Product & ReviewsAntibodies
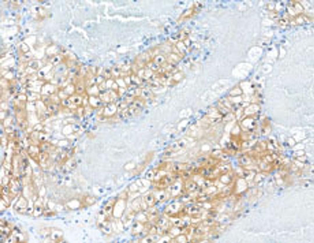
Rabbit anti-MIF Recombinant Monoclonal Antibody [BLR141J]
Product Details
- Cat. No.
- A700-141
- Type
- Primary Antibody
- Clonality
- Recombinant
- Host
- Rabbit

The supplier does not provide quotations for this antibody through SelectScience. You can search for similar antibodies in our Antibody Directory.
Description
Rabbit anti-MIF Recombinant Monoclonal Antibody [BLR141J]
Biological Information
- Clonality: Recombinant
- Host: Rabbit
- Reactivity: Human
- Antigen: MIF
- Clone: BLR141J
- Conjugate: Unconjugated
- Isotype: IgG
- Gene: 4282
Handling
- Quantity: 100 µl (50+ tests)
- Storage: 2 - 8° C
- Buffer: Phosphate Buffered Saline (PBS) containing 0.2% BSA and 0.09% Sodium Azide
Applications
- Immunocytochemistry (ICC)
- Immunohistochemistry (IHC)
- Western Blotting (WB)


