Product & ReviewsAntibodies
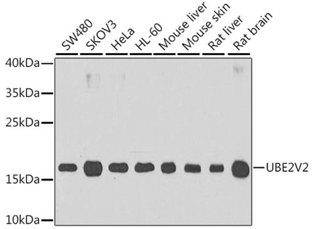
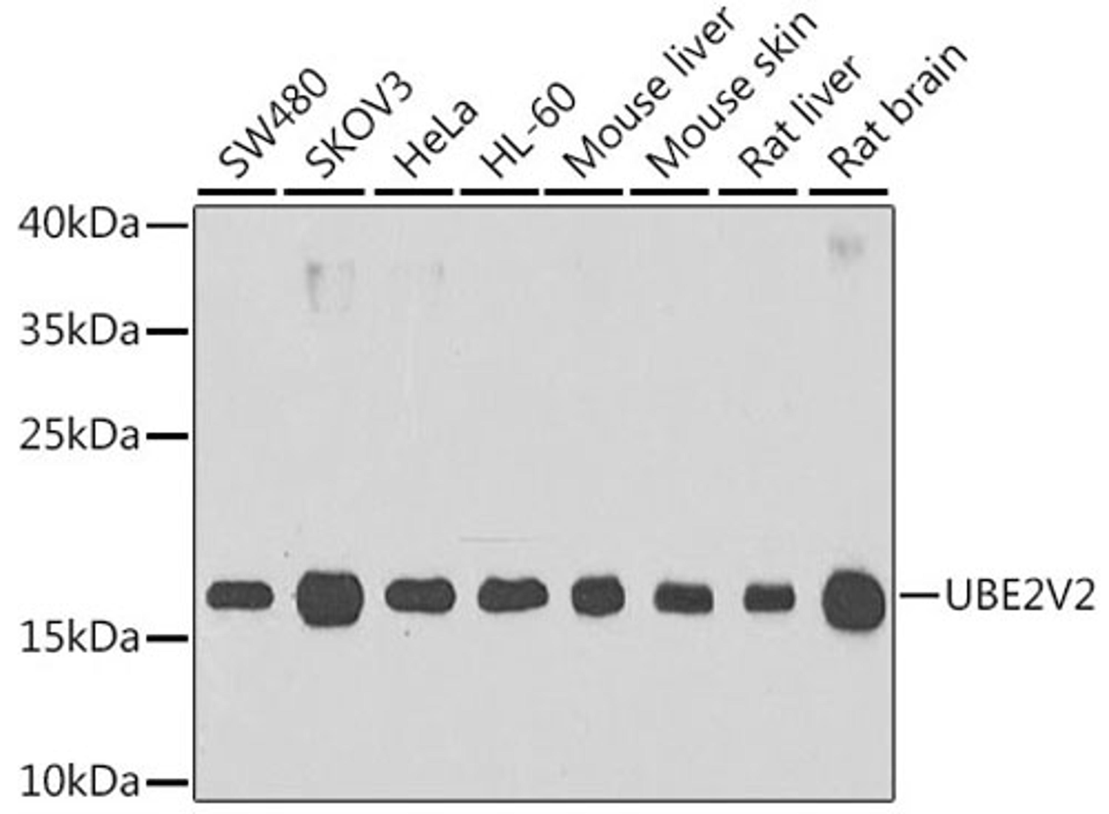
UBE2V2 Rabbit pAb
Product Details
- Cat. No.
- A6998
- Type
- Primary Antibody
- Clonality
- Polyclonal
- Host
- Rabbit

The supplier does not provide quotations for this antibody through SelectScience. You can search for similar antibodies in our Antibody Directory.
Description
Ubiquitin-conjugating enzyme E2 variant proteins constitute a distinct subfamily within the E2 protein family. They have sequence similarity to other ubiquitin-conjugating enzymes but lack the conserved cysteine residue that is critical for the catalytic activity of E2s. The protein encoded by this gene also shares homology with ubiquitin-conjugating enzyme E2 variant 1 and yeast MMS2 gene product. It may be involved in the differentiation of monocytes and enterocytes.
Biological Information
- Clonality: Polyclonal
- Host: Rabbit
- Reactivity: Human, Mouse, Rat


