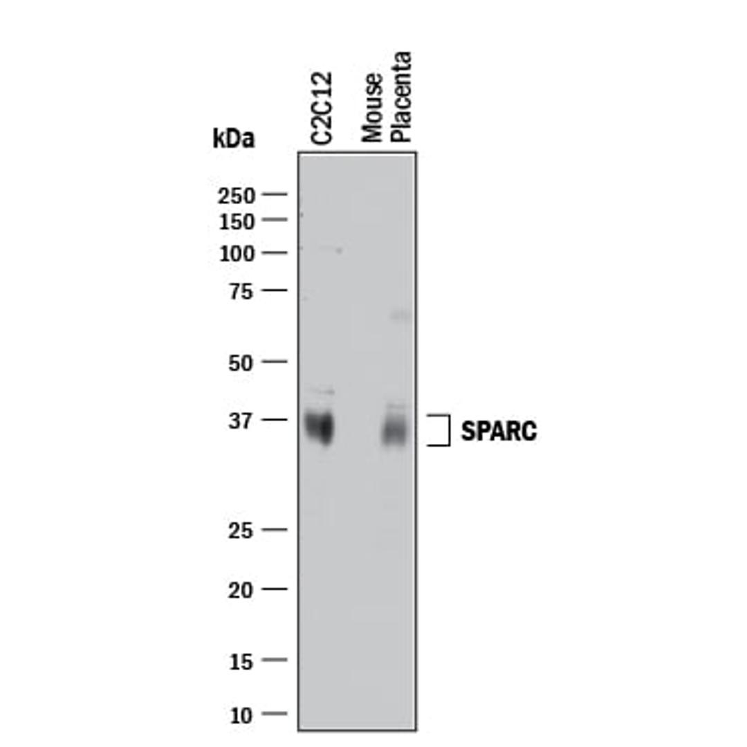
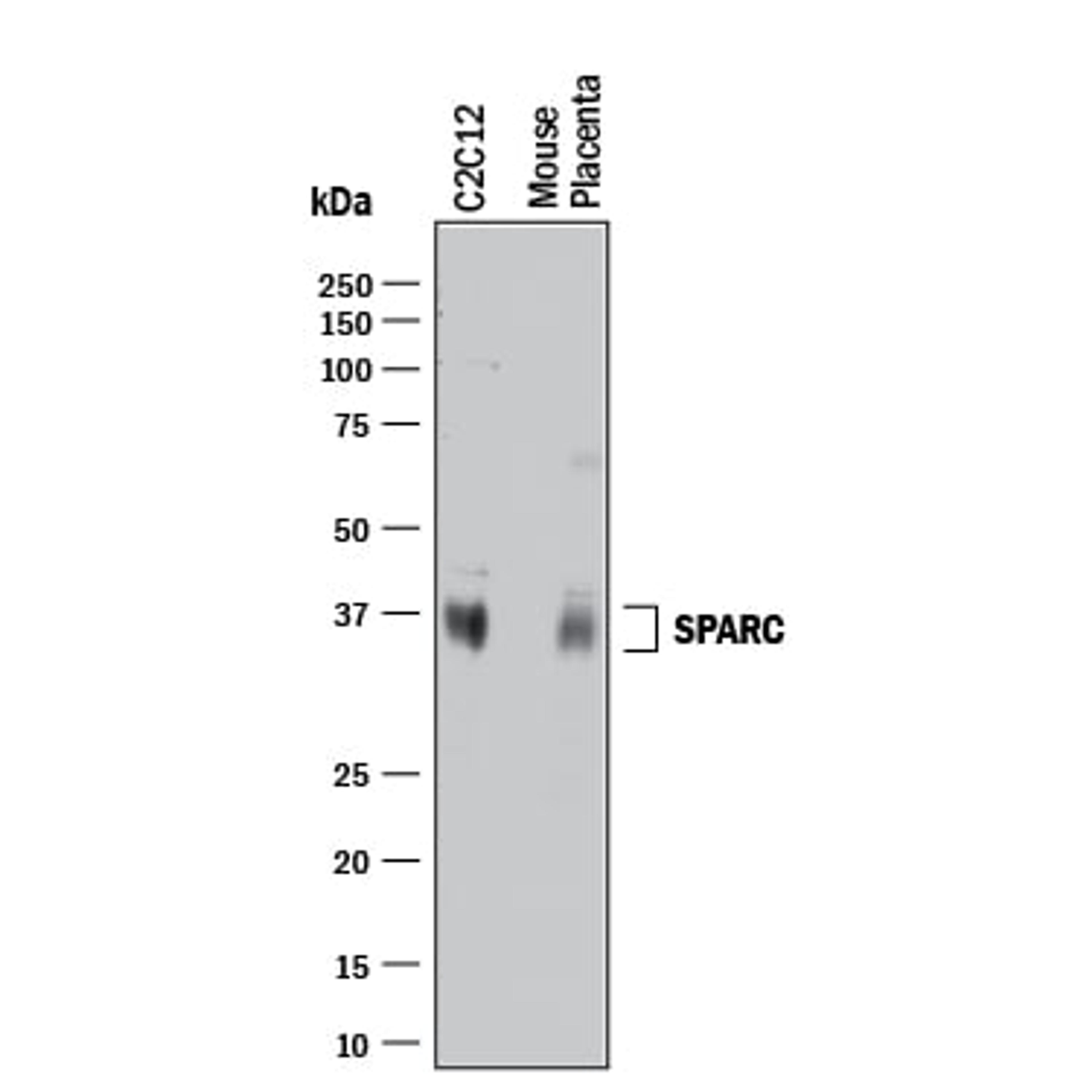
Mouse SPARC Antibody
SPARC, an acronym for “secreted protein, acidic and rich in cysteine”, is also known as osteonectin or BM-40. It is the founding member of a family of secreted matricellular proteins with similar domain structure. The 302 amino acid (aa), 43 kDa protein contains a 17 aa signal sequence, an N-terminal acidic region that binds calcium, a follistatin domain containing Kazal-like sequences, and a C-terminal extracellular calcium (EC) binding domain with two EF-hand motifs. Crystal structure shows that residues implicated in cell binding, inhibition of cell spreading and disassembly of focal adhesions cluster on one face of SPARC, while a collagen binding epitope and an N-glycosylation site are opposite this face. SPARC is produced by fibroblasts, capillary endothelial cells, platelets, and macrophages, especially in areas of tissue morphogenesis and remodeling. SPARC shows context-specific effects, but generally inhibits adhesion, spreading and proliferation, and promotes collagen matrix formation. For endothelial cells, SPARC disrupts focal adhesions and binds and sequesters PDGF and VEGF. SPARC is abundantly expressed in bone, where it promotes osteoblast differentiation and inhibits adipogenesis. SPARC is potentially cleaved by metalloproteinases, producing an angiogenic peptide that includes the copper-binding sequence KGHK. Paradoxically, SPARC is highly expressed in many tumor types, yet expression mainly decreases