Product & ReviewsAntibodies
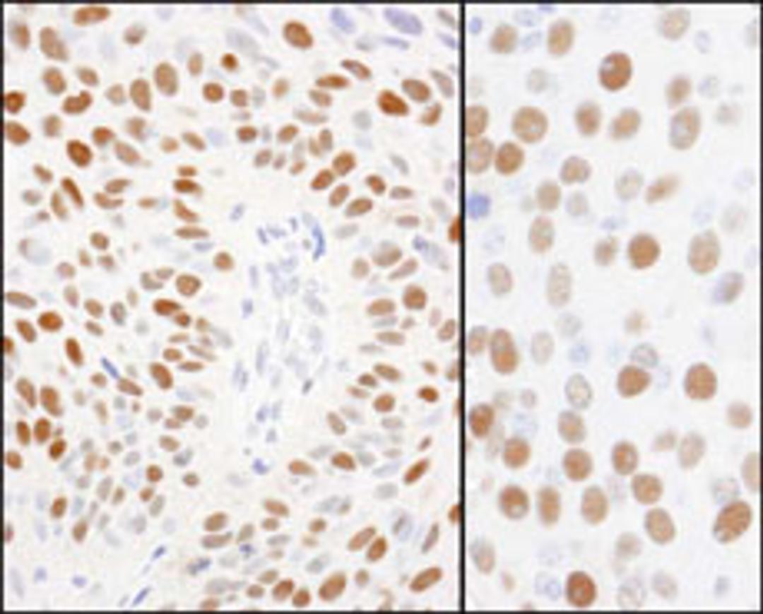
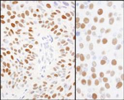
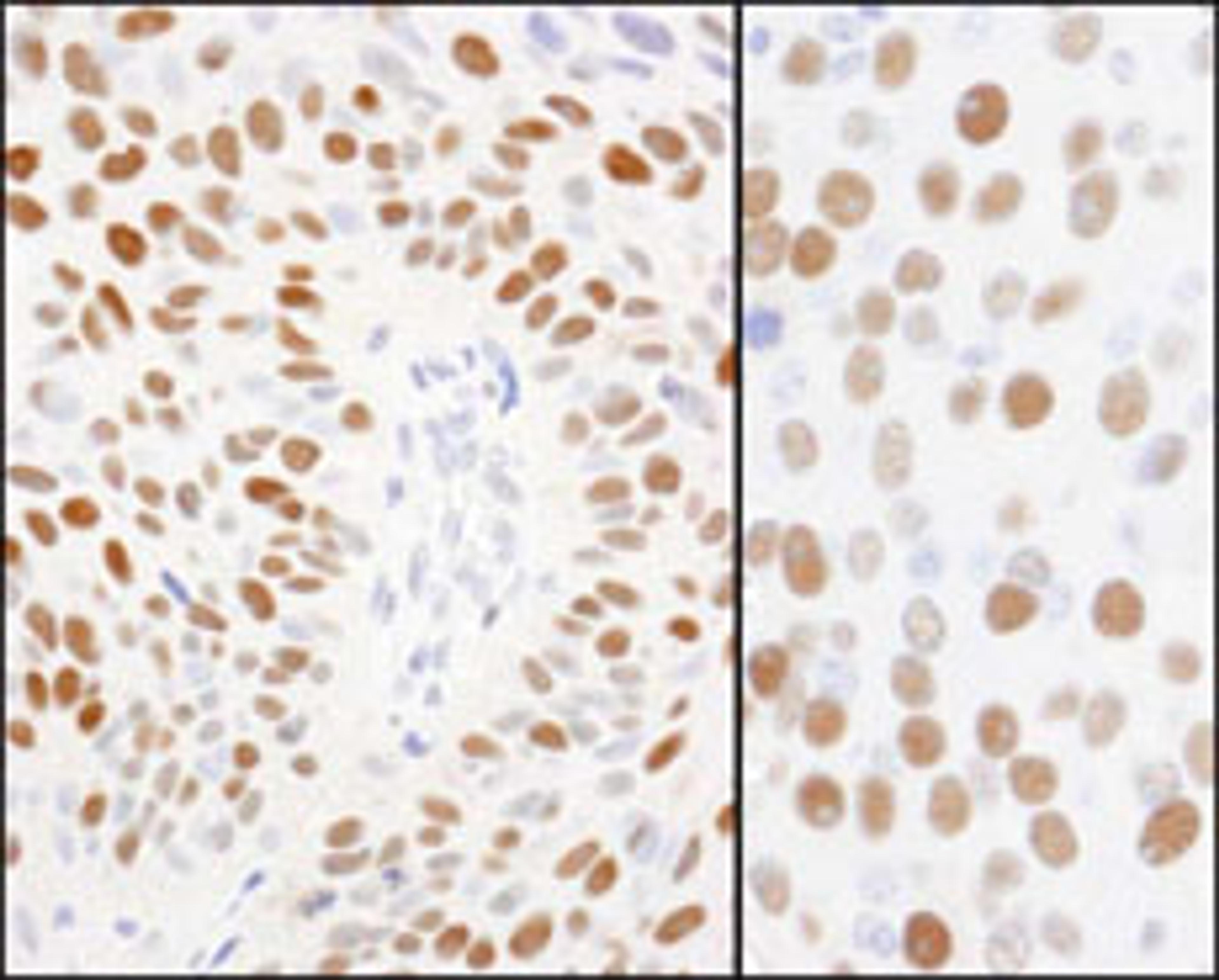
Rabbit anti-Phospho MCM2 (S108) Antibody, Affinity Purified
Product Details
- Cat. No.
- A300-094A-T
- Clonality
- Polyclonal
- Host
- Rabbit

The supplier does not provide quotations for this antibody through SelectScience. You can search for similar antibodies in our Antibody Directory.
Description
Rabbit anti-Phospho MCM2 (S108) Antibody, Affinity Purified
Biological Information
- Clonality: Polyclonal
- Host: Rabbit
- Reactivity: Human, Mouse
- Conjugate: Unconjugated
Handling
- Quantity: 10 µl
- Storage: 2 - 8°C
- Buffer: Tris-citrate/phosphate buffer, pH 7 to 8 containing 0.09% Sodium Azide
Applications
- Immunohistochemistry (IHC)
- Western Blotting (WB)


