Product & ReviewsAntibodies
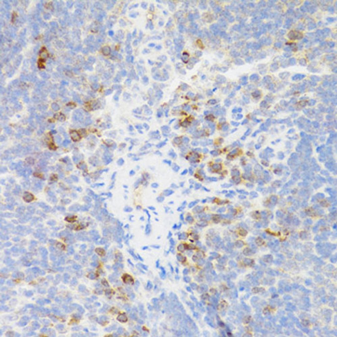
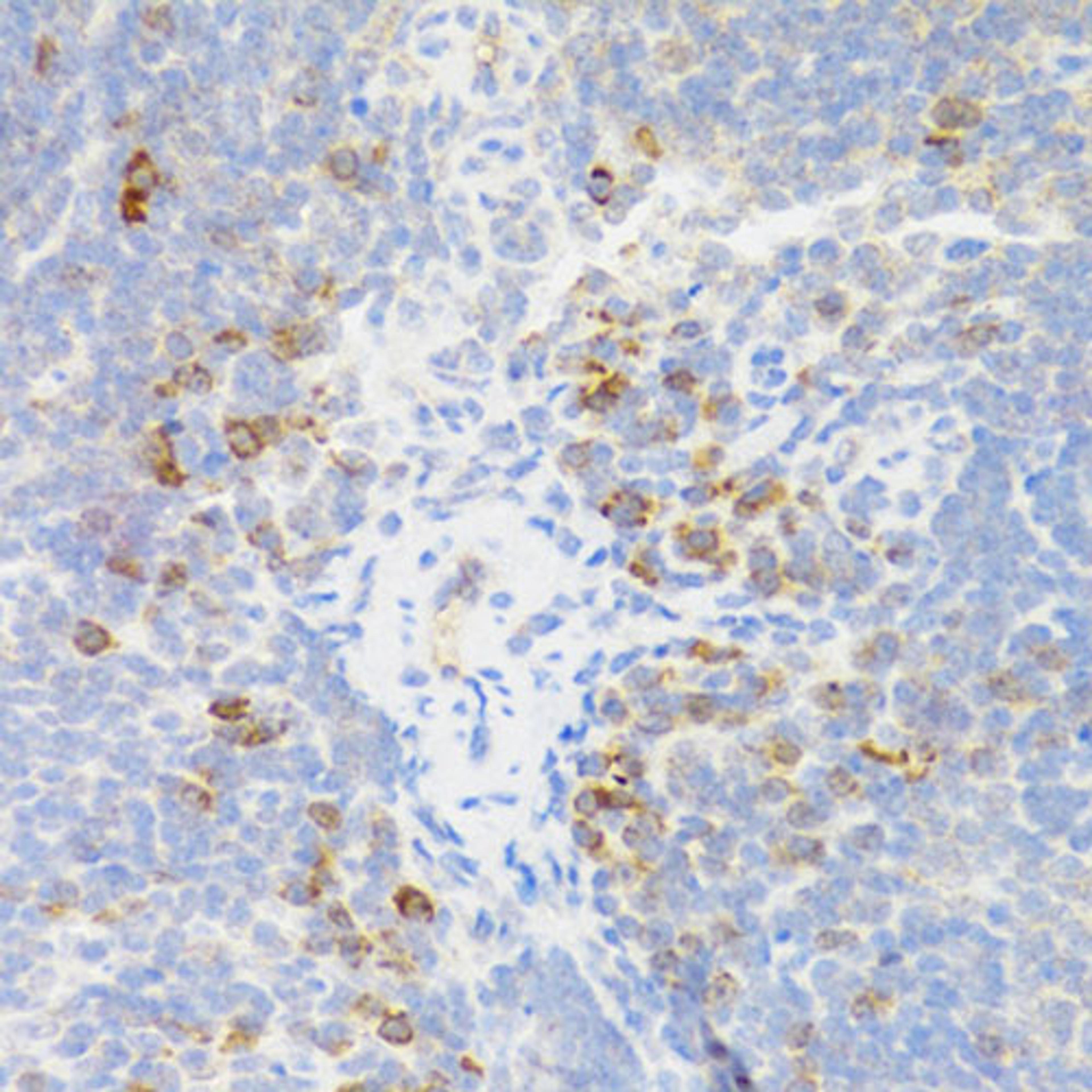
TNFRSF13B Rabbit pAb
Product Details
- Cat. No.
- A5658
- Type
- Primary Antibody
- Clonality
- Polyclonal
- Host
- Rabbit

The supplier does not provide quotations for this antibody through SelectScience. You can search for similar antibodies in our Antibody Directory.
Description
The protein encoded by this gene is a lymphocyte-specific member of the tumor necrosis factor (TNF) receptor superfamily. It interacts with calcium-modulator and cyclophilin ligand (CAML). The protein induces activation of the transcription factors NFAT, AP1, and NF-kappa-B and plays a crucial role in humoral immunity by interacting with a TNF ligand. This gene is located within the Smith-Magenis syndrome region on chromosome 17.
Biological Information
- Clonality: Polyclonal
- Host: Rabbit
- Reactivity: Mouse


