Product & ReviewsAntibodies
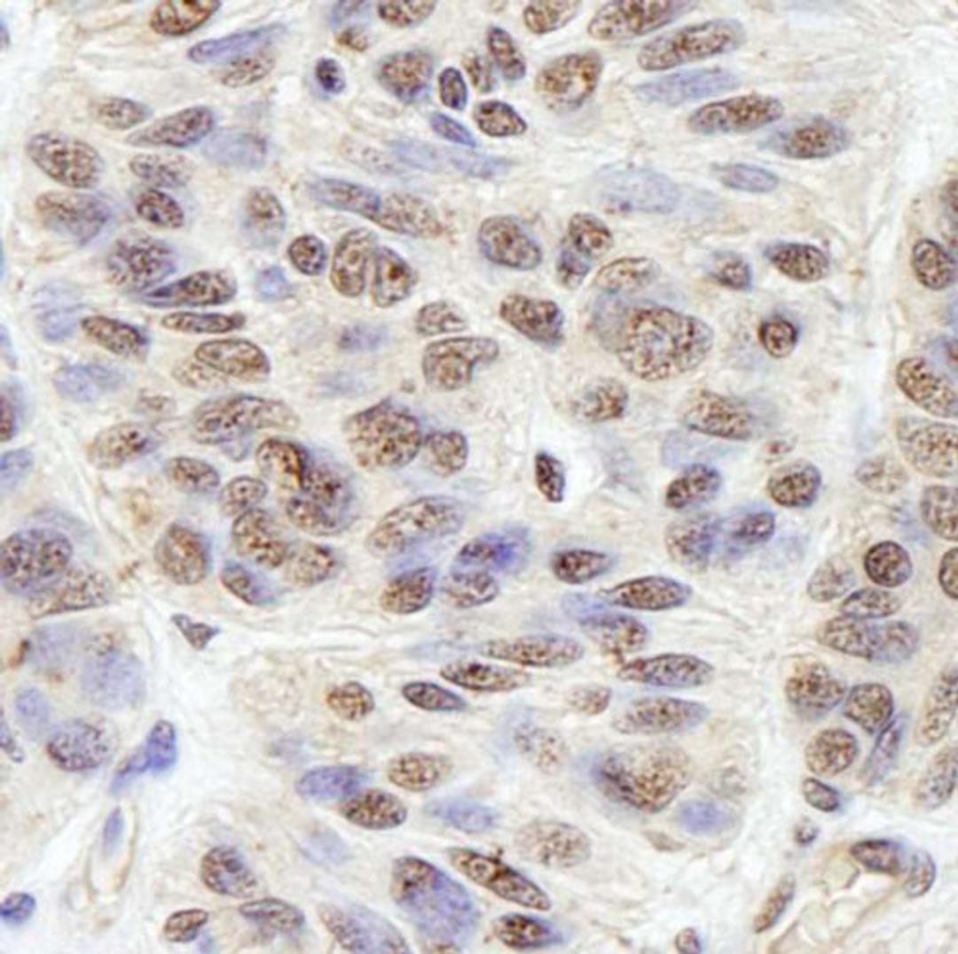
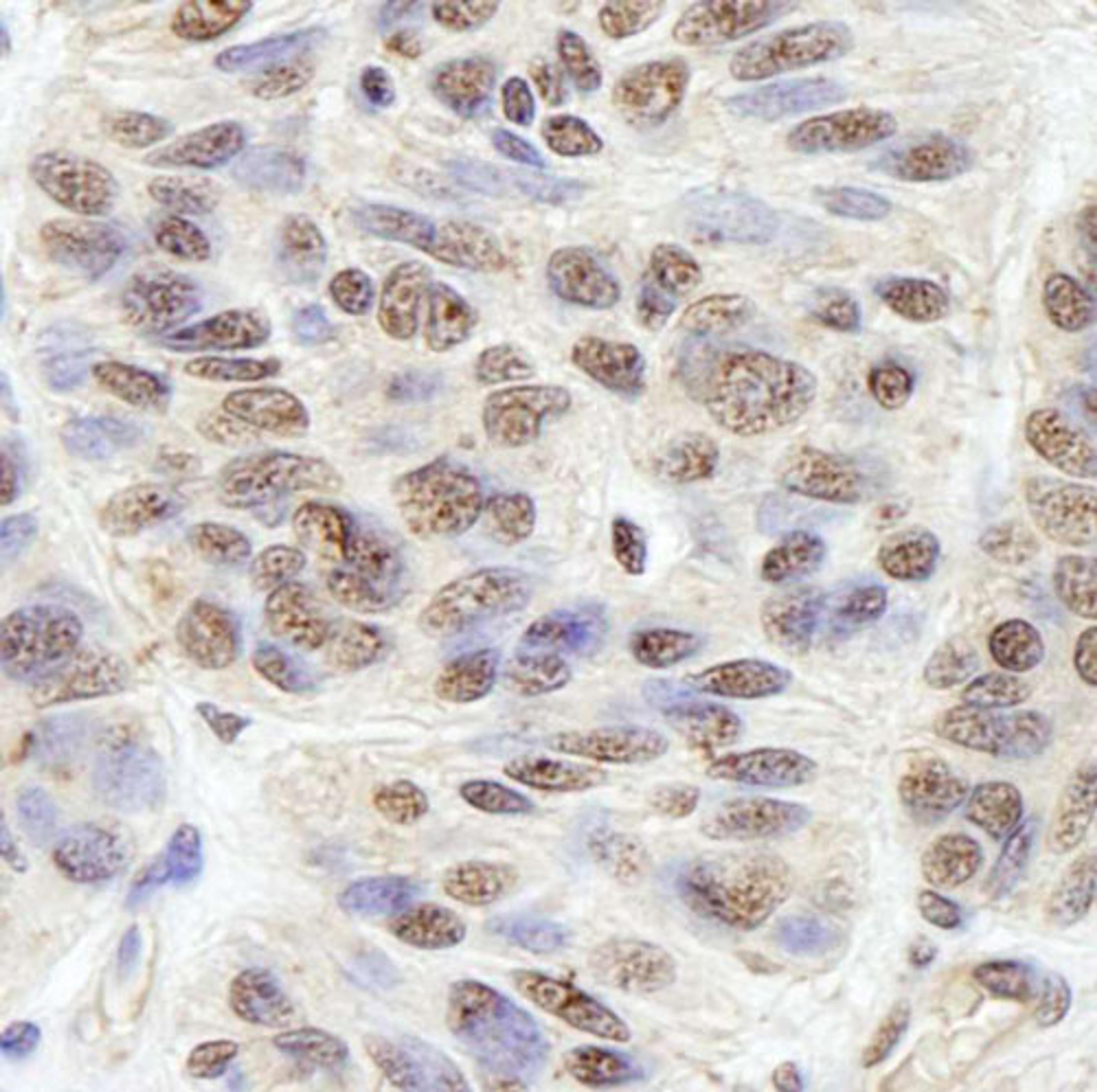
Rabbit anti-BLAP75 IHC Antibody, Affinity Purified
Product Details
- Cat. No.
- IHC-00085
- Type
- Primary Antibody
- Clonality
- Polyclonal
- Host
- Rabbit

The supplier does not provide quotations for this antibody through SelectScience. You can search for similar antibodies in our Antibody Directory.
Description
Rabbit anti-BLAP75 IHC Antibody, Affinity Purified
Biological Information
- Clonality: Polyclonal
- Host: Rabbit
- Reactivity: Human
- Antigen: BLAP75
- Conjugate: Unconjugated
- Isotype: IgG
- Gene: 80010
Handling
- Quantity: 100 µl
- Storage: 2 - 8° C
- Buffer: Tris-buffered Saline containing 0.1% BSA and 0.09% Sodium Azide
Applications
- Immunohistochemistry (IHC)


