Product & ReviewsAntibodies
Purified anti-Cre Recombinase
Product Details
- Cat. No.
- 908001
- Type
- Primary Antibody
- Clonality
- Polyclonal
- Host
- Rabbit

The supplier does not provide quotations for this antibody through SelectScience. You can search for similar antibodies in our Antibody Directory.
Description
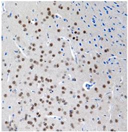
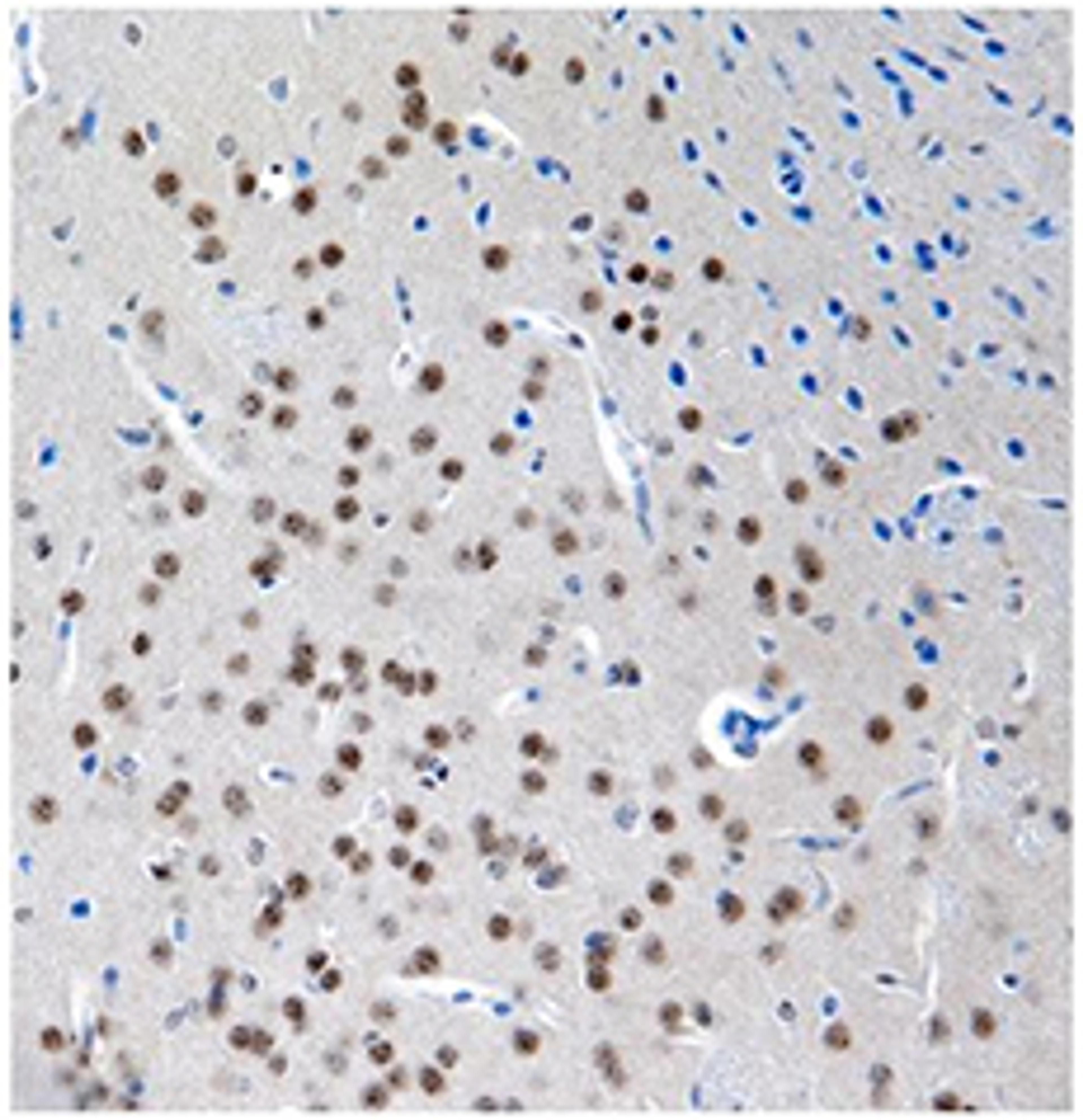
Purified anti-Cre Recombinase ; Clone: Poly9080; Reactivity: Bacteriophage Cre Recombinase; Apps: WB, IHC; Size: 200 μl
Biological Information
- Clonality: Polyclonal
- Host: Rabbit
- Clone: Poly9080
- Conjugate: PURE
- Isotype: Rabbit Polyclonal
- Gene: 2777477
Handling
- Quantity: 200 microl
- Storage: 2°C-8°C
Applications
- Immunohistochemistry (IHC)
- Western Blotting (WB)


