Product & ReviewsAntibodies
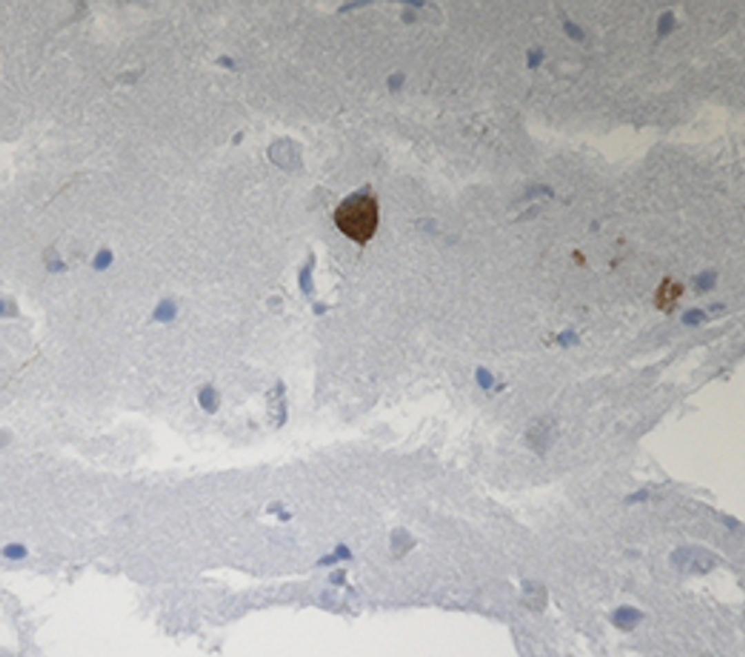
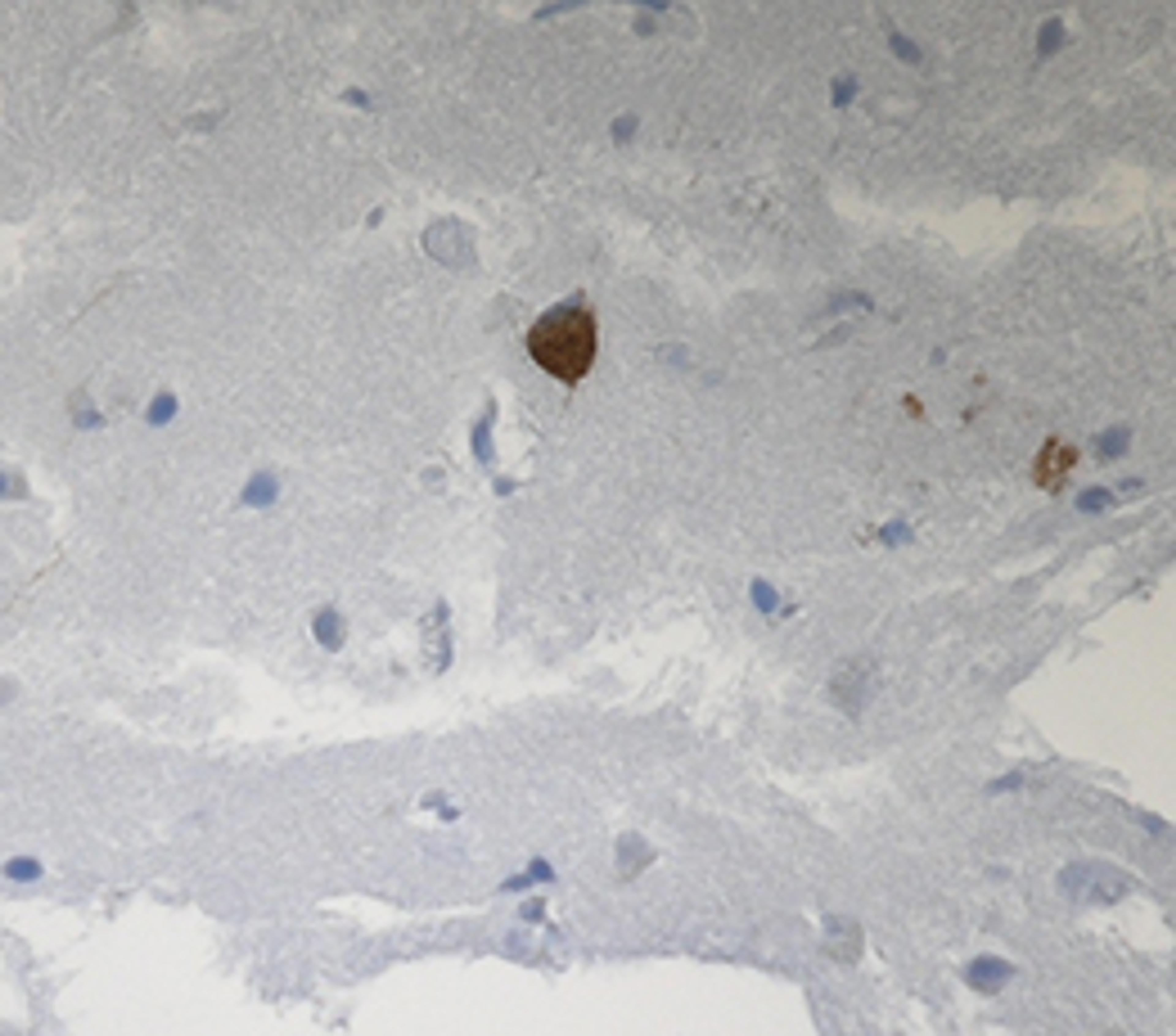
Purified anti-Tau, 316-355
Product Details
- Cat. No.
- 816703
- Type
- Primary Antibody
- Clonality
- Monoclonal
- Host
- Mouse

The supplier does not provide quotations for this antibody through SelectScience. You can search for similar antibodies in our Antibody Directory.
Description
Purified anti-Tau, 316-355; Clone: 77G7; Reactivity: Human, Rat; Apps: WB, IHC; Size: 25 μl
Biological Information
- Clonality: Monoclonal
- Host: Mouse
- Reactivity: Human, Rat
- Clone: 77G7
- Conjugate: PUREAF
- Isotype: Mouse IgG1
- Gene: 4137
Handling
- Quantity: 25 μl
- Storage: 2°C-8°C
Applications
- Immunohistochemistry (IHC)
- Western Blotting (WB)


