Product & ReviewsAntibodies
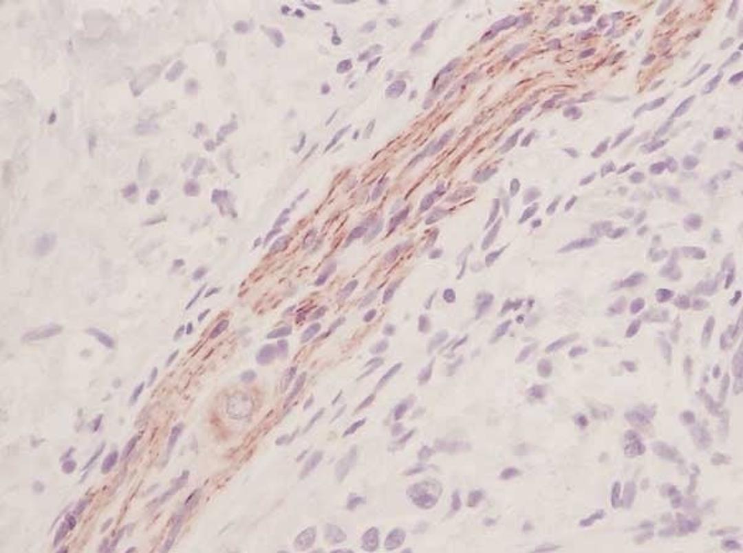
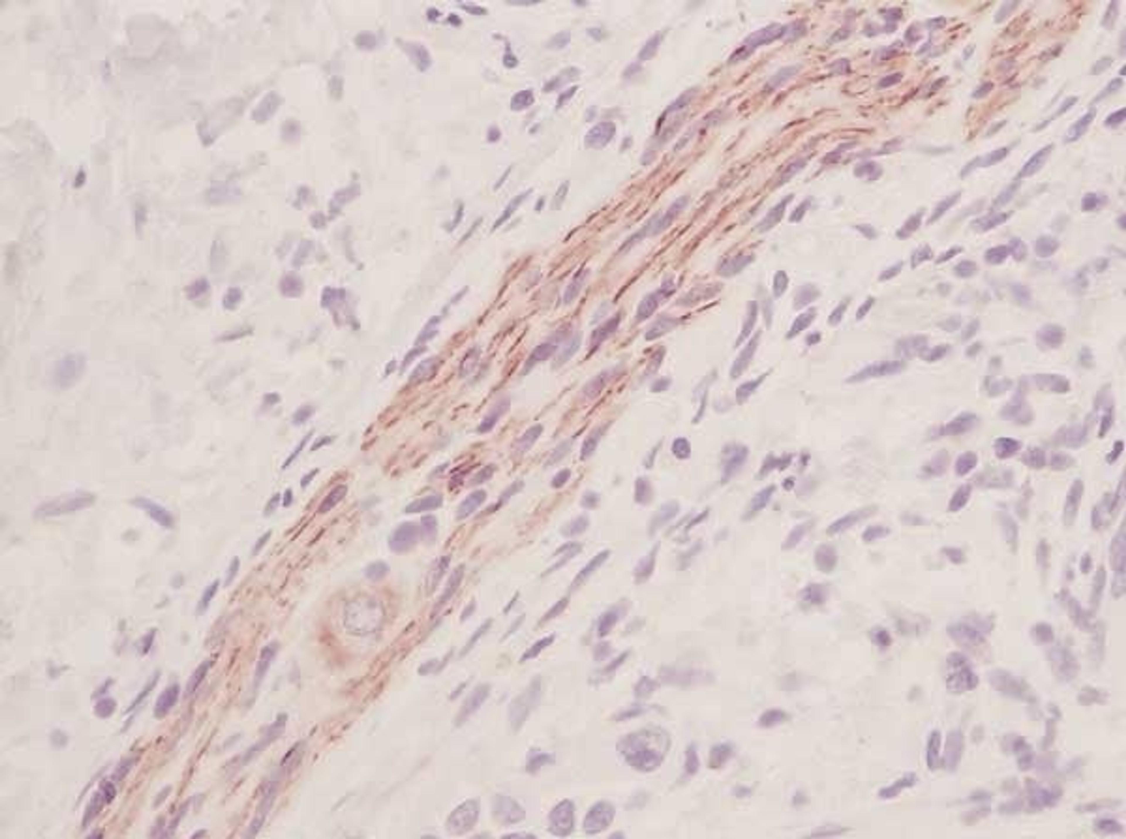
STEM CELL FACTOR
Product Details
- Cat. No.
- AHP1210
- Type
- Primary Antibody
- Clonality
- Polyclonal
- Host
- Goat

The supplier does not provide quotations for this antibody through SelectScience. You can search for similar antibodies in our Antibody Directory.
Description
GOAT ANTI HUMAN STEM CELL FACTOR
Biological Information
- Clonality: Polyclonal
- Host: Goat
Handling
- Quantity: 0.1 mg


