Product & ReviewsAntibodies
Purified anti-PP2AC (Leu309)
Product Details
- Cat. No.
- 824101
- Type
- Primary Antibody
- Clonality
- Monoclonal
- Host
- Mouse

The supplier does not provide quotations for this antibody through SelectScience. You can search for similar antibodies in our Antibody Directory.
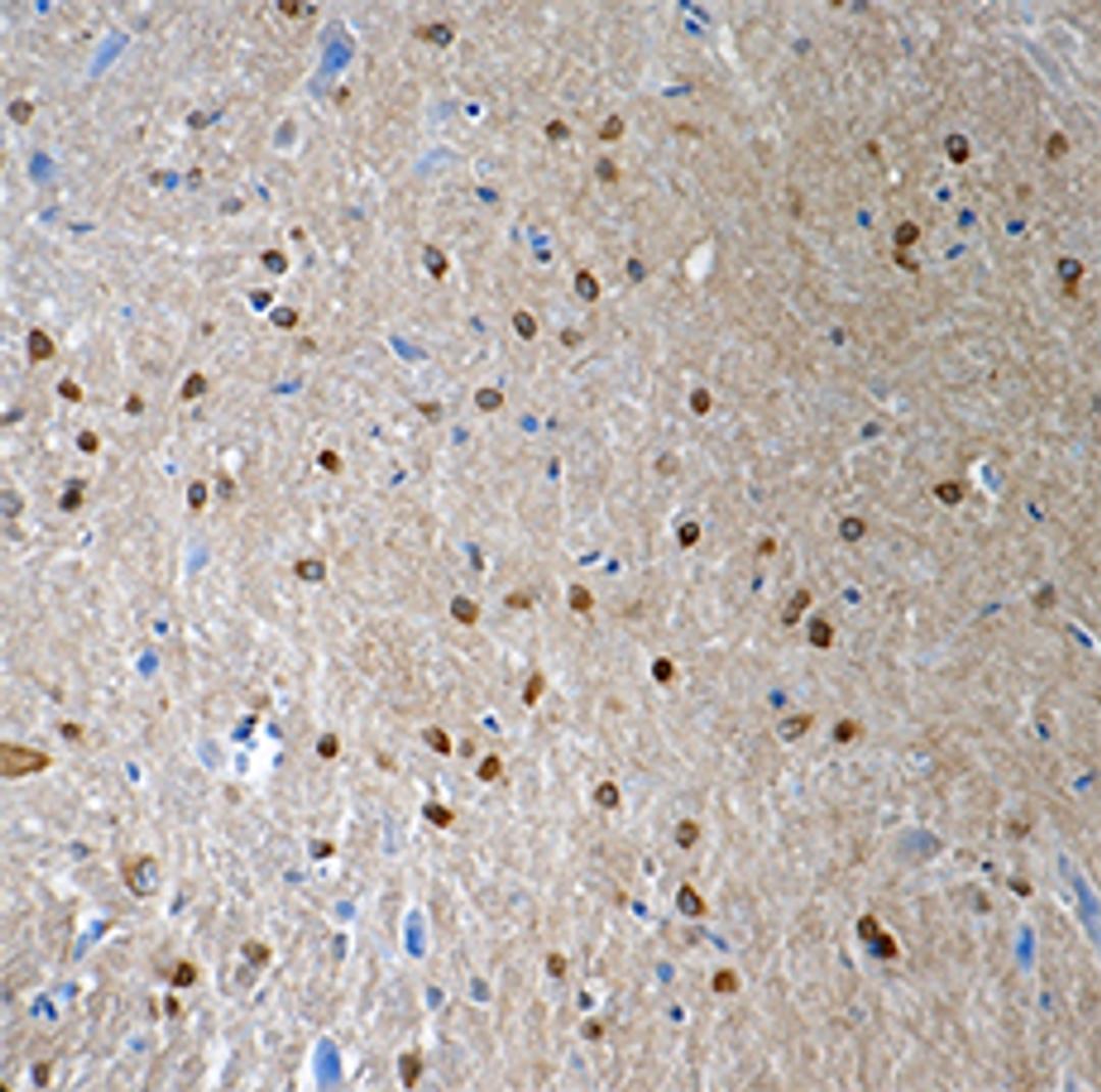
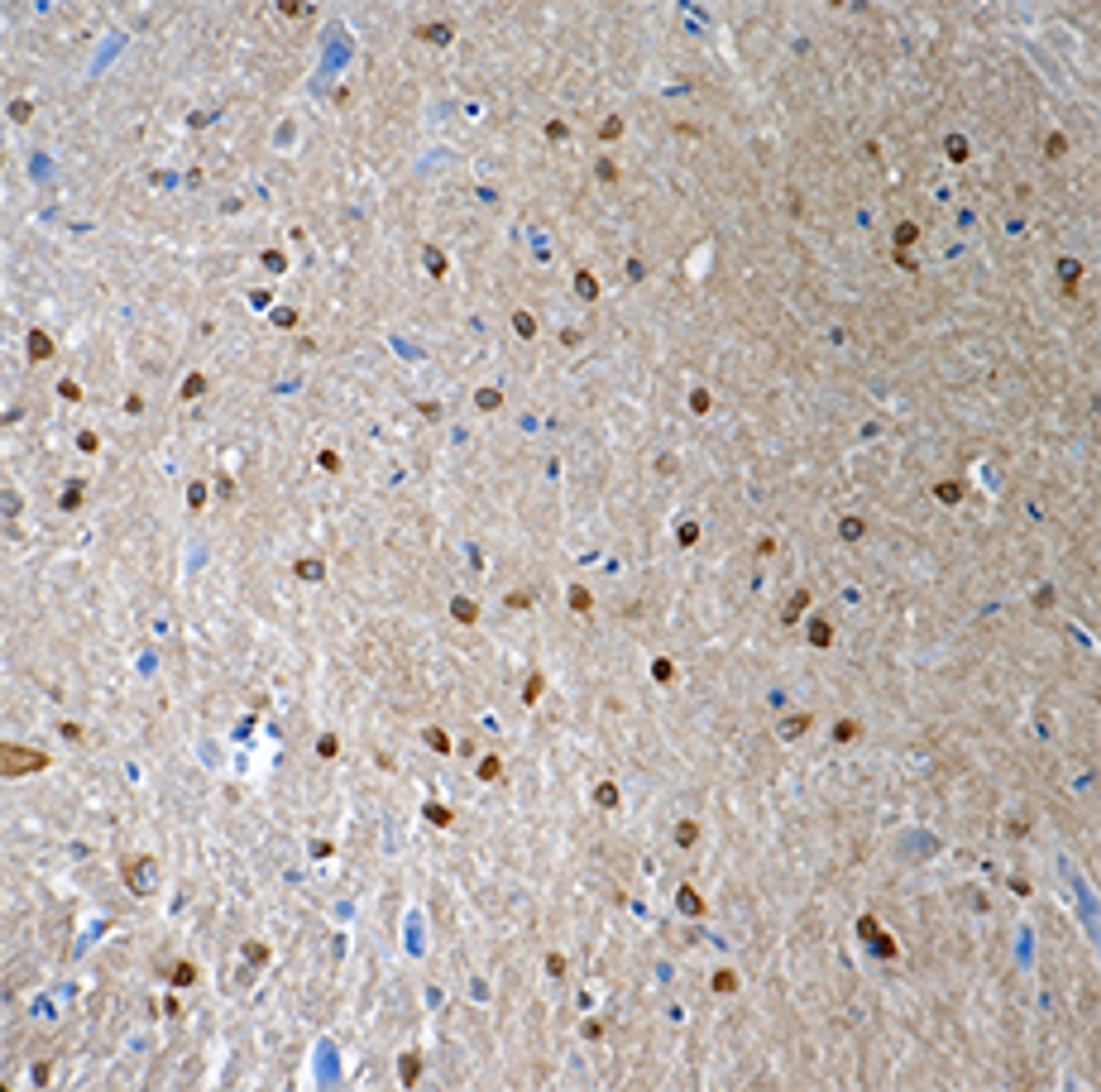
Description
Purified anti-PP2AC (Leu309); Clone: 1D7; Reactivity: Human, Mouse, Rat; Apps: WB, IHC; Size: 100 μl
Biological Information
- Clonality: Monoclonal
- Host: Mouse
- Reactivity: Human, Mouse, Rat
- Clone: 1D7
- Conjugate: PUREAF
- Isotype: Mouse IgG2a
- Gene: 5515
Handling
- Quantity: 100 microl
- Storage: 2°C-8°C
Applications
- Immunohistochemistry (IHC)
- Western Blotting (WB)


