Product & ReviewsAntibodies
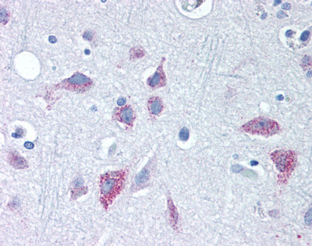
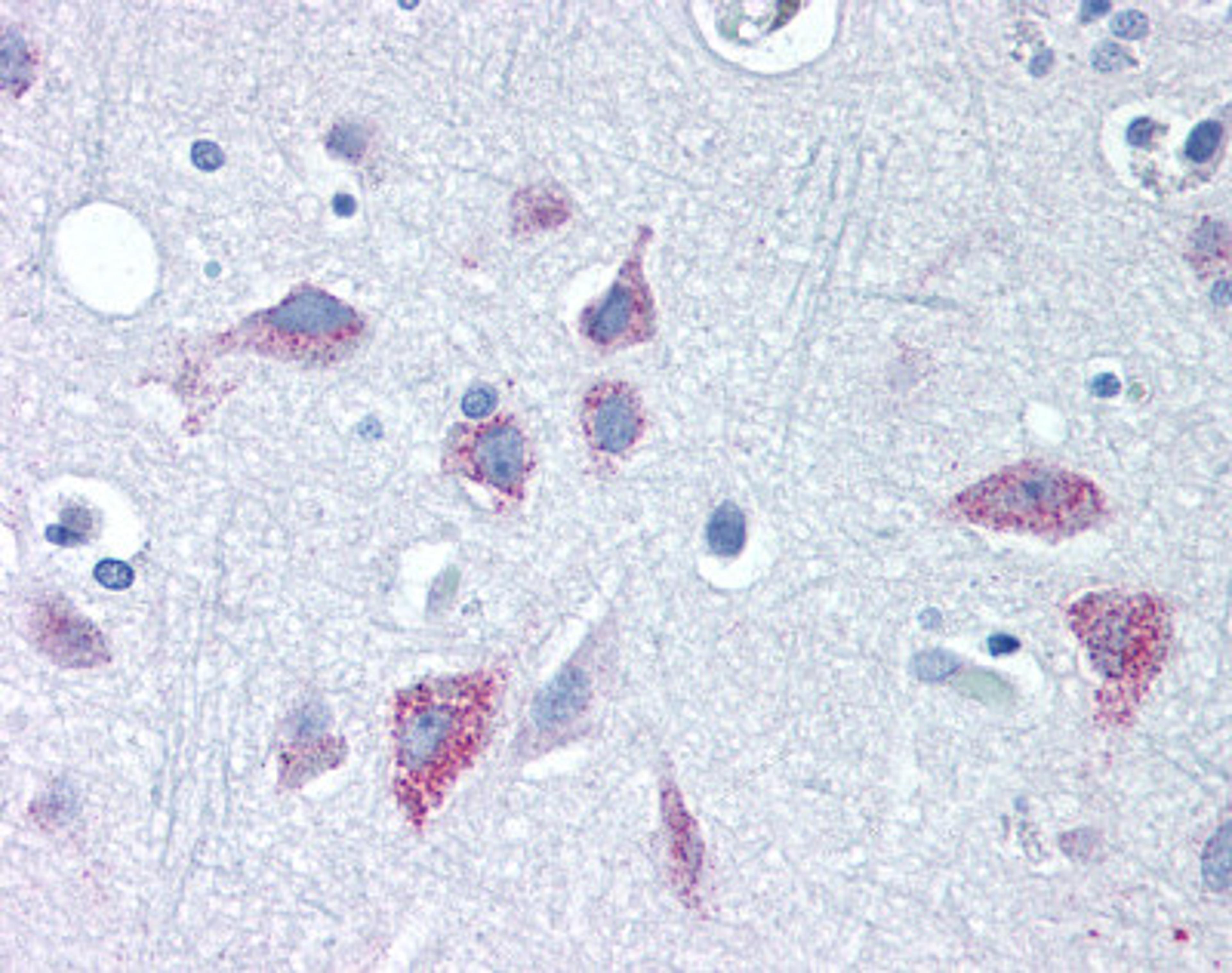
WNT8B Antibody
Product Details
- Cat. No.
- 49-983
- Type
- Primary Antibody
- Clonality
- Polyclonal
- Host
- Rabbit

The supplier does not provide quotations for this antibody through SelectScience. You can search for similar antibodies in our Antibody Directory.
Biological Information
- Clonality: Polyclonal
- Host: Rabbit
- Reactivity: Bovine, Dog (Canine), Gorilla, Human, Mouse, Rat, Bat, Gibbon
- Antigen: WNT8B
- Source: Immunoaffinity Chromatography
- Gene: 7479
Handling
- Quantity: 0.05 mg
- Storage: WNT8B antibody should be stored long term (months) at -80 °C and short term (days) at 4 °C. As with all antibodies avoid freeze/thaw cycles.
- Buffer: PBS, 0.1% sodium azide.
Applications
- ELISA (ELISA)
- Immunohistochemistry (IHC)
- Western Blotting (WB)


