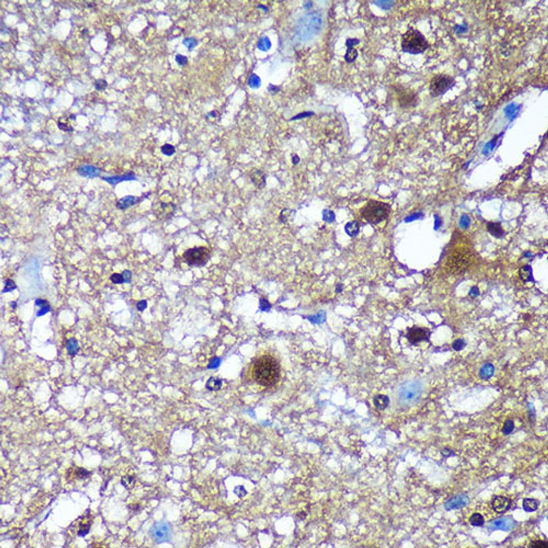
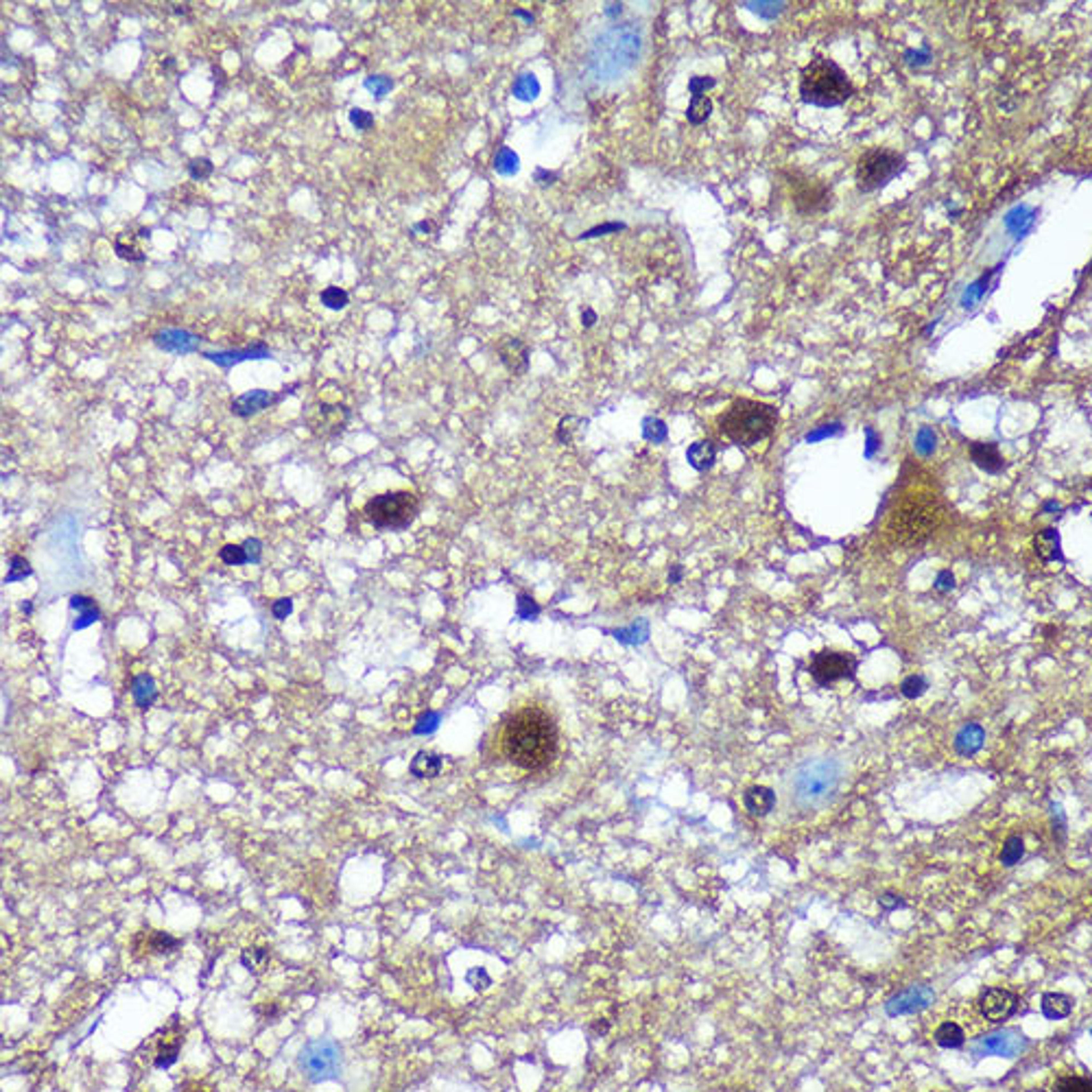
TSN Rabbit pAb
Product Details
- Cat. No.
- A18590
- Type
- Primary Antibody
- Clonality
- Polyclonal
- Host
- Rabbit

The supplier does not provide quotations for this antibody through SelectScience. You can search for similar antibodies in our Antibody Directory.
Description
This gene encodes a DNA-binding protein which specifically recognizes conserved target sequences at the breakpoint junction of chromosomal translocations. Translin polypeptides form a multimeric structure that is responsible for its DNA-binding activity. Recombination-associated motifs and translin-binding sites are present at recombination hotspots and may serve as indicators of breakpoints in genes which are fused by translocations. These binding activities may play a crucial role in chromosomal translocation in lymphoid neoplasms. This protein encoded by this gene, when complexed with translin-associated protein X, also forms a Mg ion-dependent endoribonuclease that promotes RNA-induced silencing complex (RISC) activation. Alternative splicing results in multiple transcript variants.
Biological Information
- Clonality: Polyclonal
- Host: Rabbit
- Reactivity: Human, Mouse, Rat


