Product & ReviewsAntibodies
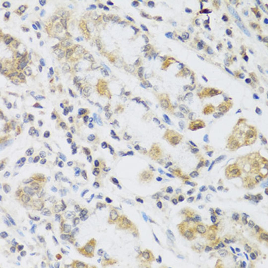
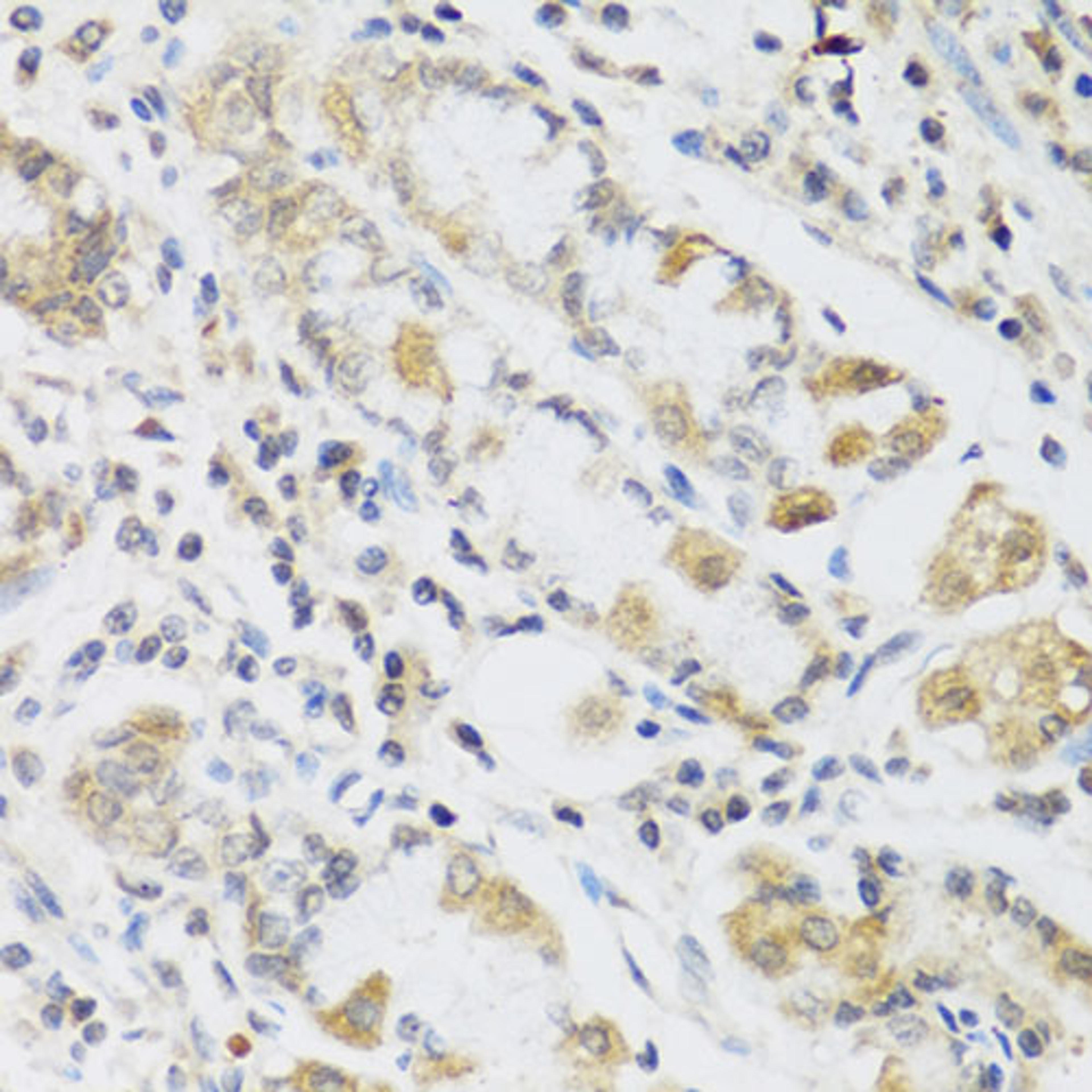
RETN Rabbit pAb
Product Details
- Cat. No.
- A2551
- Type
- Primary Antibody
- Clonality
- Polyclonal
- Host
- Rabbit

The supplier does not provide quotations for this antibody through SelectScience. You can search for similar antibodies in our Antibody Directory.
Description
This gene belongs to the family defined by the mouse resistin-like genes. The characteristic feature of this family is the C-terminal stretch of 10 cys residues with identical spacing. The mouse homolog of this protein is secreted by adipocytes, and may be the hormone potentially linking obesity to type II diabetes. Alternatively spliced transcript variants encoding the same protein have been found for this gene.
Biological Information
- Clonality: Polyclonal
- Host: Rabbit
- Reactivity: Human, Mouse, Rat


