Product & ReviewsAntibodies
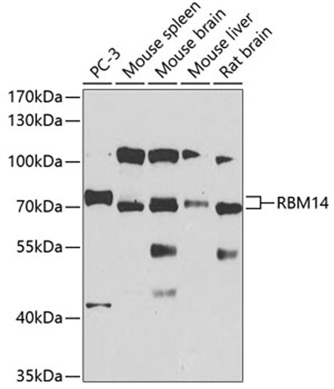
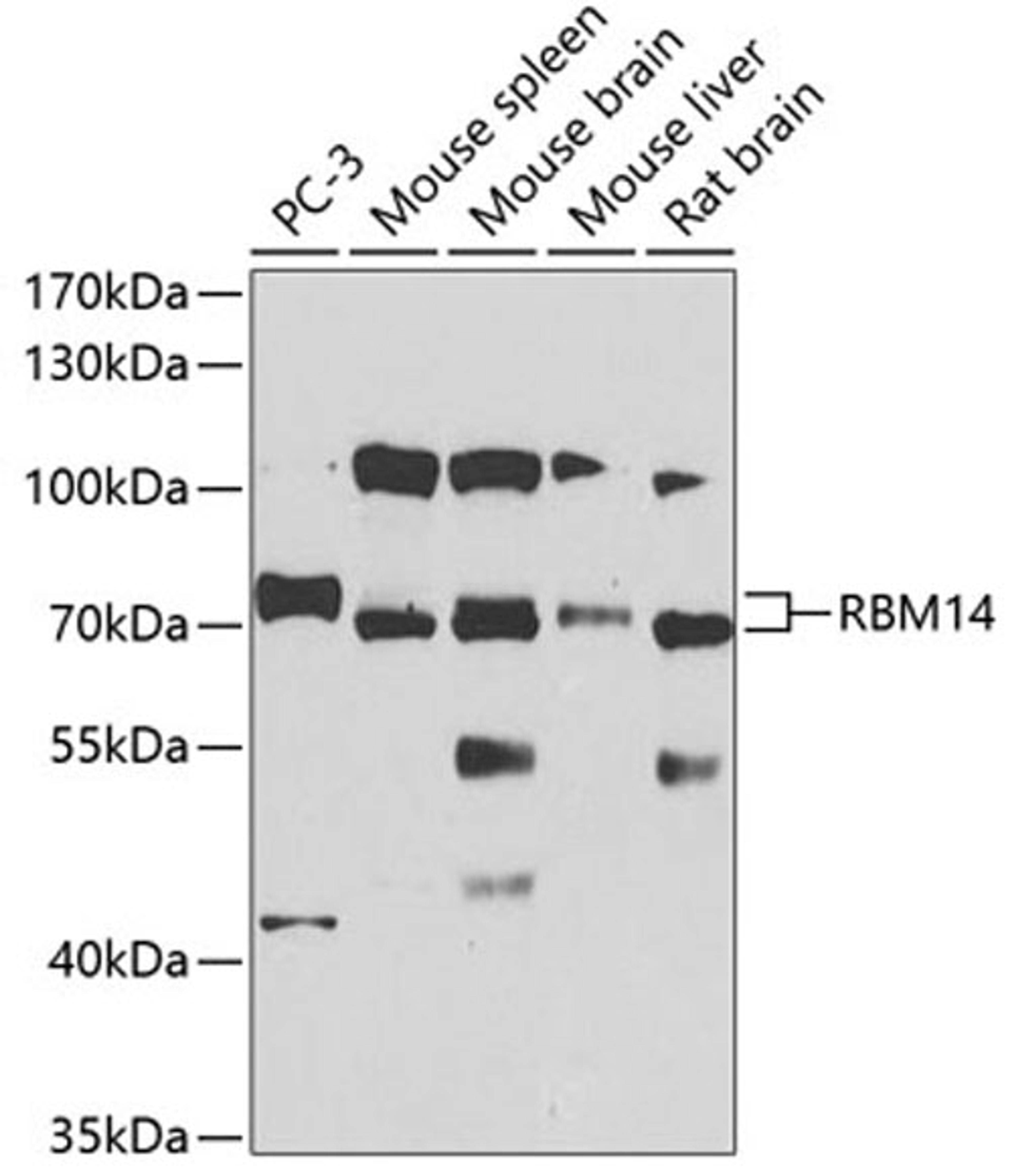
RBM14 Rabbit pAb
Product Details
- Cat. No.
- A4418
- Type
- Primary Antibody
- Clonality
- Polyclonal
- Host
- Rabbit

The supplier does not provide quotations for this antibody through SelectScience. You can search for similar antibodies in our Antibody Directory.
Description
This gene encodes a ribonucleoprotein that functions as a general nuclear coactivator, and an RNA splicing modulator. This protein contains two RNA recognition motifs (RRM) at the N-terminus, and multiple hexapeptide repeat domain at the C-terminus that interacts with thyroid hormone receptor-binding protein (TRBP), and is required for transcription activation. Alternatively spliced transcript variants encoding different isoforms (with opposing effects on transcription) have been described for this gene.
Biological Information
- Clonality: Polyclonal
- Host: Rabbit
- Reactivity: Human, Mouse, Rat


