Product & ReviewsAntibodies
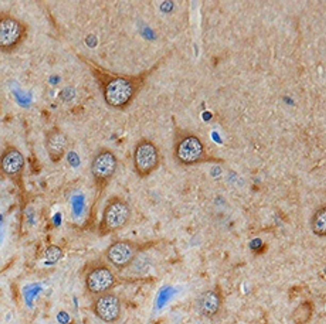
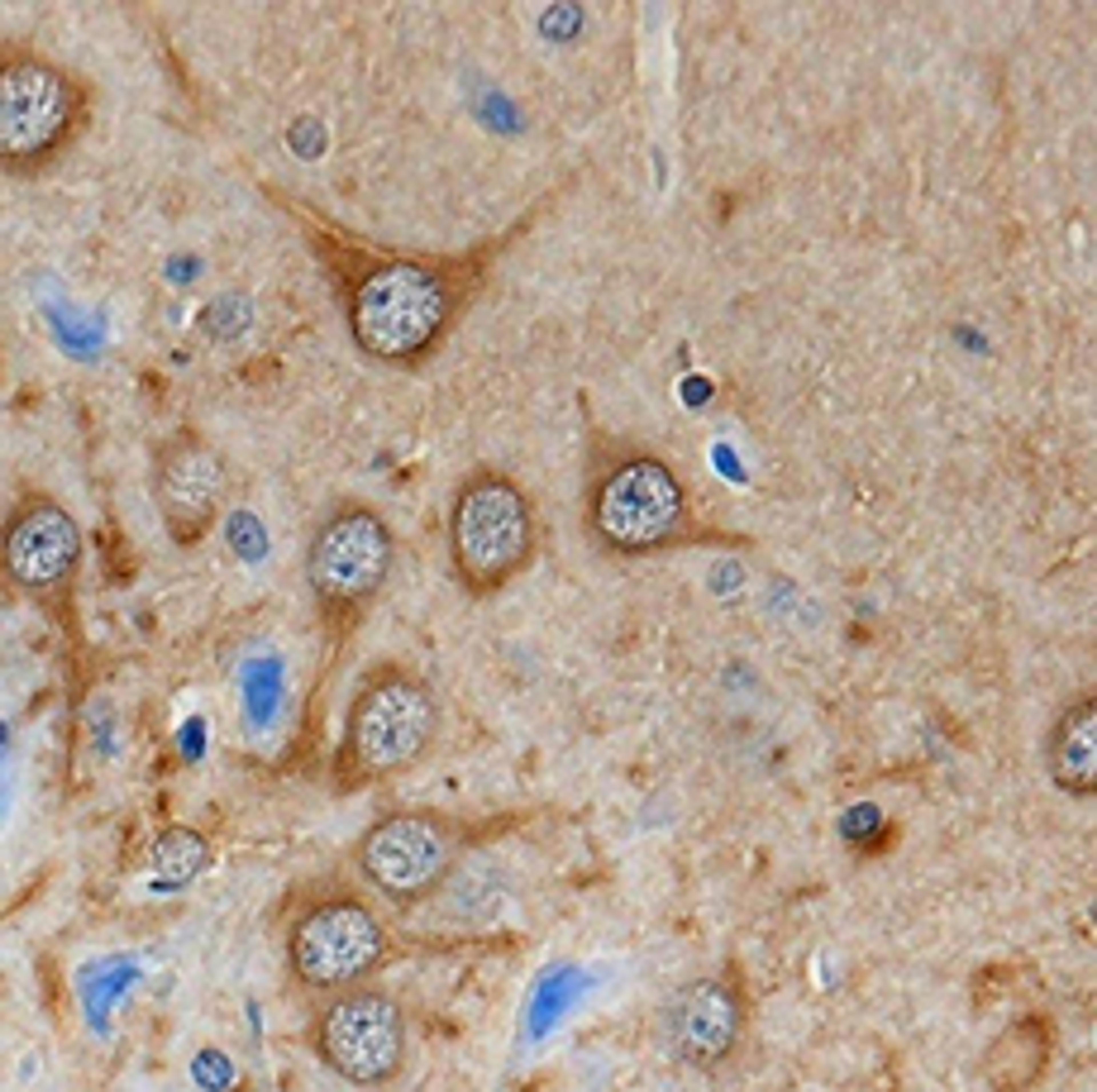
Purified anti-SVOP
Product Details
- Cat. No.
- 819901
- Type
- Primary Antibody
- Clonality
- Monoclonal
- Host
- Mouse

The supplier does not provide quotations for this antibody through SelectScience. You can search for similar antibodies in our Antibody Directory.
Description
Purified anti-SVOP; Clone: N356/9; Reactivity: Mouse, Rat, Human; Apps: WB, IHC; Size: 100 μl
Biological Information
- Clonality: Monoclonal
- Host: Mouse
- Reactivity: Human, Mouse, Rat
- Clone: N356/9
- Conjugate: PUREAF
- Isotype: Mouse IgG2b
- Gene: 171442
Handling
- Quantity: 100 microl
- Storage: -20°C
Applications
- Immunohistochemistry (IHC)
- Western Blotting (WB)


