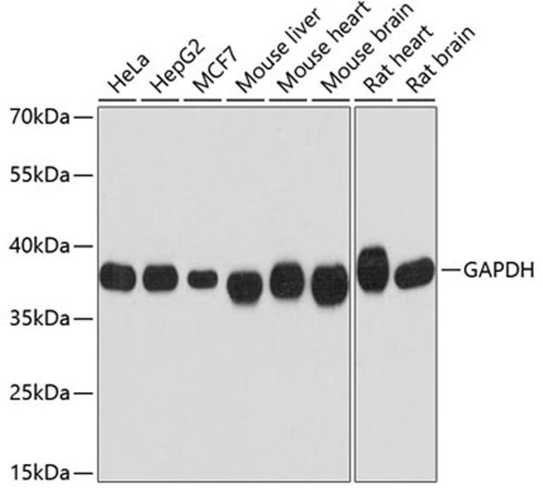
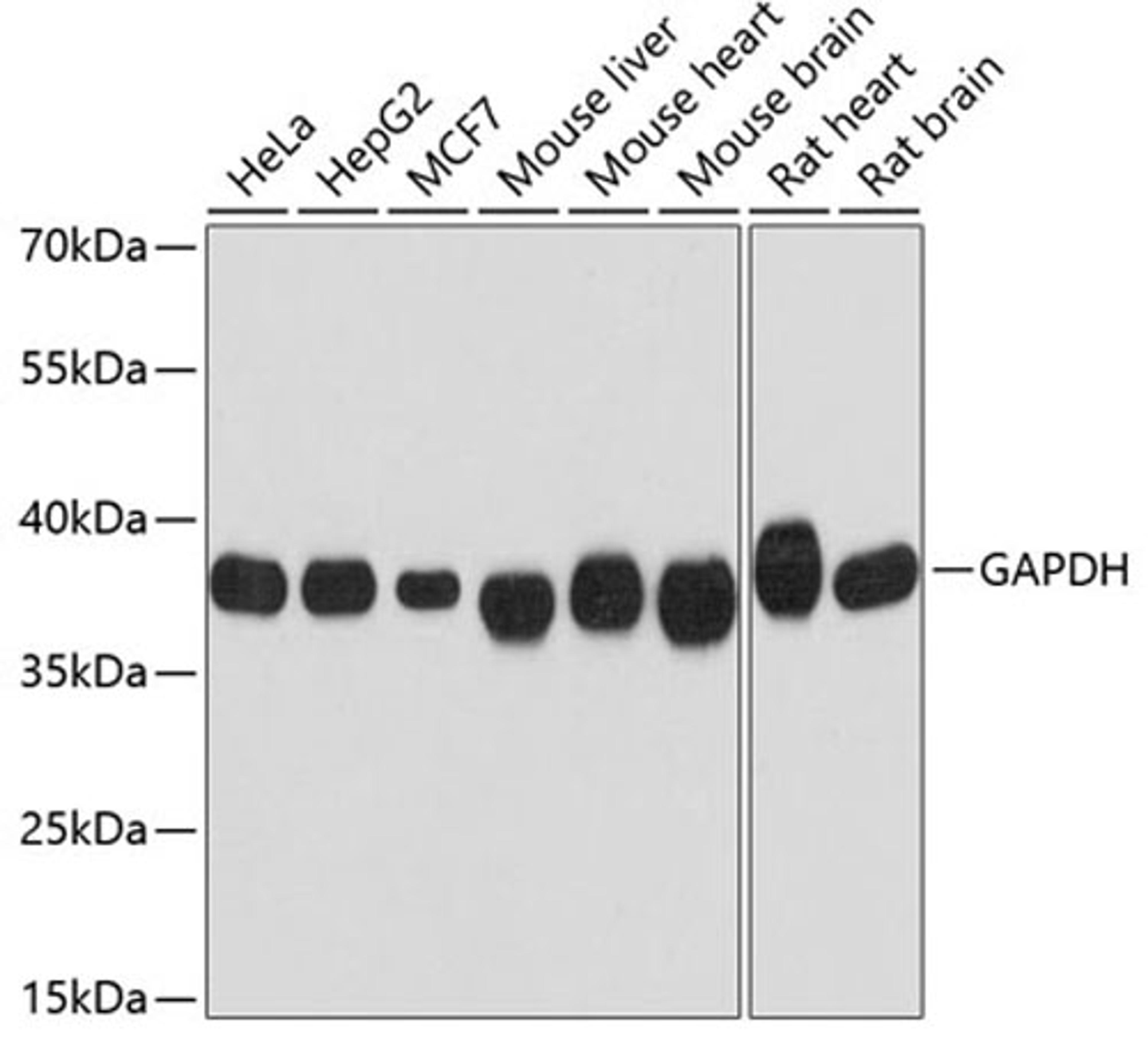
GAPDH Mouse mAb
This gene encodes a member of the glyceraldehyde-3-phosphate dehydrogenase protein family. The encoded protein has been identified as a moonlighting protein based on its ability to perform mechanistically distinct functions. The product of this gene catalyzes an important energy-yielding step in carbohydrate metabolism, the reversible oxidative phosphorylation of glyceraldehyde-3-phosphate in the presence of inorganic phosphate and nicotinamide adenine dinucleotide (NAD). The encoded protein has additionally been identified to have uracil DNA glycosylase activity in the nucleus. Also, this protein contains a peptide that has antimicrobial activity against E. coli, P. aeruginosa, and C. albicans. Studies of a similar protein in mouse have assigned a variety of additional functions including nitrosylation of nuclear proteins, the regulation of mRNA stability, and acting as a transferrin receptor on the cell surface of macrophage. Many pseudogenes similar to this locus are present in the human genome. Alternative splicing results in multiple transcript variants.
Product Details
- Cat. No.
- AC002
- Type
- Primary Antibody
- Clonality
- Monoclonal
- Host
- Mouse

The supplier does not provide quotations for this antibody through SelectScience. You can search for similar antibodies in our Antibody Directory.
Reviews
Performs very well with low sample input.
Western blot
High quality and sensitivity with reproducible results. Works at 1:20,000 with LI-COR Odyssey digital fluorescent imaging (IRdye secondaries).
Review Date: 17 Jun 2021 | ABclonal Technology
Applications
Antibody Overview
About the company

ABclonal Technology
Based in Massachusetts, ABclonal is a rapidly growing bio-solutions provider and custom reagents manufacturer. Our catalog lists 10,000+ self-manufactured antibodies, ELISA kits, enzymes, and more that can help life science researchers study crucial areas, including Cancer, Epigenetics, DNA Damage & Repair, Infectious Diseases among others. In stock products are shipped next day.


