Product & ReviewsAntibodies
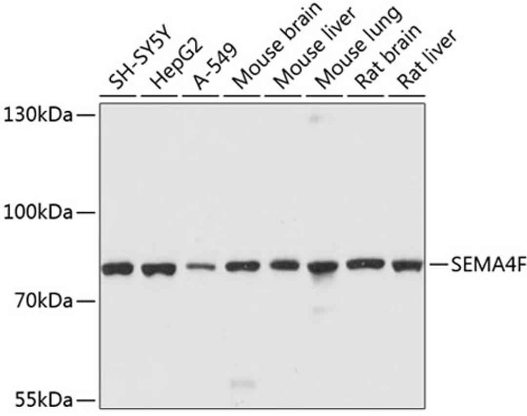
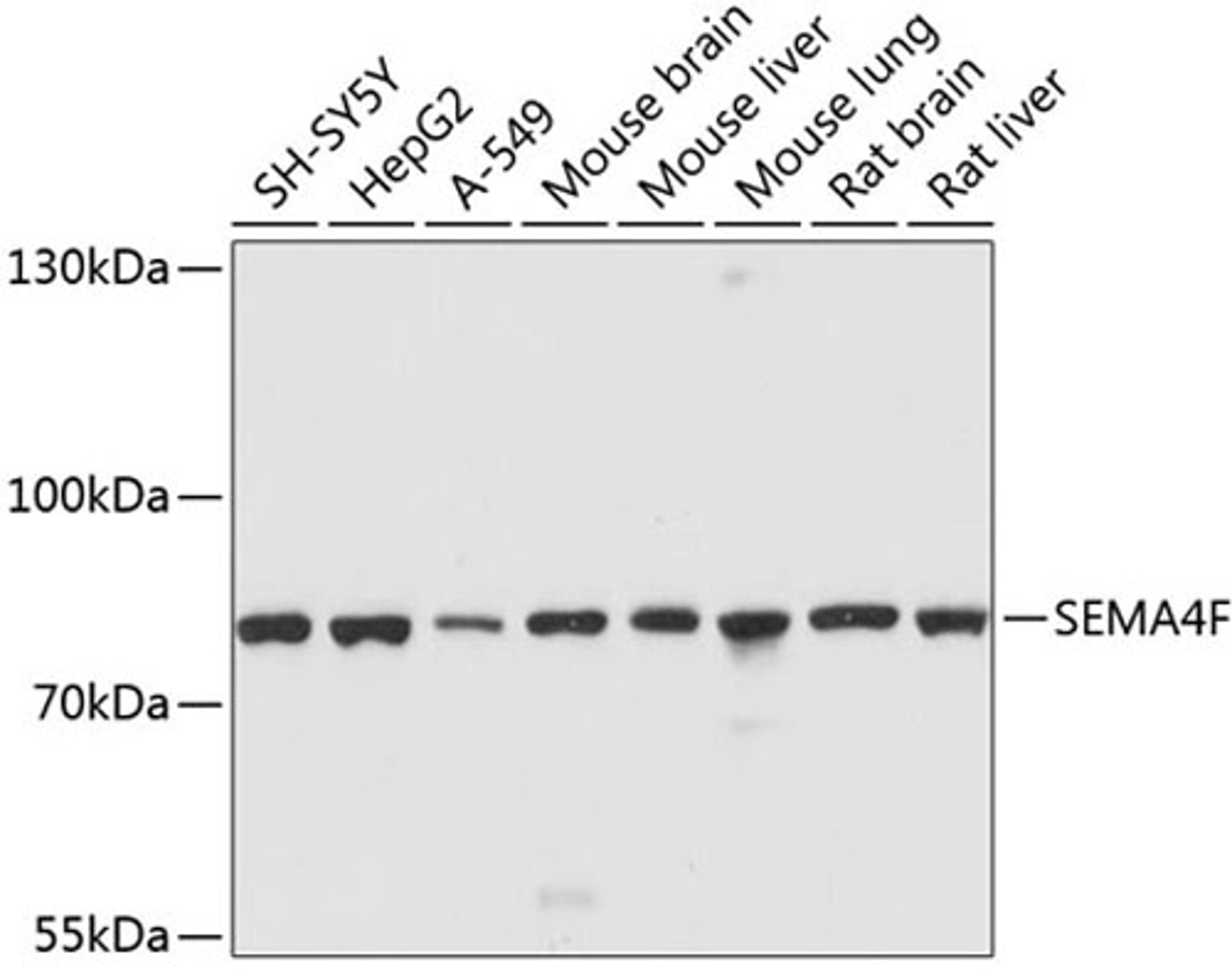
SEMA4F Rabbit pAb
Product Details
- Cat. No.
- A10432
- Type
- Primary Antibody
- Clonality
- Polyclonal
- Host
- Rabbit

The supplier does not provide quotations for this antibody through SelectScience. You can search for similar antibodies in our Antibody Directory.
Description
This gene encodes a transmembrane class IV semaphorin family protein, which plays a role in neural development. This gene may be involved in neurogenesis in prostate cancer, the development of neurofibromas, and breast cancer tumorigenesis. Alternative splicing results in multiple transcript variants.
Biological Information
- Clonality: Polyclonal
- Host: Rabbit
- Reactivity: Human, Mouse, Rat


