Product & ReviewsAntibodies
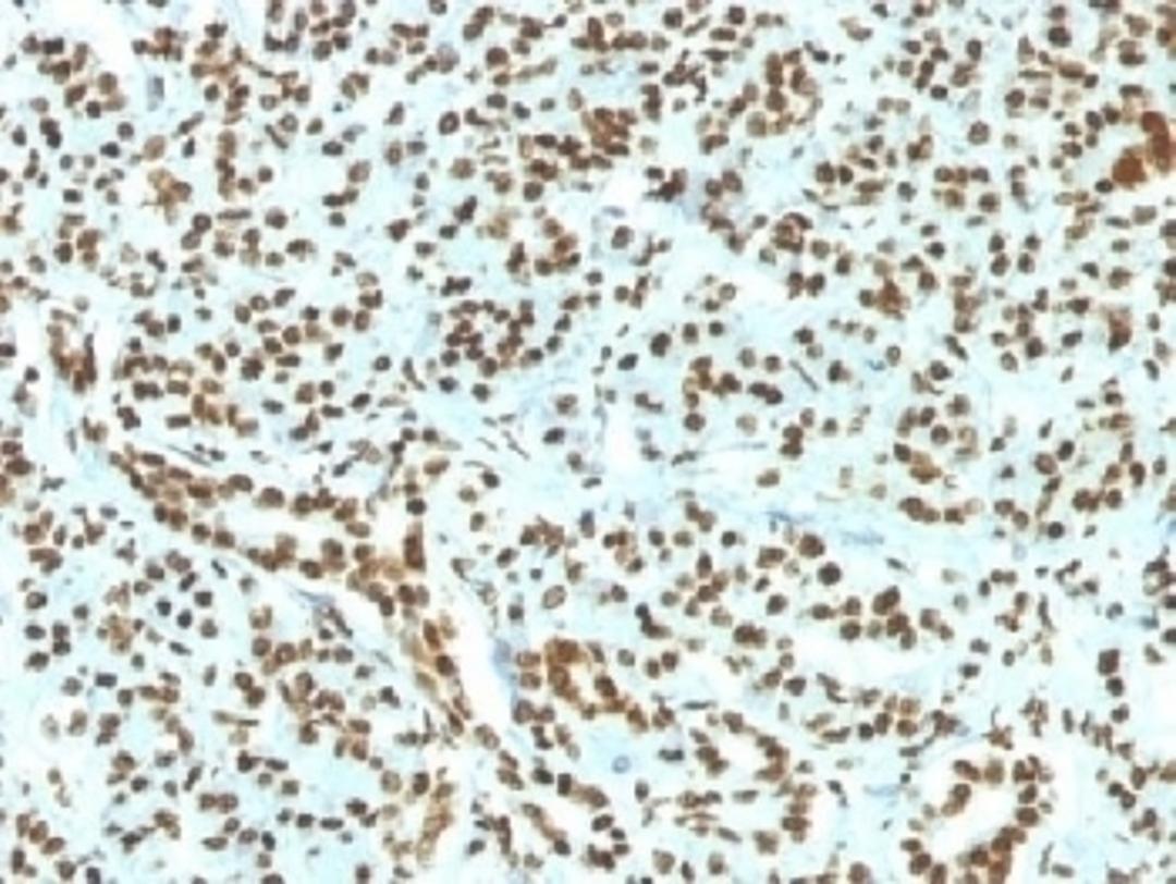
Recombinant Histone H1 Antibody [HH1/1784R]
Product Details
- Cat. No.
- 34-090
- Type
- Primary Antibody
- Clonality
- Recombinant
- Host
- Rabbit

The supplier does not provide quotations for this antibody through SelectScience. You can search for similar antibodies in our Antibody Directory.
Biological Information
- Clonality: Recombinant
- Host: Rabbit
- Reactivity: Human, Mouse, Rat
- Antigen: H1F0
- Clone: HH1/1784R
- Isotype: IgG, kappa
- Source: Protein A affinity chromatography
- Gene: 3005
Handling
- Quantity: 100 ug
- Storage: Aliquot and Store at 2-8°C. Avoid freez-thaw cycles.
- Buffer: PBS with 0.1 mg/ml BSA and 0.05% sodium azide
Applications
- Flow Cytometry (FC)
- Immunofluorescence (IF)
- Immunohistochemistry (Formalin-Fixed / Paraffin-Embedded Sections) (IHC (FP))


