Product & ReviewsAntibodies
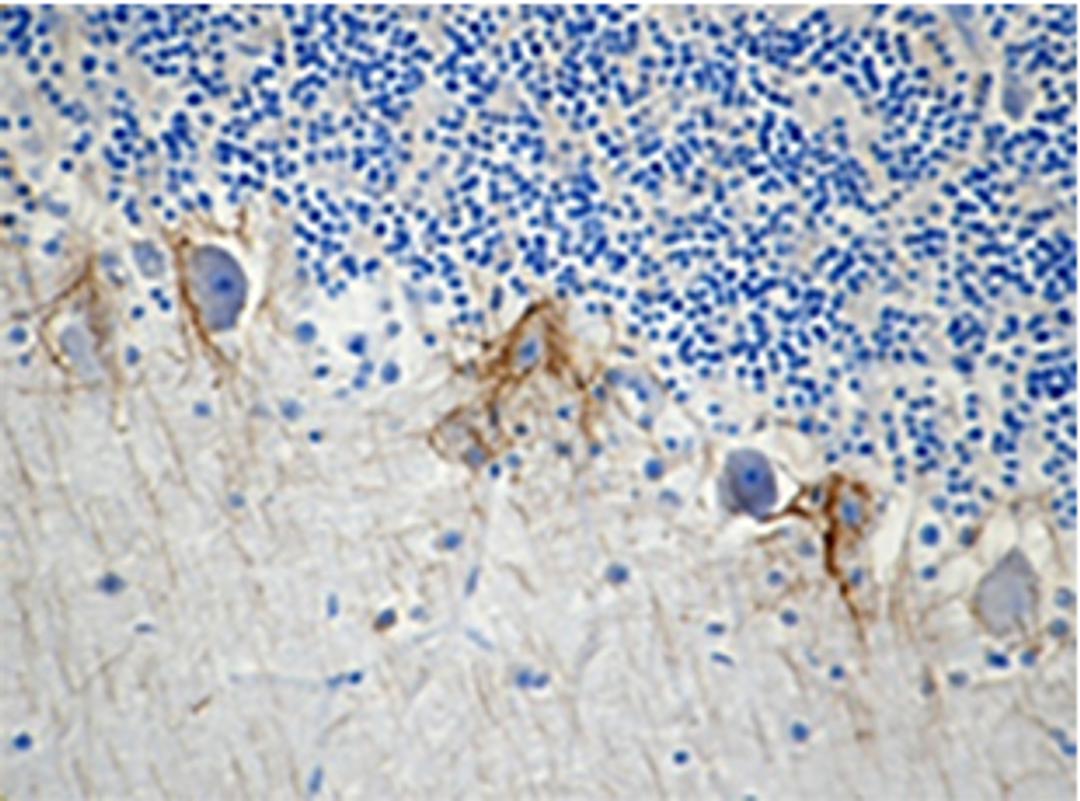
Purified anti-Neurofilament H & M (NF-H/NF-M), Hypophosphorylated
Product Details
- Cat. No.
- 835604
- Type
- Primary Antibody
- Clonality
- Monoclonal
- Host
- Mouse

The supplier does not provide quotations for this antibody through SelectScience. You can search for similar antibodies in our Antibody Directory.
Description
Purified anti-Neurofilament H & M (NF-H/NF-M), Hypophosphorylated; Clone: SMI 35; Reactivity: Mammalian; Apps: IHC, WB, ELISA Capture, IF; Size: 100 μg
Biological Information
- Clonality: Monoclonal
- Host: Mouse
- Reactivity: Mammalian
- Clone: SMI 35
- Conjugate: PURE
- Isotype: Mouse IgG1, κ
- Gene: 4744
Handling
- Quantity: 100 microg
- Storage: 2°C-8°C
Applications
- ELISA (ELISA)
- Immunofluorescence (IF)
- Immunohistochemistry (IHC)
- Western Blotting (WB)


