Product & ReviewsAntibodies
Purified anti-MAP2
Product Details
- Cat. No.
- 822501
- Type
- Primary Antibody
- Clonality
- Polyclonal
- Host
- Chicken

The supplier does not provide quotations for this antibody through SelectScience. You can search for similar antibodies in our Antibody Directory.
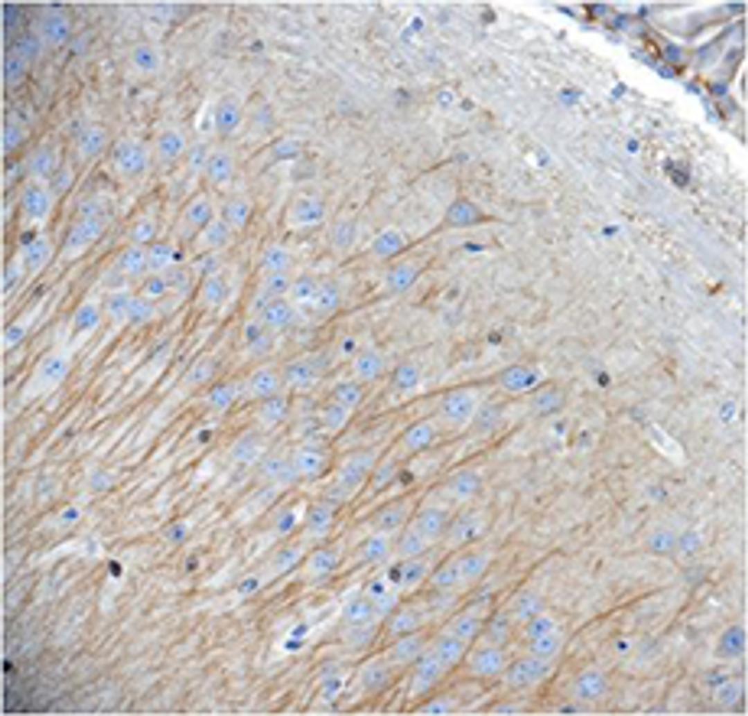
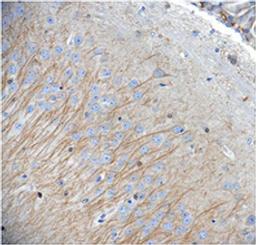
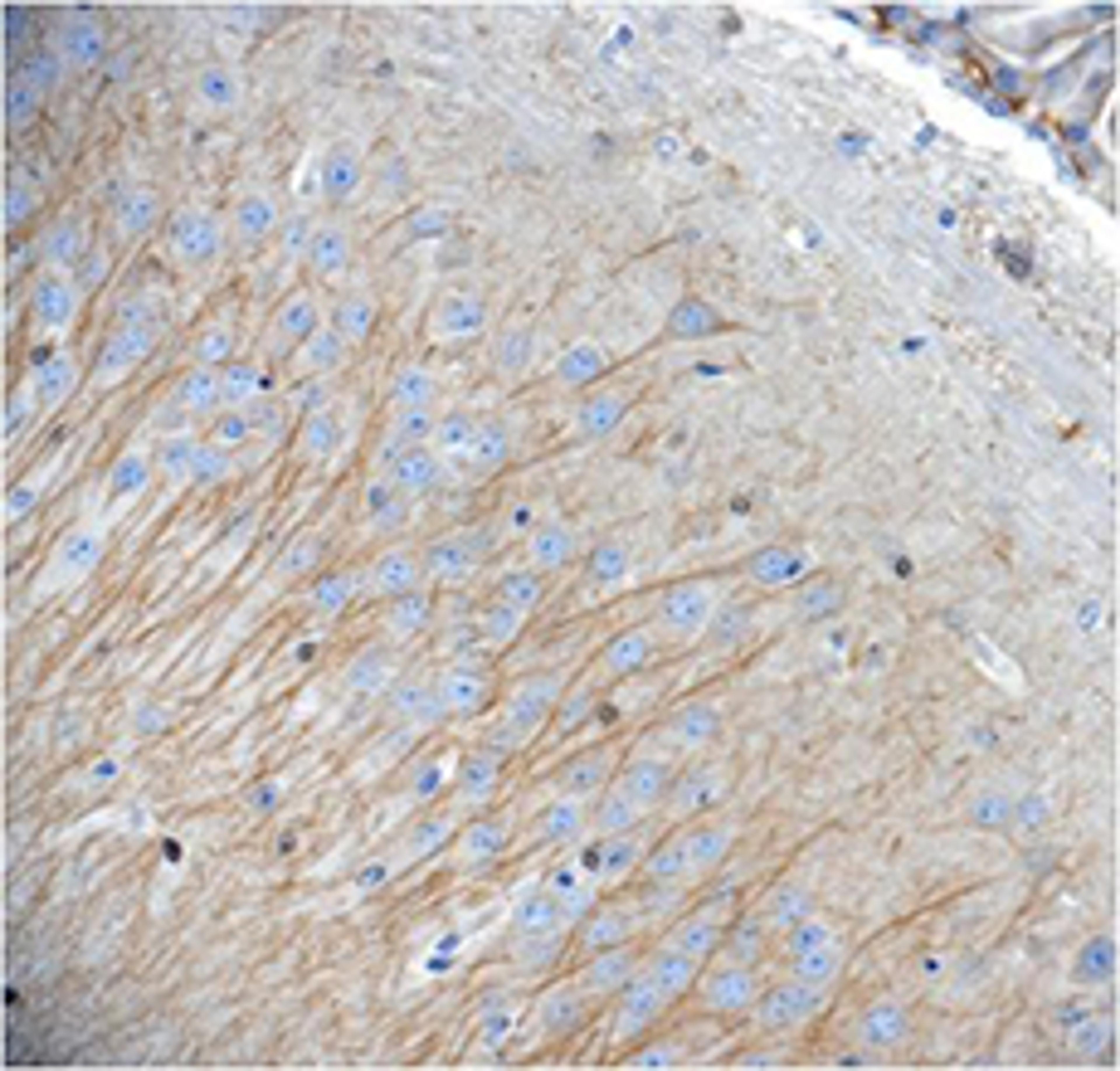
Description
Purified anti-MAP2; Clone: Poly28225; Reactivity: Human, Rat, Mouse, Bovine; Apps: WB, IF; Size: 50 μl
Biological Information
- Clonality: Polyclonal
- Host: Chicken
- Reactivity: Bovine, Human, Mouse, Rat
- Clone: Poly28225
- Conjugate: PURE
- Isotype: Chicken IgY
- Gene: 4133
Handling
- Quantity: 50 microl
- Storage: 2°C-8°C
Applications
- Immunofluorescence (IF)
- Western Blotting (WB)


