Product & ReviewsAntibodies
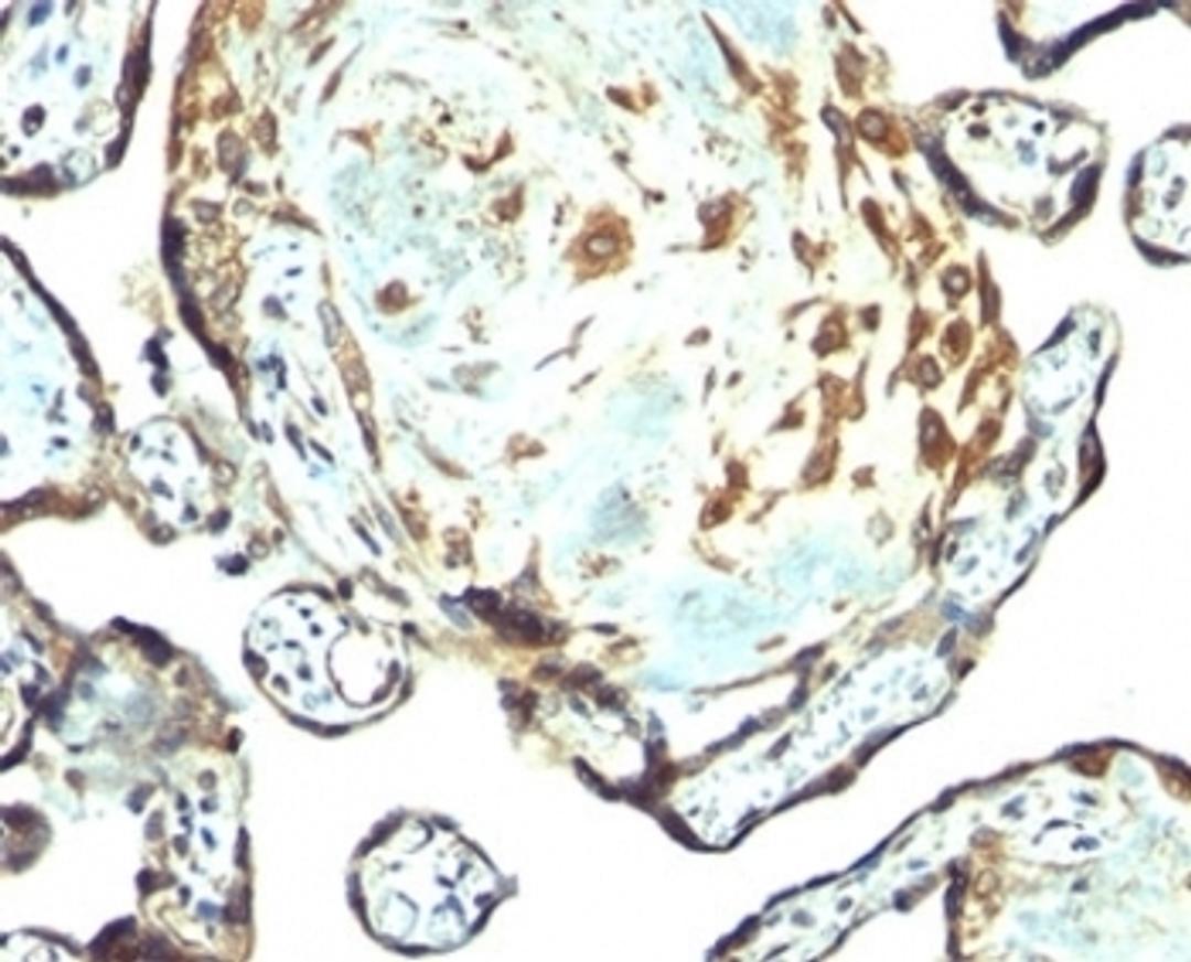
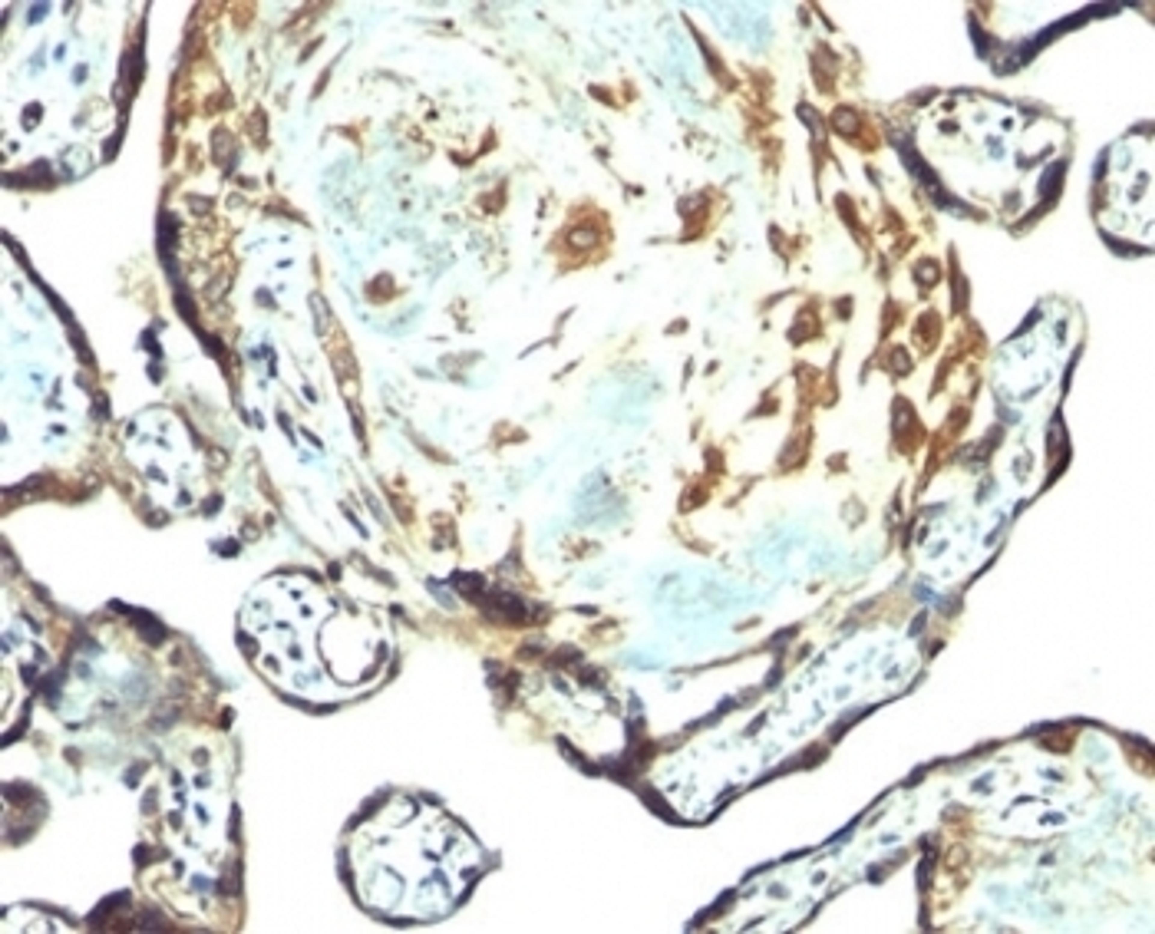
TIMP3 Antibody
Product Details
- Cat. No.
- 33-214
- Type
- Primary Antibody
- Clonality
- Polyclonal
- Host
- Rabbit

The supplier does not provide quotations for this antibody through SelectScience. You can search for similar antibodies in our Antibody Directory.
Biological Information
- Clonality: Polyclonal
- Host: Rabbit
- Reactivity: Bovine, Horse (Equine), Human, Mouse, Rat
- Antigen: TIMP3
- Isotype: IgG
- Source: Protein A affinity chromatography
- Gene: 7078
Handling
- Quantity: 100 ug
- Storage: Aliquot and Store at 2-8°C. Avoid freez-thaw cycles.
- Buffer: PBS with 0.1 mg/ml BSA and 0.05% sodium azide
Applications
- Flow Cytometry (FC)
- Immunohistochemistry (IHC)
- Immunohistochemistry (Formalin-Fixed / Paraffin-Embedded Sections) (IHC (FP))
- Immunoprecipitation (IP)
- Western Blotting (WB)