the likelihood of metastasis and confers sensitivity to chemotherapy and radiation. Stabilin-1, which is expressed on alternately activated macrophages, is the first SPARC receptor to be identified. It binds the SPARC EC domain and mediates endocytosis for degradation. Mature mouse SPARC shows 97%, 92%, 92%, 92%, and 83% aa identity with rat, human, dog, cow, and chick SPARC, respectively.
Product Details
- Cat. No.
- AF942
- Type
- Primary Antibody
- Clonality
- Polyclonal
- Host
- Goat

The supplier does not provide quotations for this antibody through SelectScience. You can search for similar antibodies in our Antibody Directory.
Reviews
Performs consistently well with very little lot to lot variation.
Western blot
This is an antibody that works very well in a number of applications including western blot analysis and immunohistochemistry of cells and tissues.
Review Date: 4 Dec 2018 | Bio-Techne
Applications
- Flow Cytometry (FC)
- Mass Cytometry (CyTOF)
- Western Blotting (WB)
Antibody Overview
About the company

Bio-Techne
Driven by a passion for science, Bio-Techne is a leading supplier of high quality and innovative tools for life science research, therapeutic manufacturing and clinical diagnostics. Bio-Techne empowers researchers in Life Science and Clinical Diagnostics by providing high-quality reagents instruments, custom manufacturing, and testing services. Our family of brands creates a unique portfolio of products and services, including R&D Systems, Novus Biologicals, Tocris, ProteinSimple & ACD.


