Product & ReviewsAntibodies
Purified anti-FOX3 (NeuN)
Product Details
- Cat. No.
- 834501
- Type
- Primary Antibody
- Clonality
- Monoclonal
- Host
- Mouse

The supplier does not provide quotations for this antibody through SelectScience. You can search for similar antibodies in our Antibody Directory.
Description
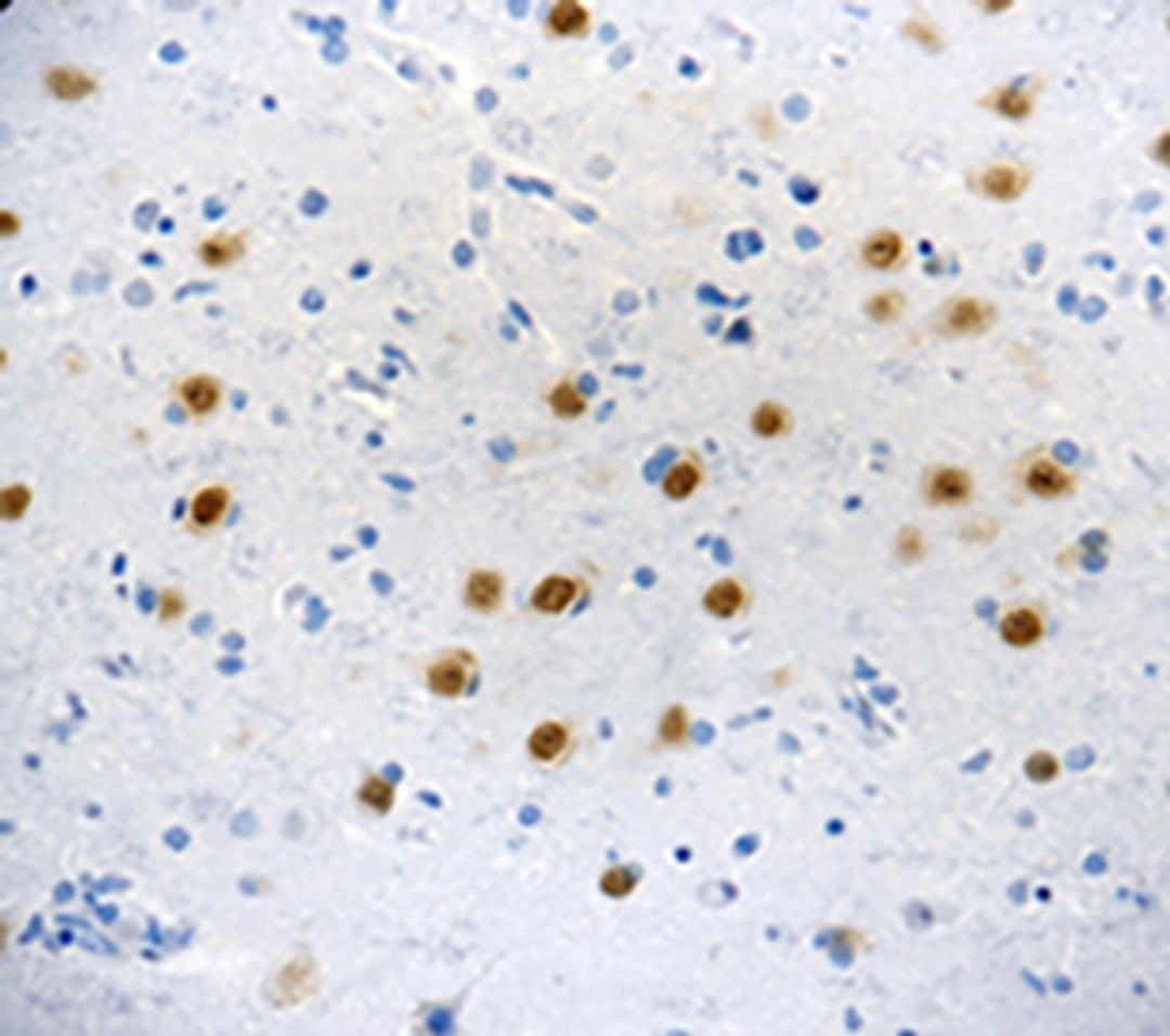
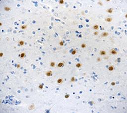
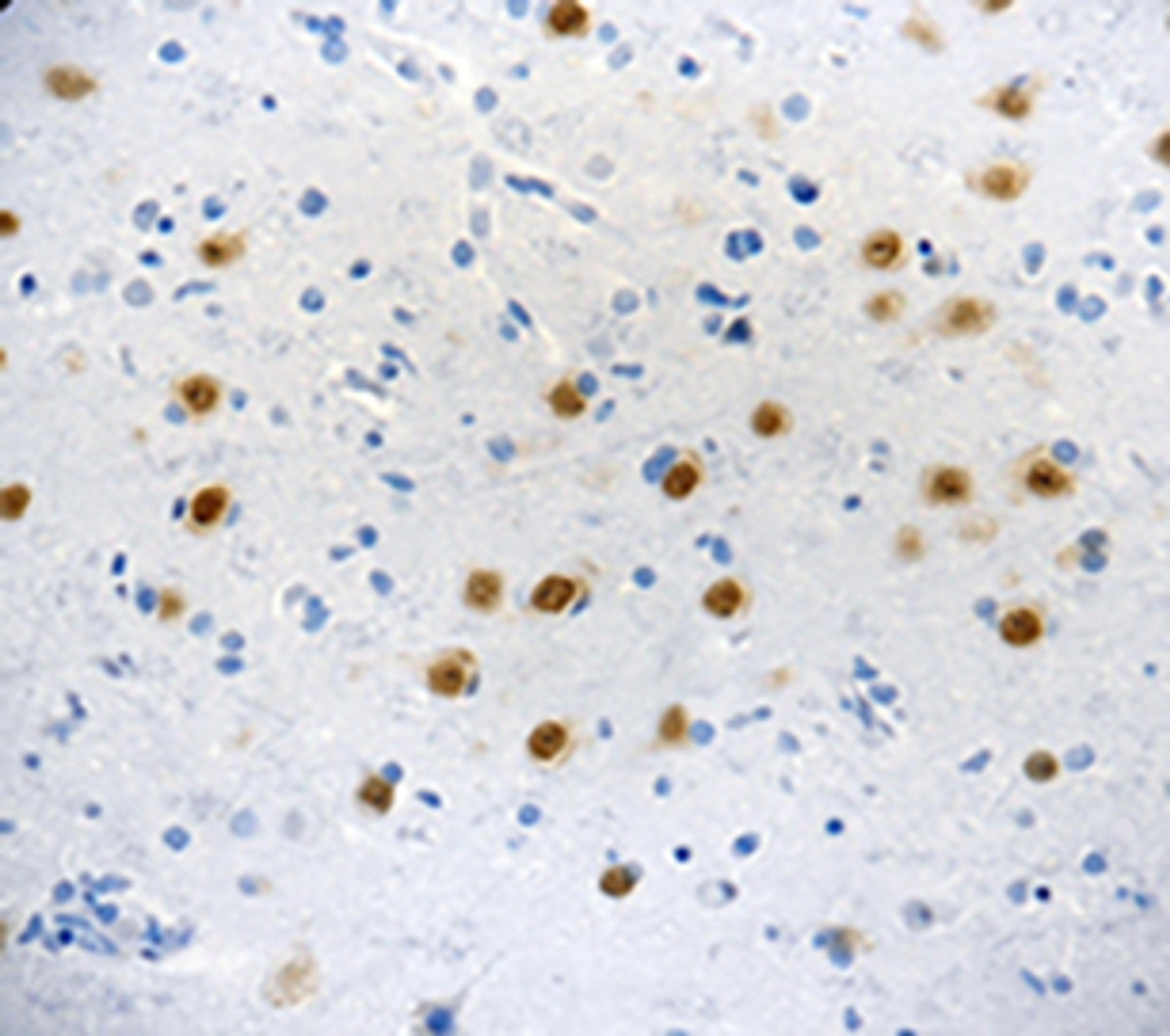
Purified anti-FOX3 (NeuN); Clone: 1B7; Reactivity: Human, Cow, Pig, Mouse, Rat, and other mammals; Apps: IHC, WB, ICC; Size: 100 μl
Biological Information
- Clonality: Monoclonal
- Host: Mouse
- Reactivity: Cow, Human, Mammalian, Mouse, Pig (Swine), Rat
- Clone: 1B7
- Conjugate: PURE
- Isotype: Mouse IgG2a
- Gene: 146713
Handling
- Quantity: 100 microl
- Storage: 2°C-8°C
Applications
- Immunocytochemistry (ICC)
- Immunohistochemistry (IHC)
- Western Blotting (WB)


