Product & ReviewsAntibodies
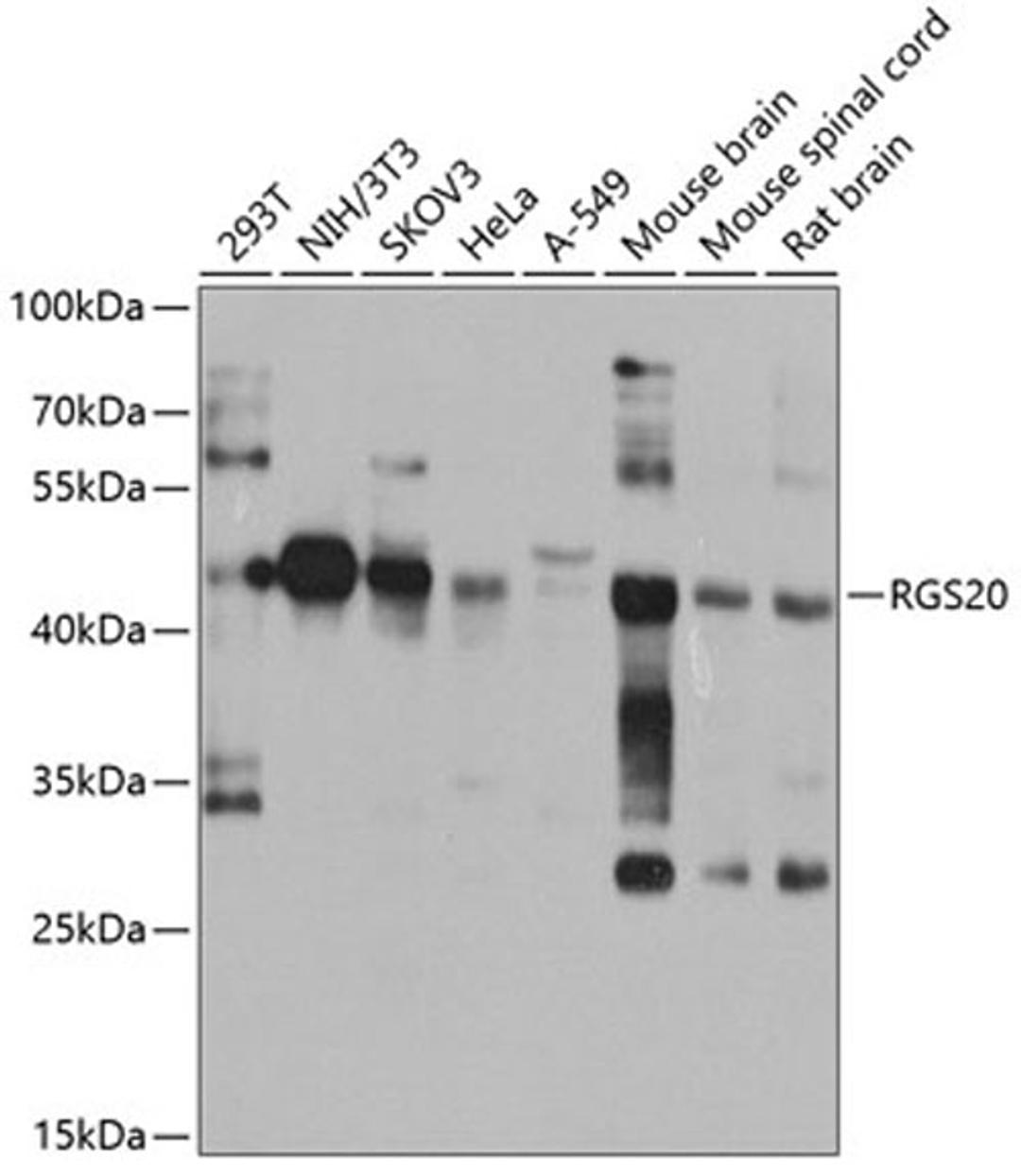
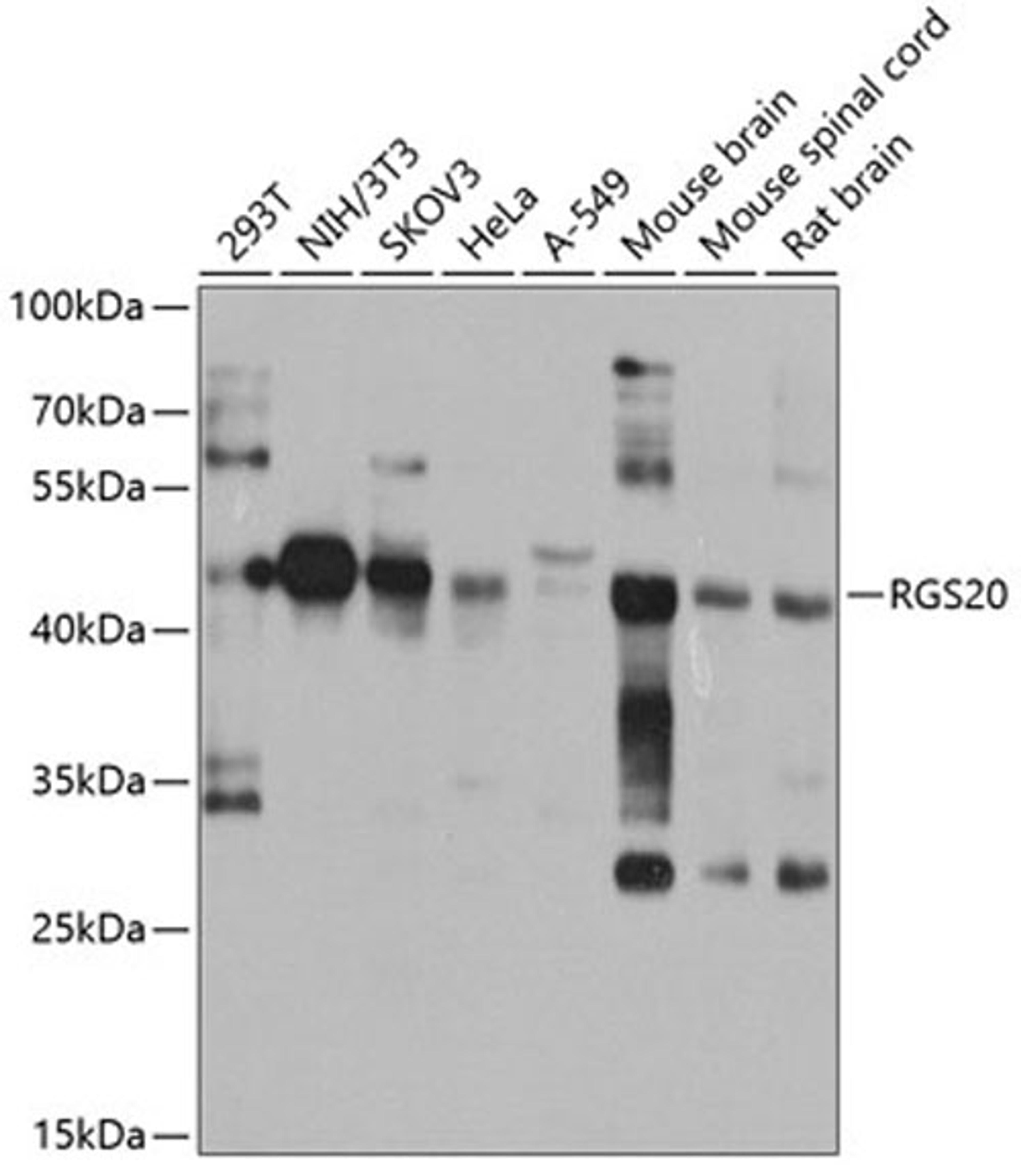
RGS20 Rabbit pAb
Product Details
- Cat. No.
- A8167
- Type
- Primary Antibody
- Clonality
- Polyclonal
- Host
- Rabbit

The supplier does not provide quotations for this antibody through SelectScience. You can search for similar antibodies in our Antibody Directory.
Description
The protein encoded by this gene belongs to the family of regulator of G protein signaling (RGS) proteins, which are regulatory and structural components of G protein-coupled receptor complexes. RGS proteins inhibit signal transduction by increasing the GTPase activity of G protein alpha subunits, thereby driving them into their inactive GDP-bound forms. This protein selectively binds to G(z)-alpha and G(alpha)-i2 subunits, and regulates their signaling activities. Alternatively spliced transcript variants encoding different isoforms have been found for this gene.
Biological Information
- Clonality: Polyclonal
- Host: Rabbit
- Reactivity: Human, Mouse, Rat


