Product & ReviewsAntibodies
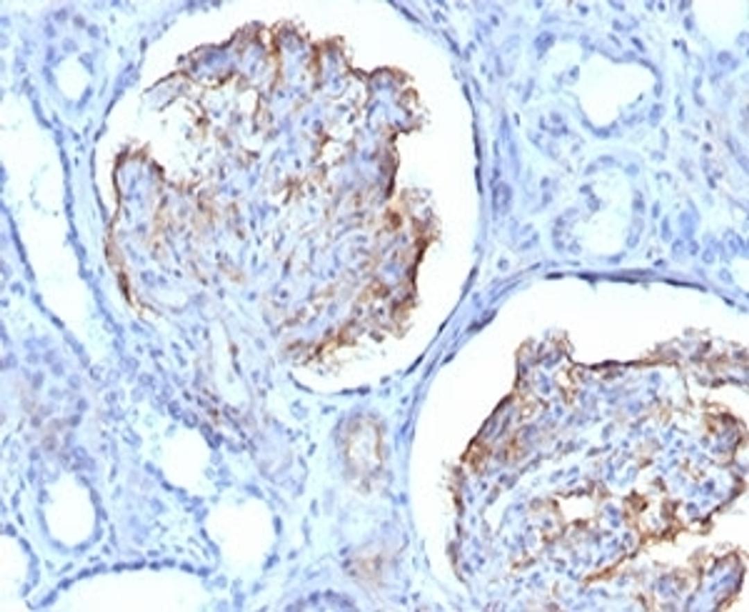
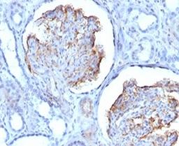
Recombinant WT1 Antibody [RMWT1-1]
Product Details
- Cat. No.
- 34-027
- Type
- Primary Antibody
- Clonality
- Recombinant
- Host
- Rabbit

The supplier does not provide quotations for this antibody through SelectScience. You can search for similar antibodies in our Antibody Directory.
Biological Information
- Clonality: Recombinant
- Host: Rabbit
- Reactivity: Human
- Antigen: WT1
- Clone: RMWT1-1
- Isotype: IgG, k
- Source: Protein A affinity chromatography
- Gene: 7490
Handling
- Quantity: 100 ug
- Storage: Aliquot and Store at 2-8°C. Avoid freez-thaw cycles.
- Buffer: PBS with 0.1 mg/ml BSA and 0.05% sodium azide
Applications
- Immunofluorescence (IF)
- Immunohistochemistry (Formalin-Fixed / Paraffin-Embedded Sections) (IHC (FP))


