Products & ReviewClinical Diagnostics
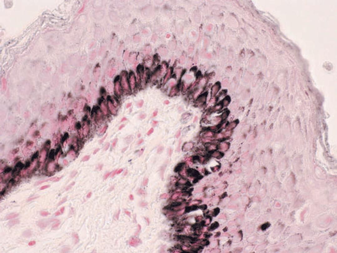
Fontana-Masson Stain Kit
Immunohistochemistry Stains

The supplier does not provide quotations for this product through SelectScience. You can search for similar products in our Product Directory.
Fontana-Masson staining is used for the demonstration of argentaffin substances such as melanin, argentaffin granules and some neurosecretory granules. Staining patterns may be useful in cases of carcinoid tumors and melanoma.

















