Product & ReviewsAntibodies
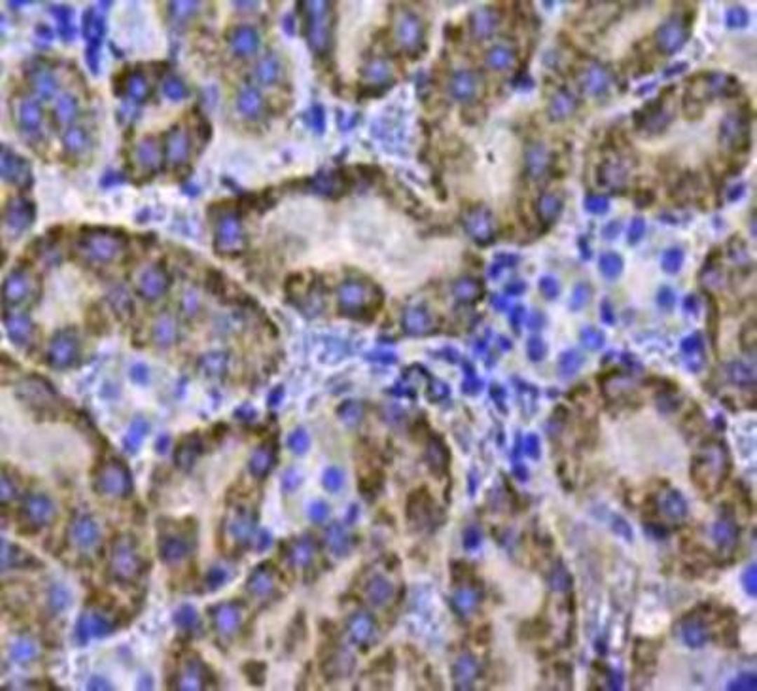
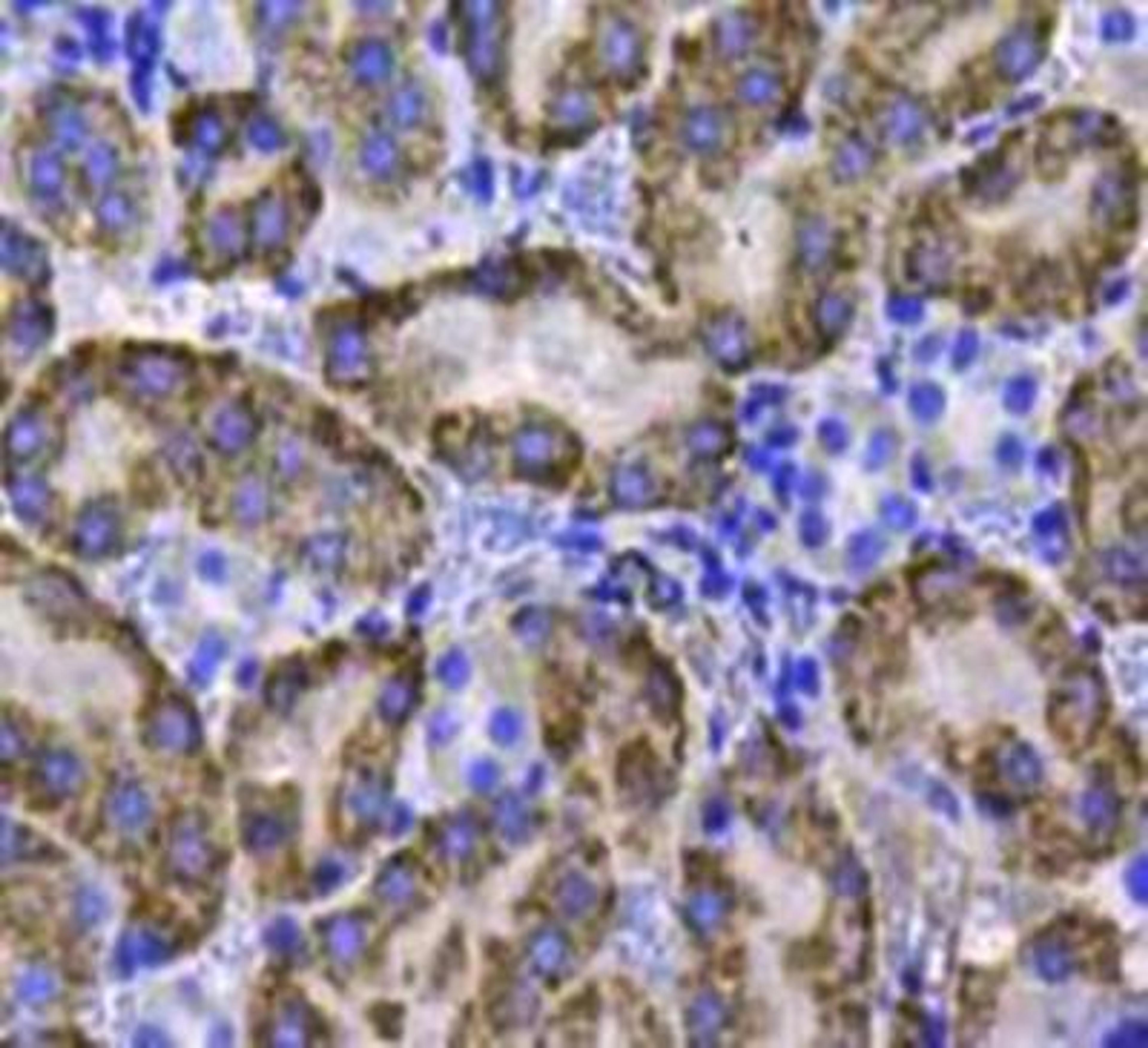
TTNNT2 antibody
Product Details
- Cat. No.
- orb378610
- Type
- Primary Antibody
- Clonality
- Polyclonal
- Host
- Rabbit

The supplier does not provide quotations for this antibody through SelectScience. You can search for similar antibodies in our Antibody Directory.
Description
Rabbit polyclonal antibody to TTNNT2
Biological Information
- Clonality: Polyclonal
- Host: Rabbit
- Reactivity: Human, Mammalian, Mouse
- Isotype: IgG
Handling
- Quantity: 100 µl
- Storage: Store at 4°C after thawing. Aliquot store at -20°C or -80°C. Avoid repeated freeze / thaw cycles.
- Buffer: 1 x TBS (pH7.4), 1% BSA, 40% Glycerol
Applications
- Immunohistochemistry (Paraffin-Embedded Sections) (IHC (P))
- Western Blotting (WB)


