Product & ReviewsAntibodies
RAT ANTI HUMAN CD235a
Product Details
- Cat. No.
- MCA506G
- Type
- Primary Antibody
- Clonality
- Monoclonal
- Host
- Rat

The supplier does not provide quotations for this antibody through SelectScience. You can search for similar antibodies in our Antibody Directory.
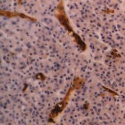
Description
Rat anti Human CD235a antibody, clone YTH89.1 recognizes glycophorin A, a major sialoglycoprotein of the human erythrocyte membrane.
Biological Information
- Clonality: Monoclonal
- Host: Rat
- Reactivity: Human
- Isotype: IgG2b
Handling
- Quantity: 0.2 mg
- Storage: +4ºC, -20ºC if preferred
- Buffer: Phosphate buffered saline, 0.09% Sodium Azide
Applications
- Cytotoxicity Test (CyTox)
- Flow Cytometry (FC)
- Immunohistochemistry (Frozen Sections) (IHC (Fr))
- Immunohistochemistry (Paraffin-Embedded Sections) (IHC (P))


