M-Series Compact MRI
The M-Series™ systems are cryogen/cooling-free, self-shielded, high-performance MRI systems based on permanent magnet technology. The M-Series systems allow preclinical researchers, with or without in-depth knowledge of MR physics, to utilize the gold standard method in soft tissue imaging without the cost, complexity, and technical burden of superconducting MRI systems.
Based on the permanent magnet technology, there are no special infrastructure requirements, operating and maintenance costs are minimal, and they can be easily integrated into existing lab space. These 1 Tesla systems are optimized for anatomical, functional, and molecular imaging applications in cancer, cardiac, neuroscience, and multimodal imaging. The optional SimPET insert can be integrated with the M-Series for simultaneous PET/MRI acquisition.
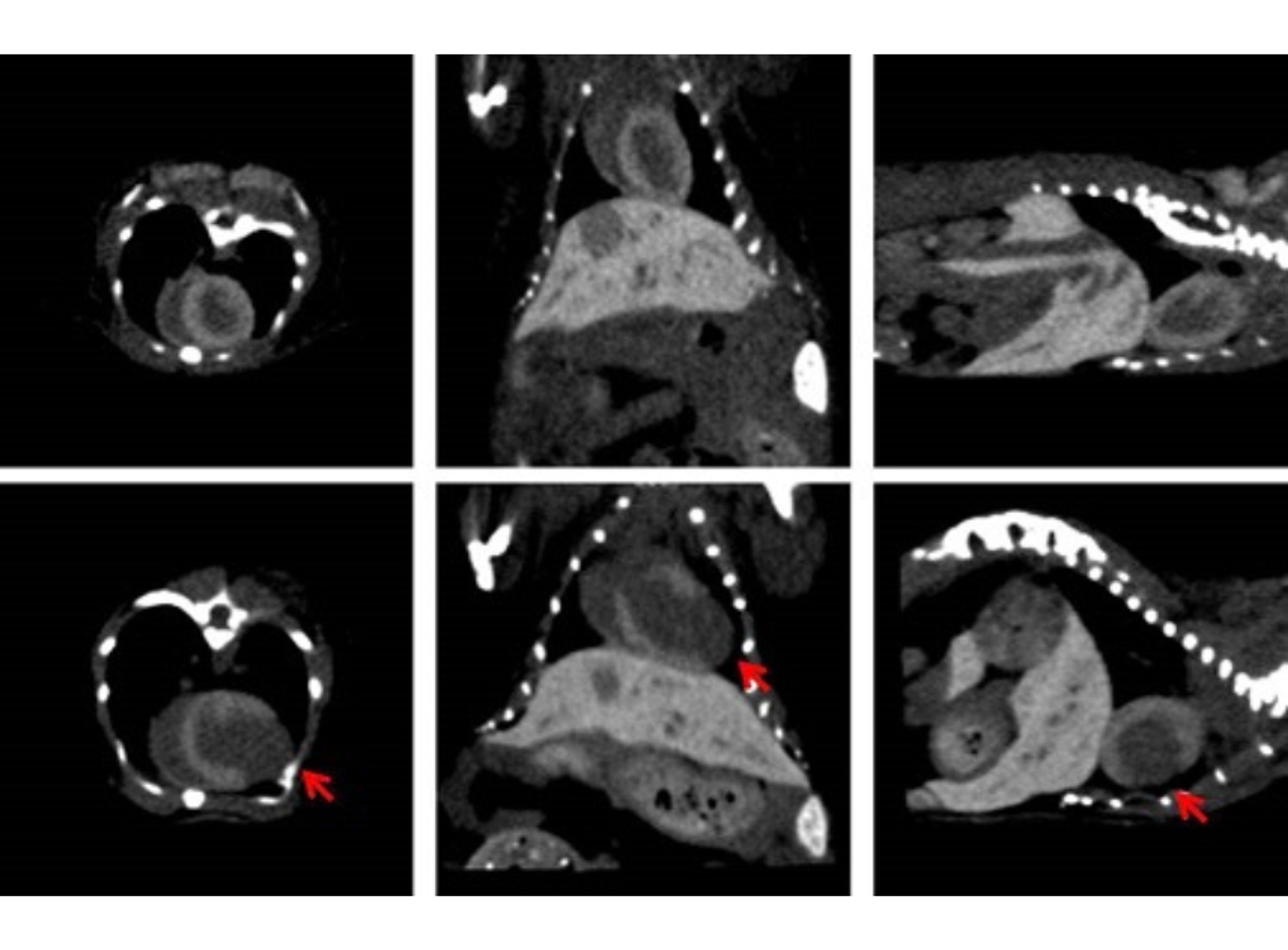
MR contrast agents further enhance the capabilities of this imaging modality, providing invaluable insights into tissue/tumor perfusion, myocardial infarction size, and molecular targets. Gadolinium and Iron-Oxide based contrast agents can be used with the M-Series product line. These systems are ideal for contrast agent imaging as it operates at 1 Tesla (T), which embodies an increased sensitivity to the effects of Gadolinium compared to higher-field MR systems.
Applications
* Anatomy & Morphology
* Neurobiology
* Cancer/Oncology
* Cardiovascular Biology
* Ex vivo Imaging
* Multimodal Imaging
* Contrast Agent-Enabled Functional and Molecular Imaging
Features & Benefits:
* Self-shielded permanent magnet
* Fully integrated physiological monitoring, heating, & anesthesia
* Coils are self-tuned and matched, and the system performs calibrations automatically.
* User-friendly software interface with numerous sequences
* Minimal animal preparation steps
* Affordable purchase price for fully-equipped systems
* No electricity is required to maintain the magnetic field, so no heat dissipation (cryogens or water) is needed
* Hardware and software add-ons are available to allow for integration of other imaging modalities such as PET and bioluminescence
Catalogue Numbers: M3 - AI-PCI-M3, M5 - AI-PCI-M5, M7 - AI-M7+SimPET-S






















