, effusions and lavages. A kit contains safe 100-ml or 500-ml PE-bottles and six buffer tablets; sufficient for staining 50 and up to 1000 slides. The Hemacolor® staining kit is certified and registered as CE / IVD product for applications in diagnostics.

















