Product & ReviewsAntibodies
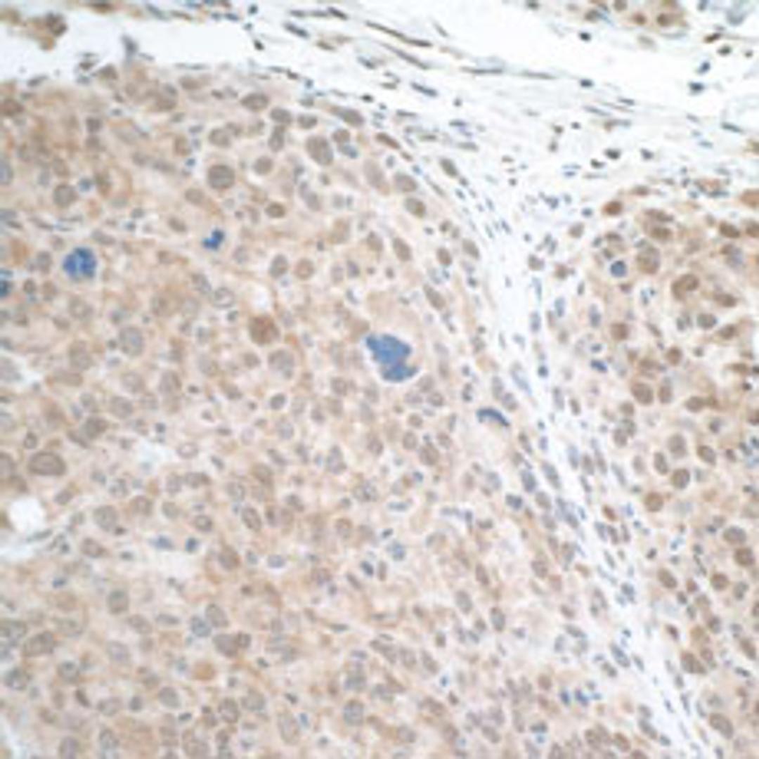
Rabbit anti-STAT3 Recombinant Monoclonal Antibody [BLR098G]
Product Details
- Cat. No.
- A700-098
- Type
- Primary Antibody
- Clonality
- Recombinant
- Host
- Rabbit

The supplier does not provide quotations for this antibody through SelectScience. You can search for similar antibodies in our Antibody Directory.
Description
Rabbit anti-STAT3 Recombinant Monoclonal Antibody [BLR098G]
Biological Information
- Clonality: Recombinant
- Host: Rabbit
- Reactivity: Human, Mouse
- Antigen: STAT3
- Clone: BLR098G
- Conjugate: Unconjugated
- Isotype: IgG
- Gene: 6774
Handling
- Quantity: 100 µl (50+ tests)
- Storage: 2 - 8° C
- Buffer: Borate Buffered Saline (BBS) pH 8.2 with 0.09% Sodium Azide, BSA Free
Applications
- Immunocytochemistry (ICC)
- Immunohistochemistry (IHC)
- Immunoprecipitation (IP)
- Western Blotting (WB)


