Product & ReviewsAntibodies
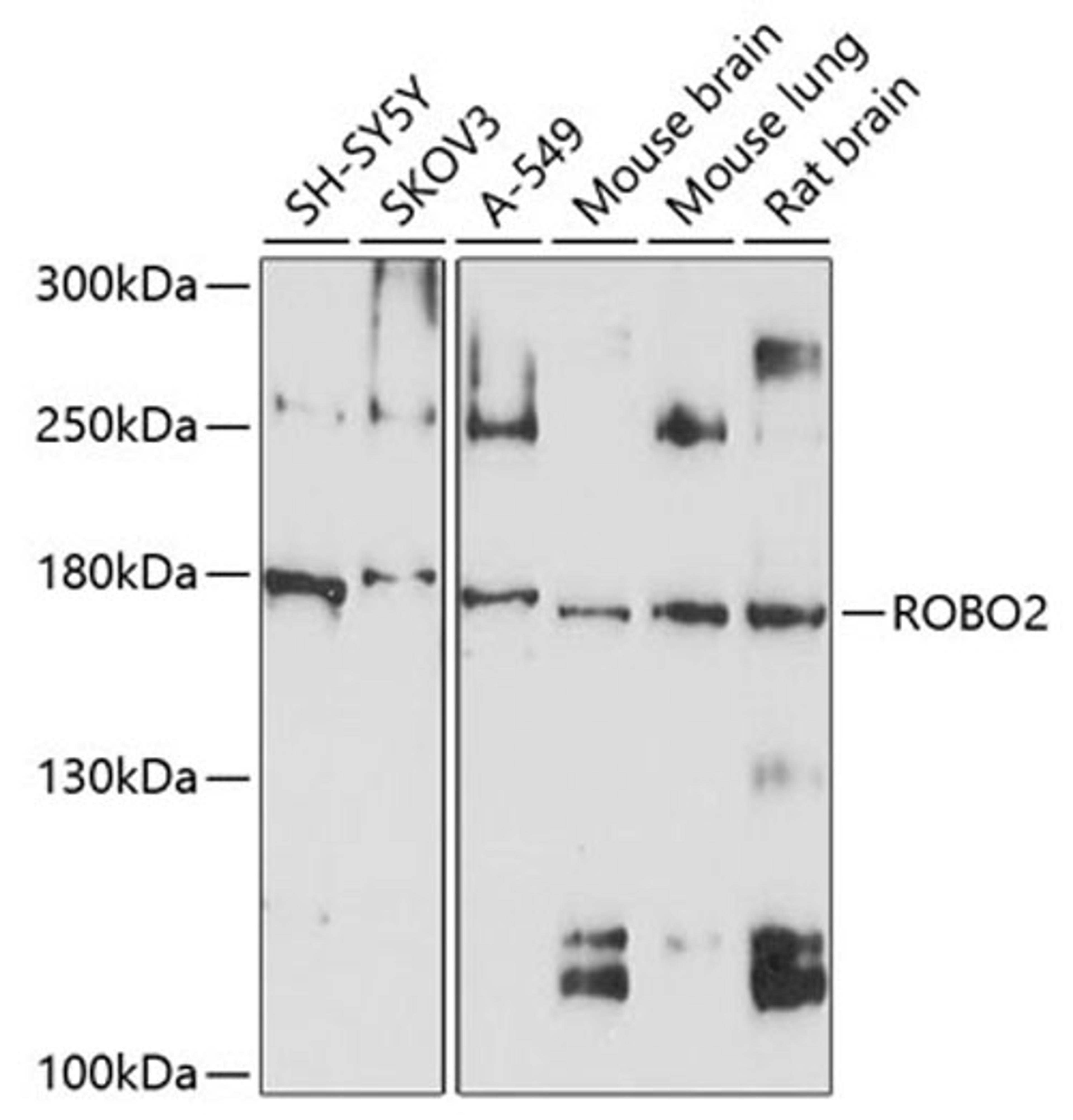
ROBO2 Rabbit pAb
Product Details
- Cat. No.
- A10070
- Type
- Primary Antibody
- Clonality
- Polyclonal
- Host
- Rabbit

The supplier does not provide quotations for this antibody through SelectScience. You can search for similar antibodies in our Antibody Directory.
Description
The protein encoded by this gene belongs to the ROBO family, part of the immunoglobulin superfamily of proteins that are highly conserved from fly to human. The encoded protein is a transmembrane receptor for the slit homolog 2 protein and functions in axon guidance and cell migration. Mutations in this gene are associated with vesicoureteral reflux, characterized by the backward flow of urine from the bladder into the ureters or the kidney. Alternative splicing results in multiple transcript variants.
Biological Information
- Clonality: Polyclonal
- Host: Rabbit
- Reactivity: Human, Mouse, Rat


