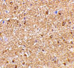
RABBIT ANTI HUMAN NOGOA (N-TERMINAL)
Product Details
- Cat. No.
- AHP1799
- Type
- Primary Antibody
- Clonality
- Polyclonal
- Host
- Rabbit

The supplier does not provide quotations for this antibody through SelectScience. You can search for similar antibodies in our Antibody Directory.
Description
Rabbit anti Human NOGOA antibody recognizes human Reticulon-4 (RTN4), also known as NogoA, neurite outgrowth inhibitor, Foocen, Neuroendocrine-specific protein, Neuroendocrine-specific protein C homolog, Reticulon-5 or RTN-x. NogoA is a 1192 amino acid multi pass transmembrane protein associated with the endoplasmic reticulum, a member of a family of integral membrane proteins termed reticulons. Six isoforms of NogoA can be generated by alternative splicing, the canonical isoform 1 is predominantly expressed in the brain and testis with weaker expression in the heart and skeletal muscle.Reticulons are involved in various neurodegenerative diseases such as Amyotrophic lateral sclerosis,and multiple sclerosis (Chiurchiù et al. 2014). Reticulon proteins have been demonstrated to regulate many cellular processes and interact with multiple proteins and receptors such as BACE. NogoA was initially identified as a myelin-associated neurite outgrowth inhibitor (Niederöst et al. 2002). NogoA is highly expressed in oligodendrocytes in the white matter of the CNS (Kuhlmann et al. 2008). Blocking NogoA activity with antibodies or other factors results in improved long distance axonal regeneration and functional recovery in experimental CNS lesion models (Schwab 2004).NOGOA has a predicted molecular weight of 130kDa however, despite its predicted molecular weight, NogoA typically migrates at ~180kDa in an SDS-PAGE. Rabbit anti human NOGOA antibody is expected to recogniz
Biological Information
- Clonality: Polyclonal
- Host: Rabbit
- Reactivity: Human, Mouse, Rat
- Isotype: Polyclonal IgG
Handling
- Quantity: 0.1 mg
- Storage: +4ºC, -20ºC if preferred
- Buffer: Phosphate buffered saline, 0.02% Sodium Azide
Applications
- Immunohistochemistry (Paraffin-Embedded Sections) (IHC (P))
- Western Blotting (WB)


