Product & ReviewsAntibodies
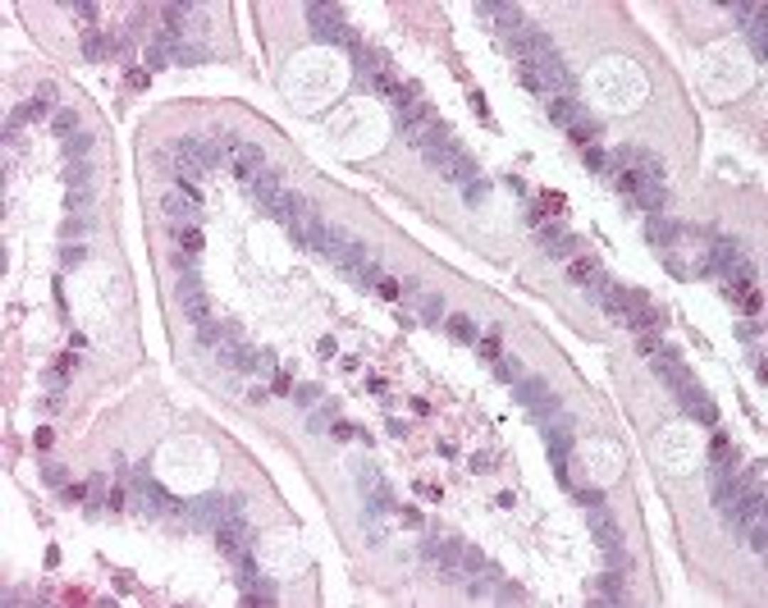
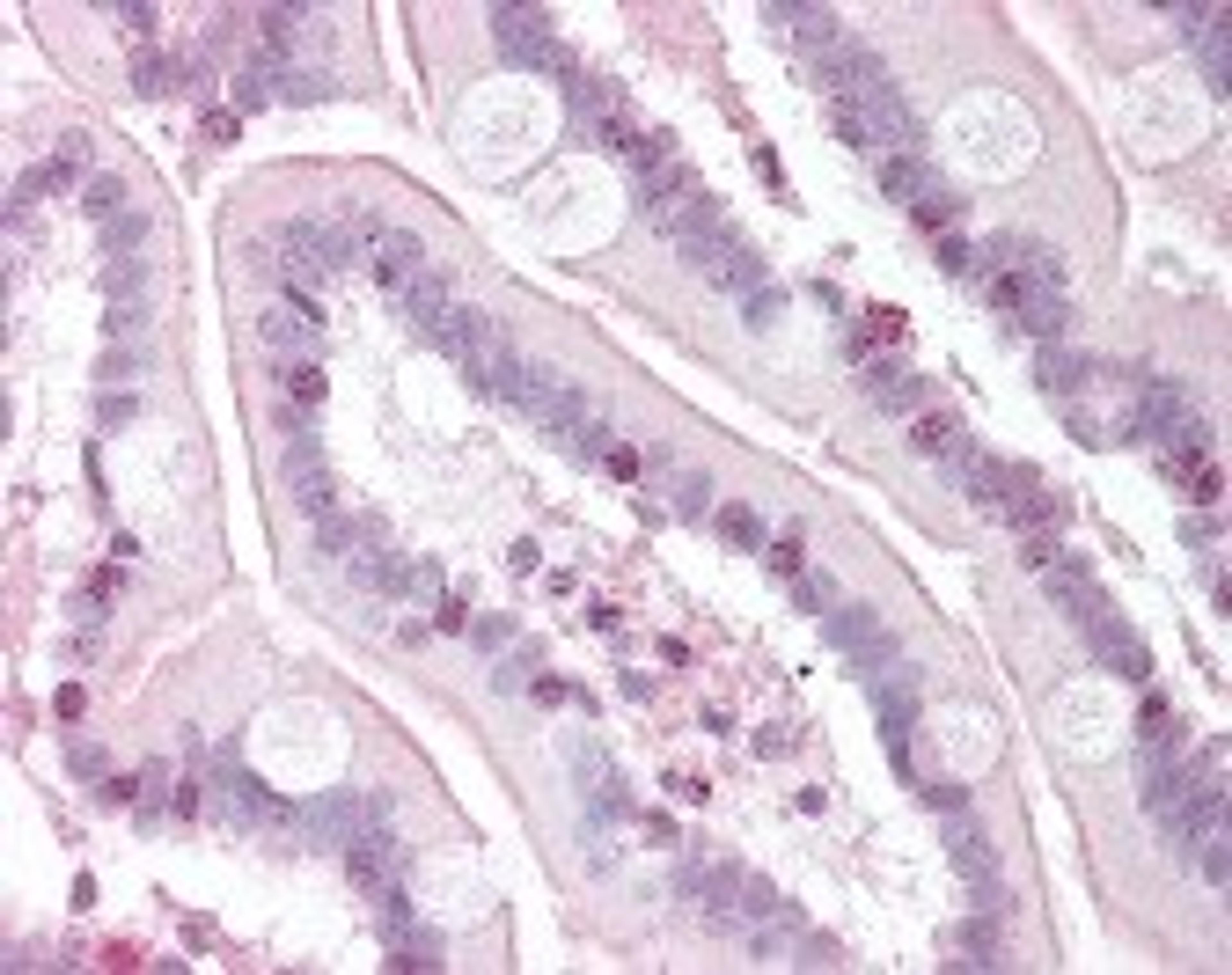
RTEL1 Antibody
Product Details
- Cat. No.
- 49-797
- Type
- Primary Antibody
- Clonality
- Polyclonal
- Host
- Rabbit

The supplier does not provide quotations for this antibody through SelectScience. You can search for similar antibodies in our Antibody Directory.
Biological Information
- Clonality: Polyclonal
- Host: Rabbit
- Reactivity: Human, Mouse
- Antigen: RTEL1
- Source: Immunoaffinity Chromatography
- Gene: 51750
Handling
- Quantity: 0.05 mg
- Storage: Short term: 4°C. Long term: Store at -20°C. Avoid freeze-thaw cycles.
- Buffer: PBS, 0.01% sodium azide, 50% glycerol.
Applications
- ELISA (ELISA)
- Immunohistochemistry (IHC)
- Western Blotting (WB)


