Product & ReviewsAntibodies
Purified anti-mAKAP
Product Details
- Cat. No.
- 902801
- Type
- Primary Antibody
- Clonality
- Polyclonal
- Host
- Rabbit

The supplier does not provide quotations for this antibody through SelectScience. You can search for similar antibodies in our Antibody Directory.
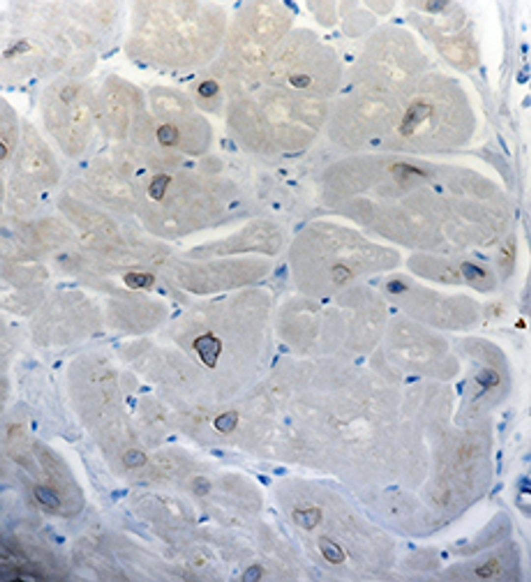
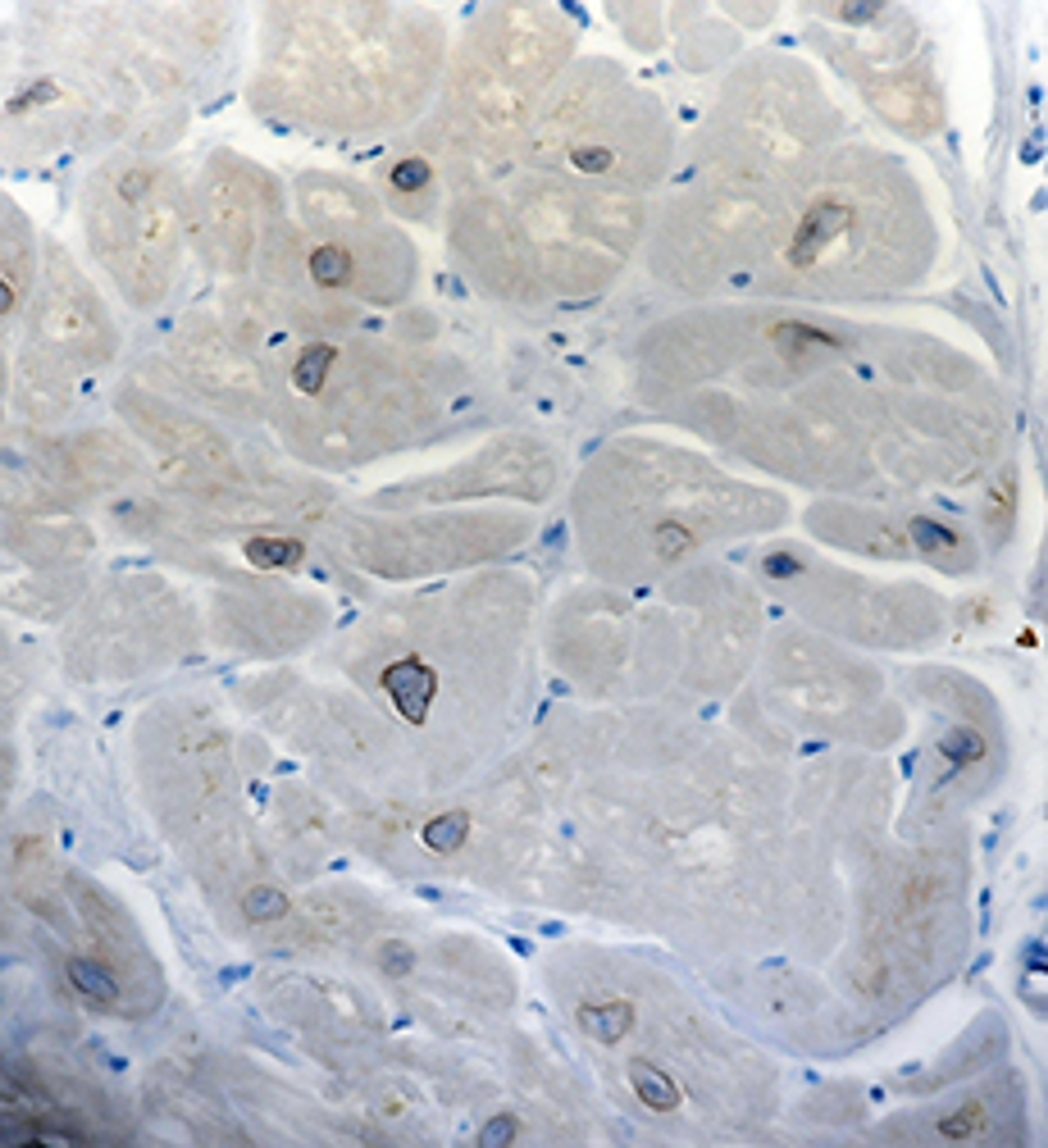
Description
Purified anti-mAKAP; Clone: Poly19028; Reactivity: Rat, Human; Apps: IHC, WB, IF, IP; Size: 100 μl
Biological Information
- Clonality: Polyclonal
- Host: Rabbit
- Reactivity: Human, Rat
- Clone: Poly19028
- Conjugate: PURE
- Isotype: Rabbit Polyclonal
- Gene: 64553
Handling
- Quantity: 100 microl
- Storage: 2°C-8°C
Applications
- Immunofluorescence (IF)
- Immunohistochemistry (IHC)
- Immunoprecipitation (IP)
- Western Blotting (WB)


