Product & ReviewsAntibodies
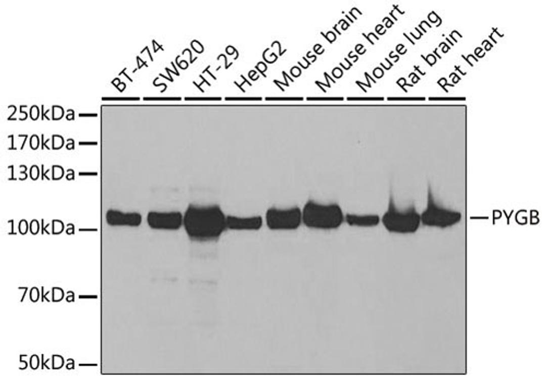
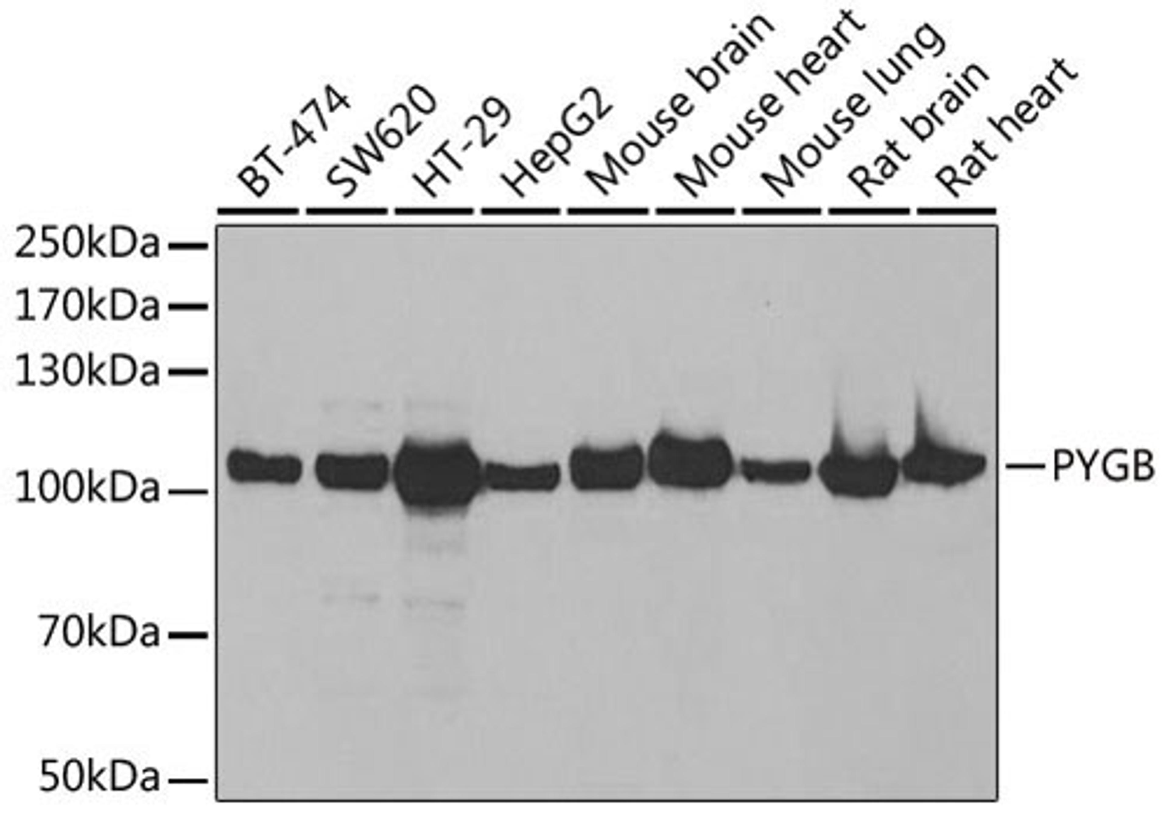
PYGB Rabbit pAb
Product Details
- Cat. No.
- A6402
- Type
- Primary Antibody
- Clonality
- Polyclonal
- Host
- Rabbit

The supplier does not provide quotations for this antibody through SelectScience. You can search for similar antibodies in our Antibody Directory.
Description
The protein encoded by this gene is a glycogen phosphorylase found predominantly in the brain. The encoded protein forms homodimers which can associate into homotetramers, the enzymatically active form of glycogen phosphorylase. The activity of this enzyme is positively regulated by AMP and negatively regulated by ATP, ADP, and glucose-6-phosphate. This enzyme catalyzes the rate-determining step in glycogen degradation.
Biological Information
- Clonality: Polyclonal
- Host: Rabbit
- Reactivity: Human, Mouse, Rat


