Product & ReviewsAntibodies
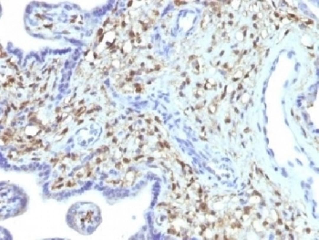
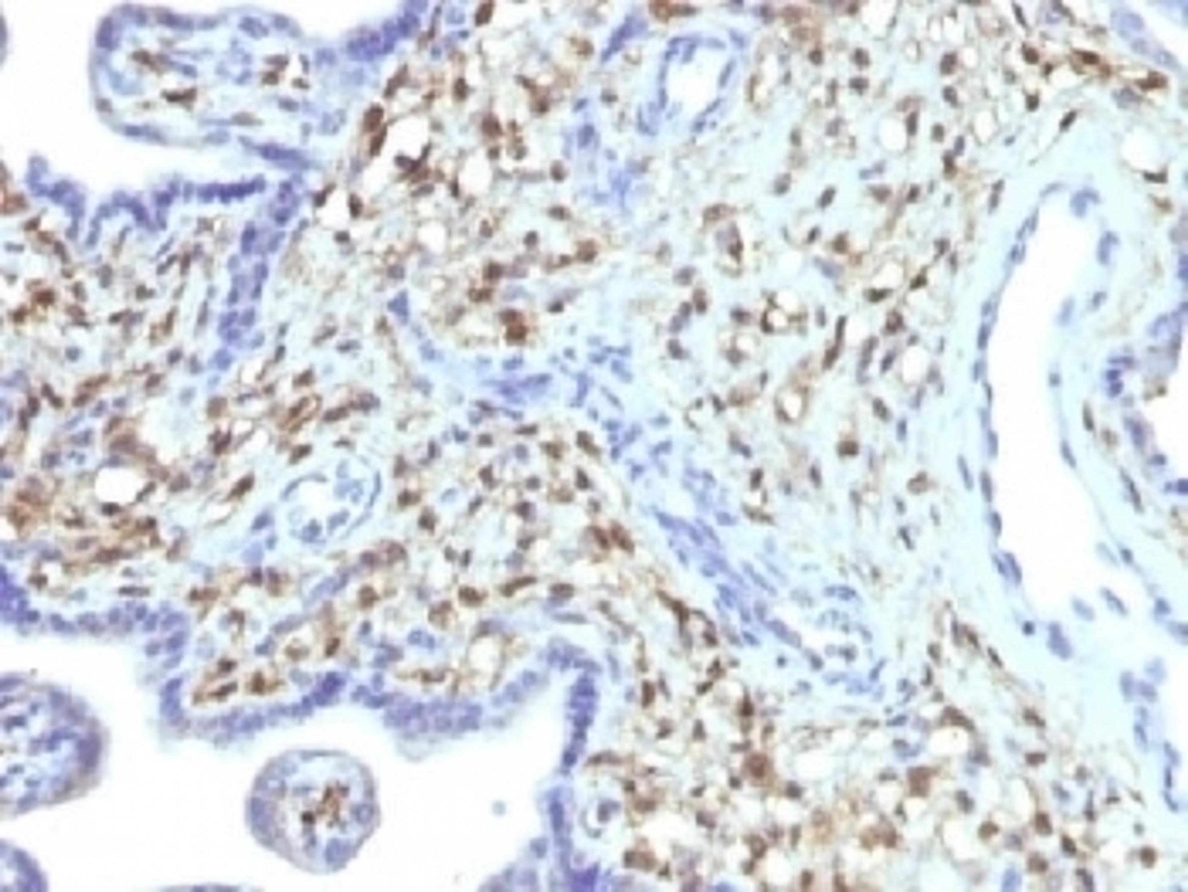
S100A4 Antibody [S100A4/1481]
Product Details
- Cat. No.
- 33-780
- Type
- Primary Antibody
- Clonality
- Monoclonal
- Host
- Mouse

The supplier does not provide quotations for this antibody through SelectScience. You can search for similar antibodies in our Antibody Directory.
Biological Information
- Clonality: Monoclonal
- Host: Mouse
- Reactivity: Human, Mouse
- Antigen: S100A4
- Clone: S100A4/1481
- Isotype: IgG1, kappa
- Source: Protein G affinity chromatography
- Gene: 6275
Handling
- Quantity: 100 ug
- Storage: Aliquot and Store at 2-8°C. Avoid freez-thaw cycles.
- Buffer: PBS with 0.1 mg/ml BSA and 0.05% sodium azide
Applications
- Immunofluorescence (IF)
- Immunohistochemistry (Formalin-Fixed / Paraffin-Embedded Sections) (IHC (FP))
- Western Blotting (WB)


