Product & ReviewsAntibodies
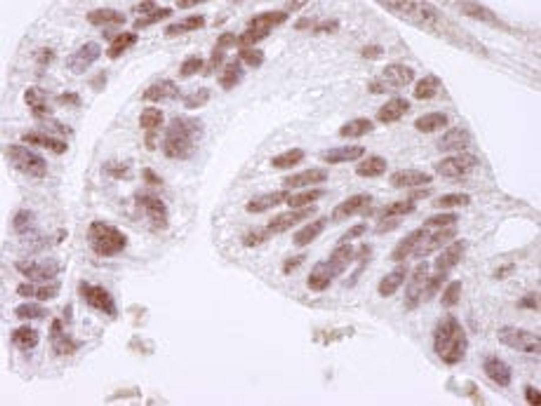
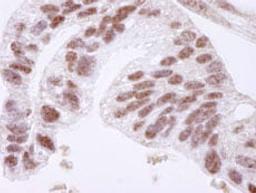
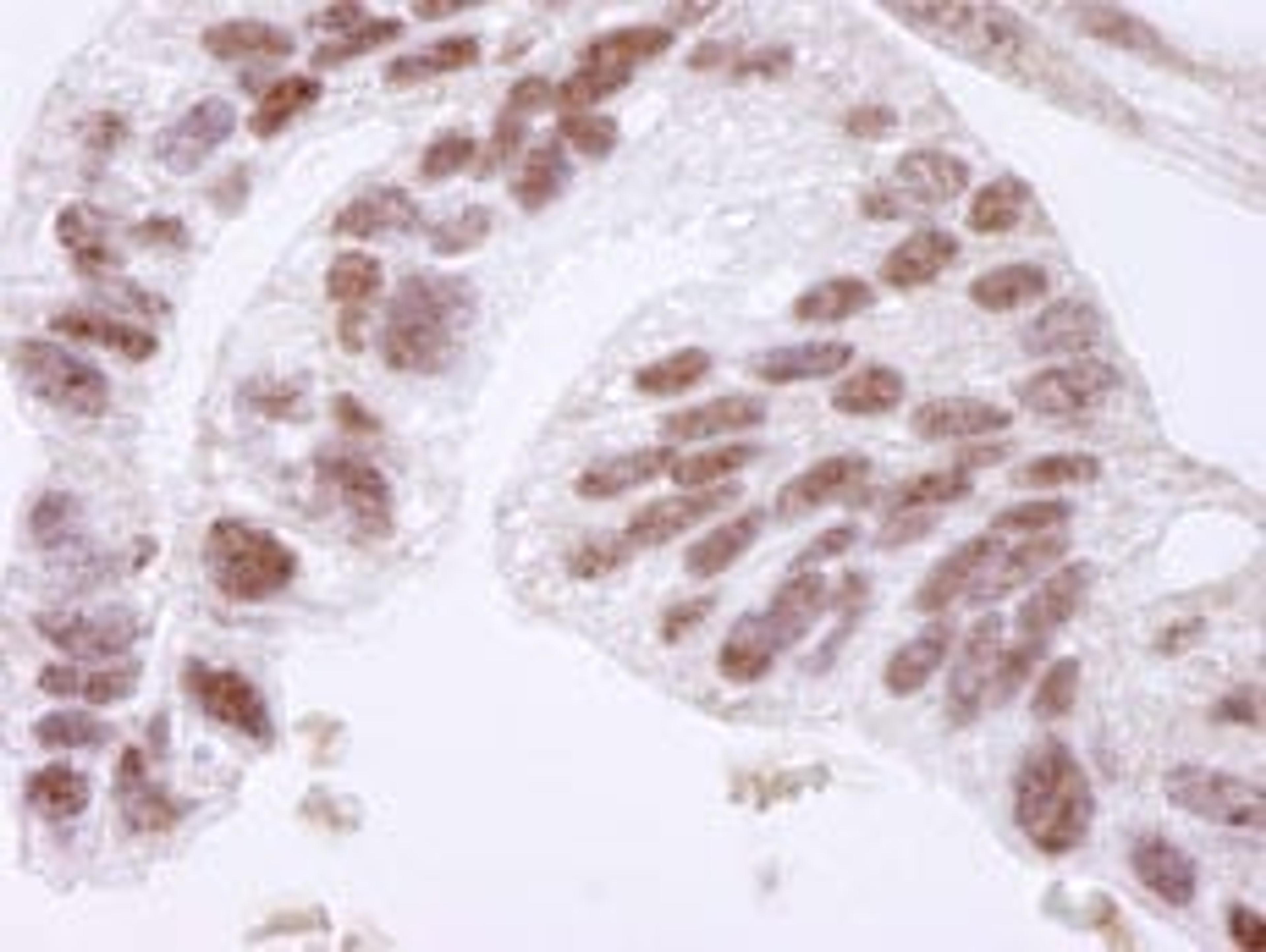
Rabbit anti-CTCF IHC Antibody, Affinity Purified
Product Details
- Cat. No.
- IHC-00046
- Type
- Primary Antibody
- Clonality
- Polyclonal
- Host
- Rabbit

The supplier does not provide quotations for this antibody through SelectScience. You can search for similar antibodies in our Antibody Directory.


