RAT ANTI MOUSE CD206
Product Details
- Cat. No.
- MCA2235
- Type
- Primary Antibody
- Clonality
- Monoclonal
- Host
- Rat

The supplier does not provide quotations for this antibody through SelectScience. You can search for similar antibodies in our Antibody Directory.
Description
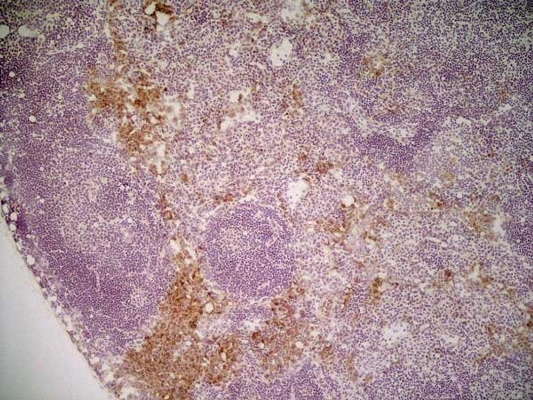
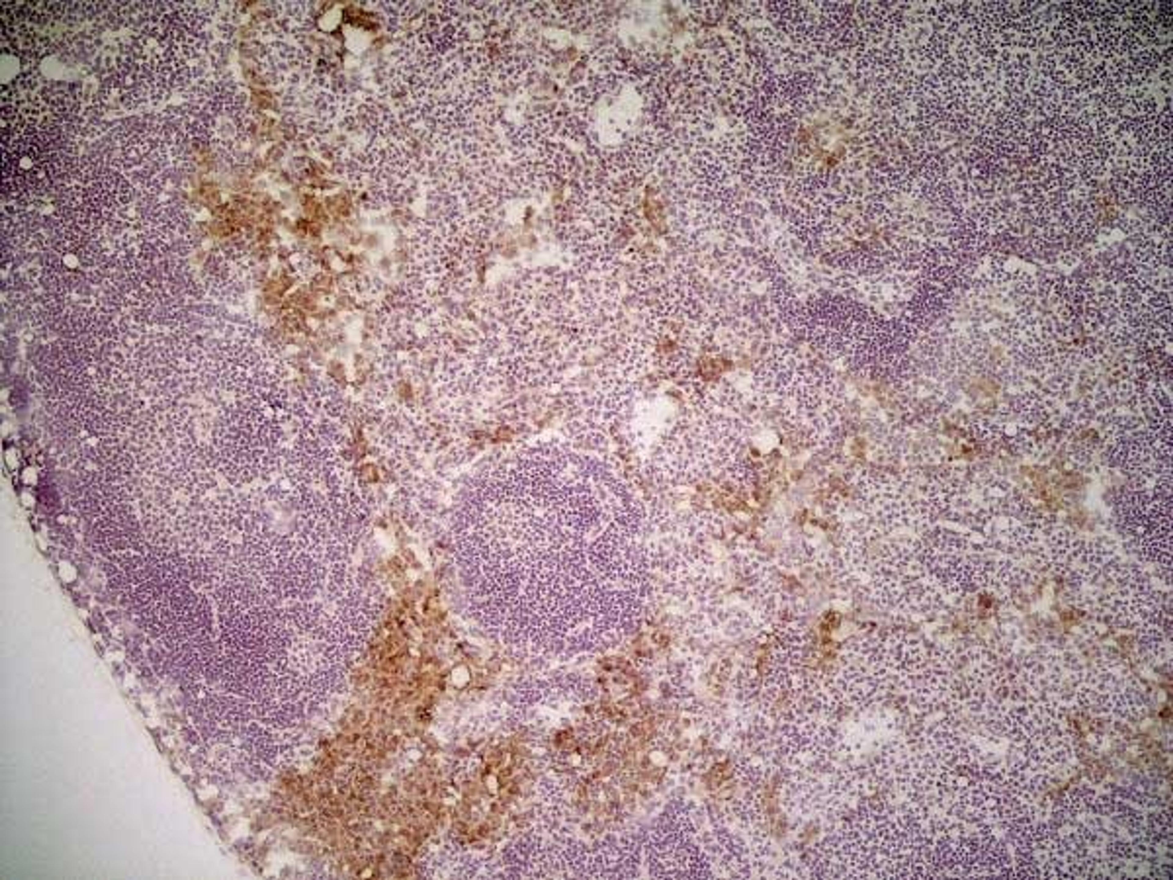
Rat anti mouse CD206 antibody, clone MR5D3 recognizes the mouse mannose receptor, a ~175 kDa type 1 membrane glycoprotein that is also known as CD206. CD206 is expressed on most tissue macrophages, certain endothelial cells and in vitro derived dendritic cells (Zamze et al. 2002).The mannose receptor, CD206, is composed of a N-terminal cysteine-rich domain, a fibronectin type II domain, eight tandemly arranged C-type lectin domains (CTLD), a transmembrane domain, and a cytoplasmic domain. The terminal cysteine-rich domain binds sulfated sugars, and the CTLD recognizes carbohydrates terminating in mannose, fucose and N-acetylglucosamine, all sugars found on microorganisms and on some endogenous proteins (Su et al. 2005).Rat anti mouse CD206 antibody, clone MR5D3 has been reported to be non-inhibitory for the binding of the mannose receptor to carbohydrate ligands (Zamze et al. 2002). Clone MR5D3 has also been shown to work in Western Blot (Martinez-Pomares et al. 2003 and Su et al. 2005).
Biological Information
- Clonality: Monoclonal
- Host: Rat
- Reactivity: Mouse
- Isotype: IgG2a
Handling
- Quantity: 0.25 mg
- Storage: +4ºC, -20ºC if preferred
- Buffer: Phosphate buffered saline, 0.09% Sodium Azide
Applications
- Flow Cytometry (FC)
- Immunofluorescence (IF)
- Immunohistochemistry (Frozen Sections) (IHC (Fr))
- Immunoprecipitation (IP)


