Product & ReviewsAntibodies
RABBIT ANTI ATG13
Product Details
- Cat. No.
- AHP2242
- Type
- Primary Antibody
- Clonality
- Polyclonal
- Host
- Rabbit

The supplier does not provide quotations for this antibody through SelectScience. You can search for similar antibodies in our Antibody Directory.
Description
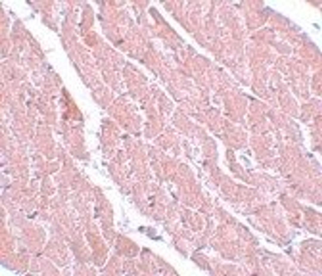
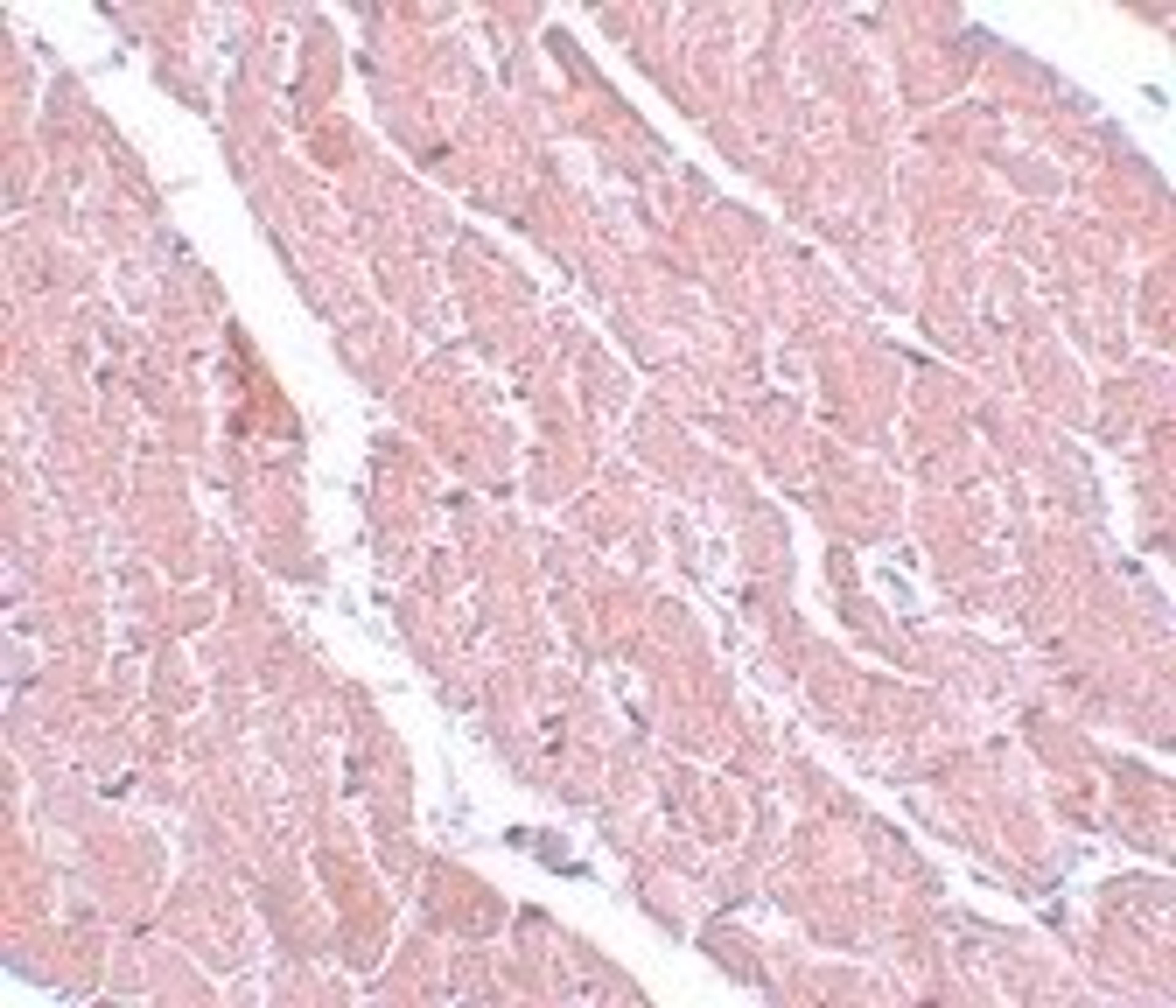
Rabbit anti Human ATG13 antibody recognises human Autophagy-related protein 13 (ATG13), a 517 amino acid ~55 kDa protein belonging to the ATG13 metazoan family.
Biological Information
- Clonality: Polyclonal
- Host: Rabbit
- Reactivity: Human, Mouse, Rat
- Isotype: Polyclonal IgG
Handling
- Quantity: 0.1 mg
- Storage: +4ºC, -20ºC if preferred
- Buffer: Phosphate buffered saline, 0.02% Sodium Azide
Applications
- ELISA (ELISA)
- Immunohistochemistry (Paraffin-Embedded Sections) (IHC (P))
- Western Blotting (WB)


