Product & ReviewsAntibodies
Purified anti-PSD95
Product Details
- Cat. No.
- 810401
- Type
- Primary Antibody
- Clonality
- Monoclonal
- Host
- Mouse

The supplier does not provide quotations for this antibody through SelectScience. You can search for similar antibodies in our Antibody Directory.
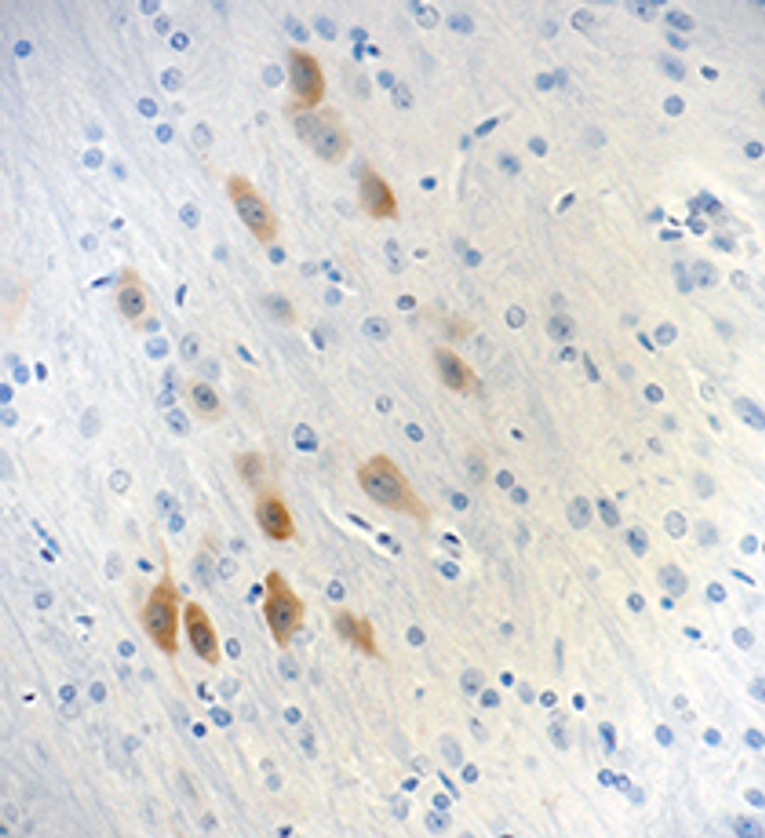
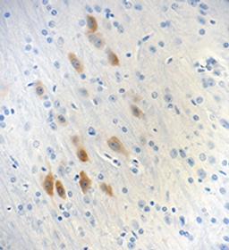
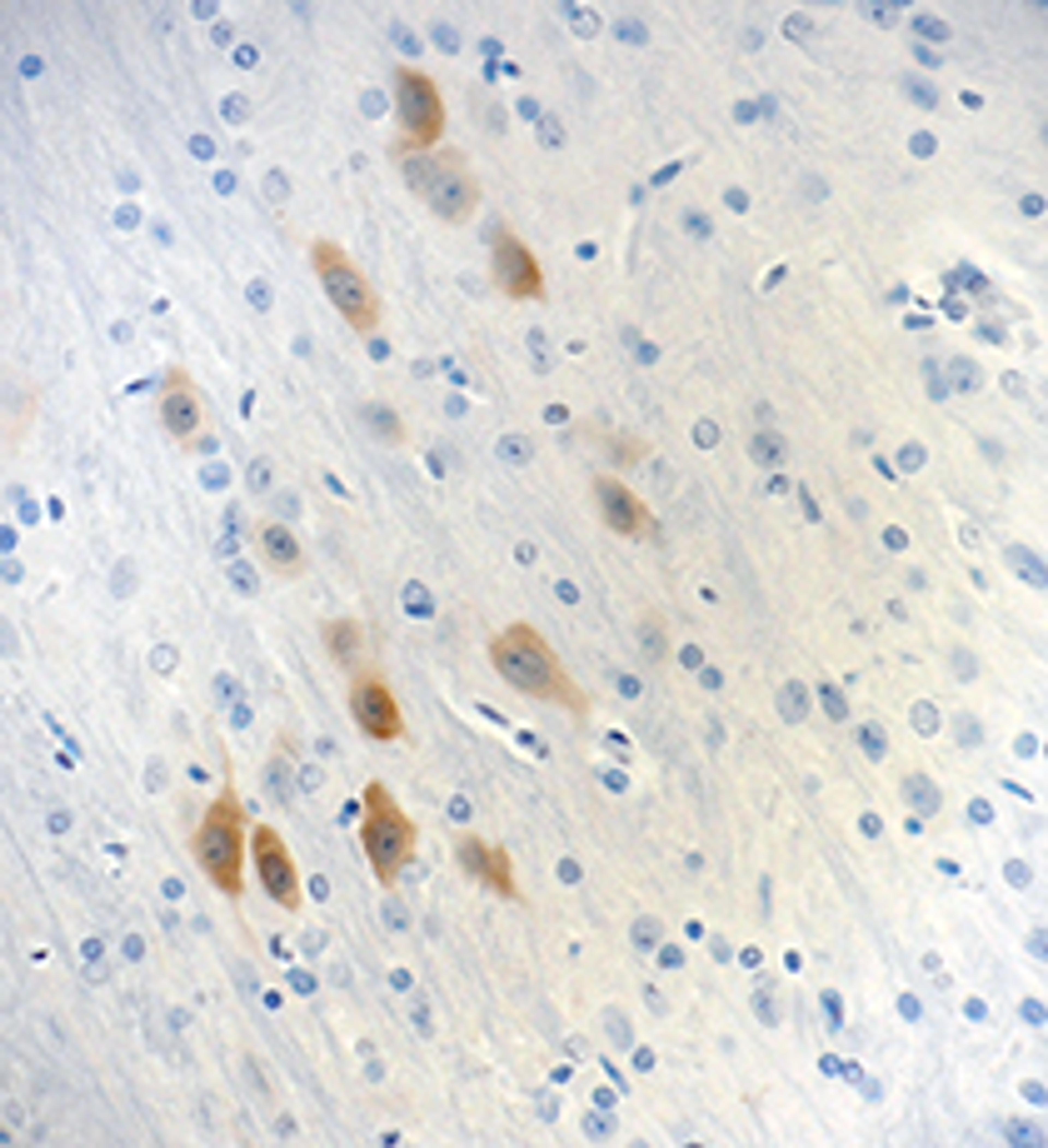
Description
Purified anti-PSD95; Clone: K28/43; Reactivity: Human, Rat, Mouse; Apps: WB, IHC, ICC; Size: 100 μl
Biological Information
- Clonality: Monoclonal
- Host: Mouse
- Reactivity: Human, Mouse, Rat
- Clone: K28/43
- Conjugate: PUREAF
- Isotype: Mouse IgG2a
- Gene: 1742
Handling
- Quantity: 100 microl
- Storage: 2°C-8°C
Applications
- Immunocytochemistry (ICC)
- Immunohistochemistry (IHC)
- Western Blotting (WB)


