Product & ReviewsAntibodies
Purified anti-AMIGO-1
Product Details
- Cat. No.
- 827301
- Type
- Primary Antibody
- Clonality
- Monoclonal
- Host
- Mouse

The supplier does not provide quotations for this antibody through SelectScience. You can search for similar antibodies in our Antibody Directory.
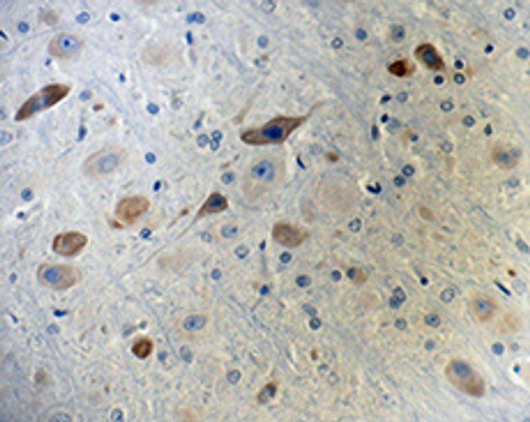
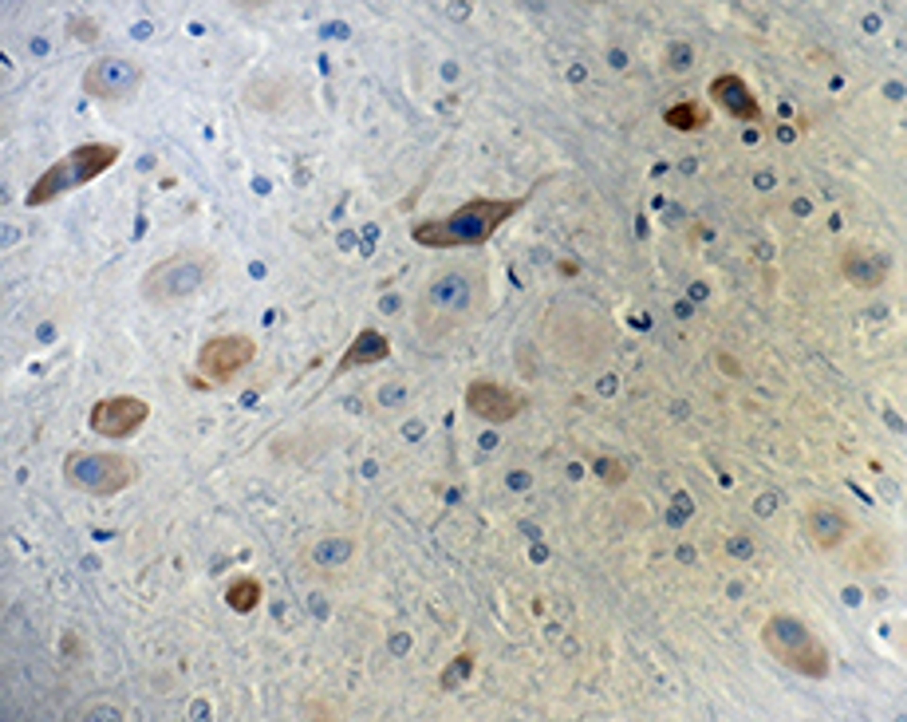
Description
Purified anti-AMIGO-1; Clone: L86/33; Reactivity: Human, Mouse, Rat; Apps: IHC, ICC, WB; Size: 100 μl
Biological Information
- Clonality: Monoclonal
- Host: Mouse
- Reactivity: Human, Mouse, Rat
- Clone: L86/33
- Conjugate: PUREAF
- Isotype: Mouse IgG2a
- Gene: 57463
Handling
- Quantity: 100 microl
- Storage: 2°C-8°C
Applications
- Immunocytochemistry (ICC)
- Immunohistochemistry (IHC)
- Western Blotting (WB)


