Product & ReviewsAntibodies
Purified anti-human Mast Cell Tryptase
Product Details
- Cat. No.
- 369402
- Type
- Flow Cytometry Reagents
- Clonality
- Monoclonal
- Host
- Mouse

The supplier does not provide quotations for this antibody through SelectScience. You can search for similar antibodies in our Antibody Directory.
Description
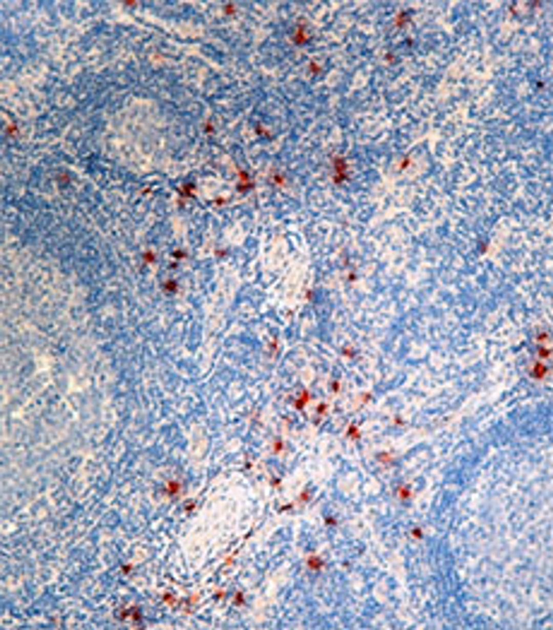
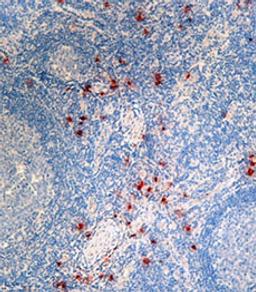
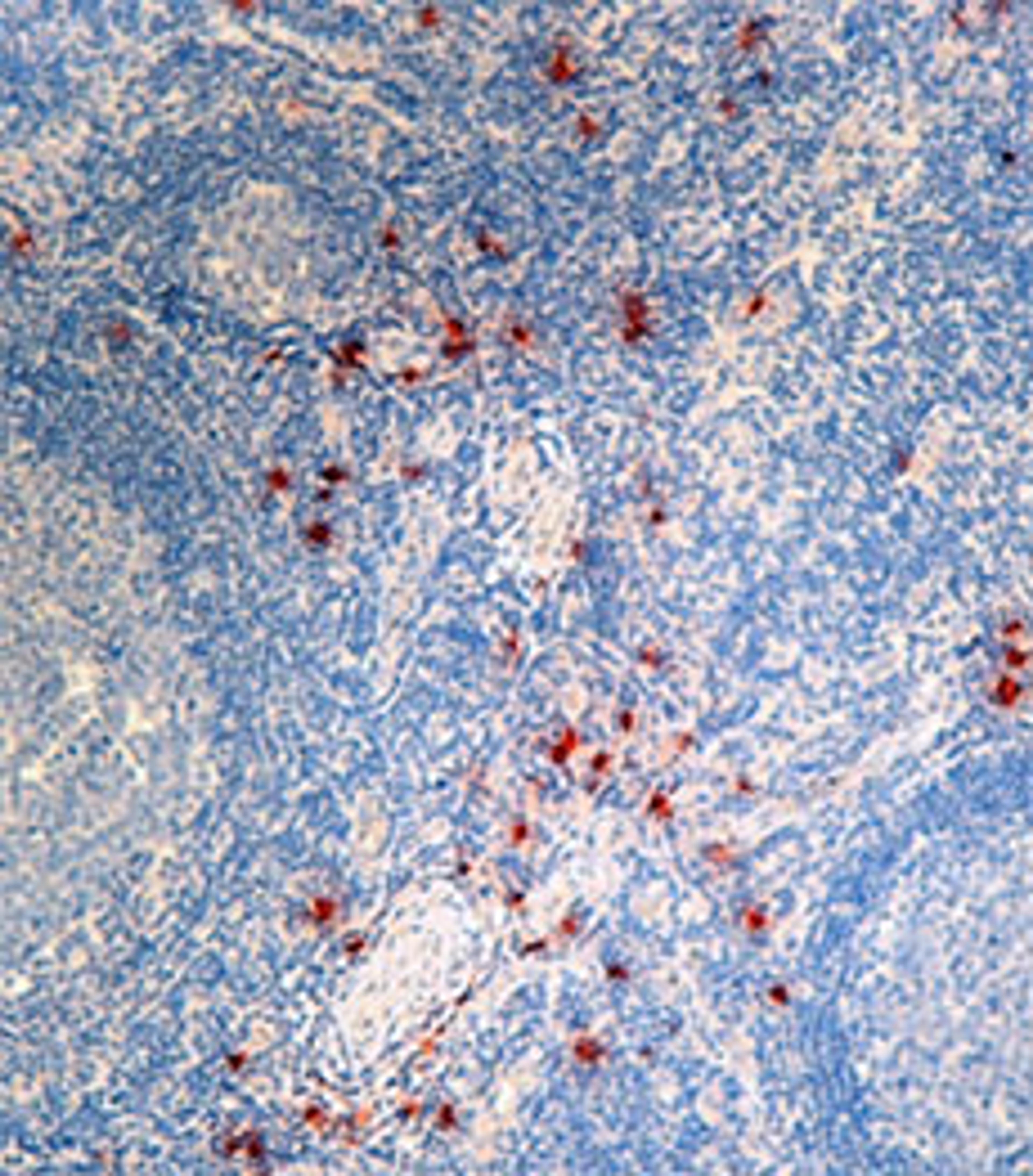
Purified anti-human Mast Cell Tryptase; Clone: AA1; Reactivity: Human, Cross-Reactivity: Monkey, Sheep (Ovine), Pig (Swine, Porcine), Cow (Cattle, Bovine), Dog (Canine), Cat (Feline), Horse (Equine); Apps: IHC, ICFC, ELISA, WB; Size: 100 µg
Biological Information
- Clonality: Monoclonal
- Host: Mouse
- Reactivity: Bovine, Cat (Feline), Cow, Dog (Canine), Horse (Equine), Human, Monkey, Pig (Swine), Pig (Swine), Sheep (Ovine)
- Clone: AA1
- Conjugate: PURE
- Isotype: Mouse IgG1, κ
- Gene: 7177
Handling
- Quantity: 100 microg
- Storage: 2°C-8°C
Applications
- ELISA (ELISA)
- Immunohistochemistry (IHC)
- Intracellular Flow Cytometry (ICFC)
- Western Blotting (WB)


