Product & ReviewsAntibodies
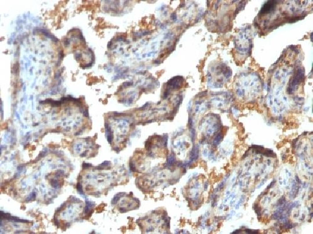
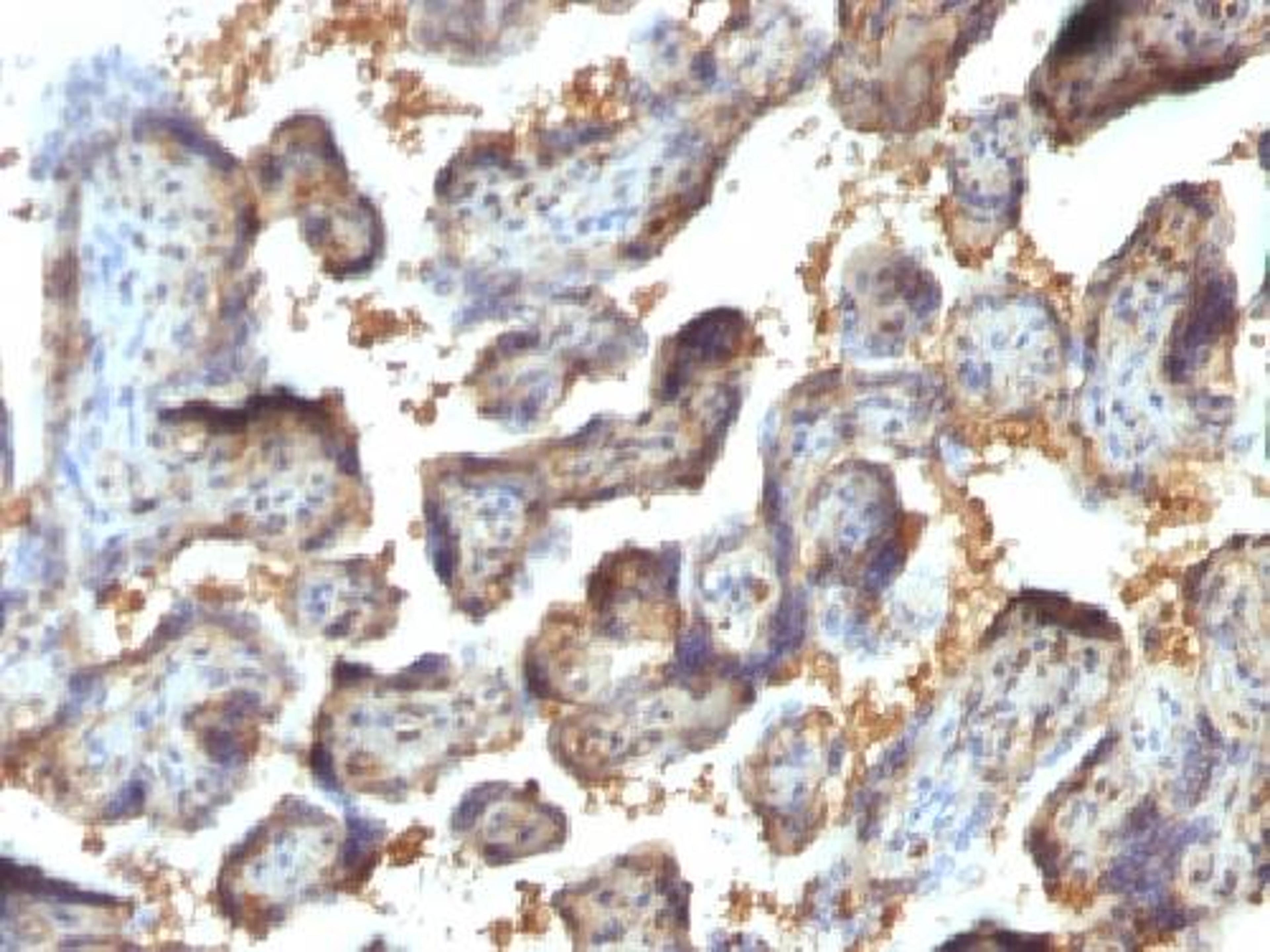
XRCC6 (phospho-70) antibody
Product Details
- Cat. No.
- orb388156
- Type
- Primary Antibody
- Clonality
- Monoclonal
- Host
- Mouse

The supplier does not provide quotations for this antibody through SelectScience. You can search for similar antibodies in our Antibody Directory.
Description
Mouse monoclonal antibody to XRCC6 (phospho-70)
Biological Information
- Clonality: Monoclonal
- Host: Mouse
- Reactivity: Chicken, Human, Mammalian, Primate
- Clone: KU729
- Isotype: IgG1,kappa
- Gene: 3851
Handling
- Quantity: 100 µg
- Storage: Store at 4°C for up to two weeks. For long term storage, aliquot and store at -20°C, avoid freeze/thaw cycles.
- Buffer: 10mM PBS with 0.05% BSA & 0.05% azide
Applications
- Flow Cytometry (FC)
- Immunofluorescence (Paraffin-Embedded Sections) (IF (P))
- Immunohistochemistry (Paraffin-Embedded Sections) (IHC (P))


