Product & ReviewsAntibodies
Purified anti-α-Synuclein, (C-Terminal Truncated x-122)
Product Details
- Cat. No.
- 848401
- Type
- Primary Antibody
- Clonality
- Monoclonal
- Host
- Mouse

The supplier does not provide quotations for this antibody through SelectScience. You can search for similar antibodies in our Antibody Directory.
Description
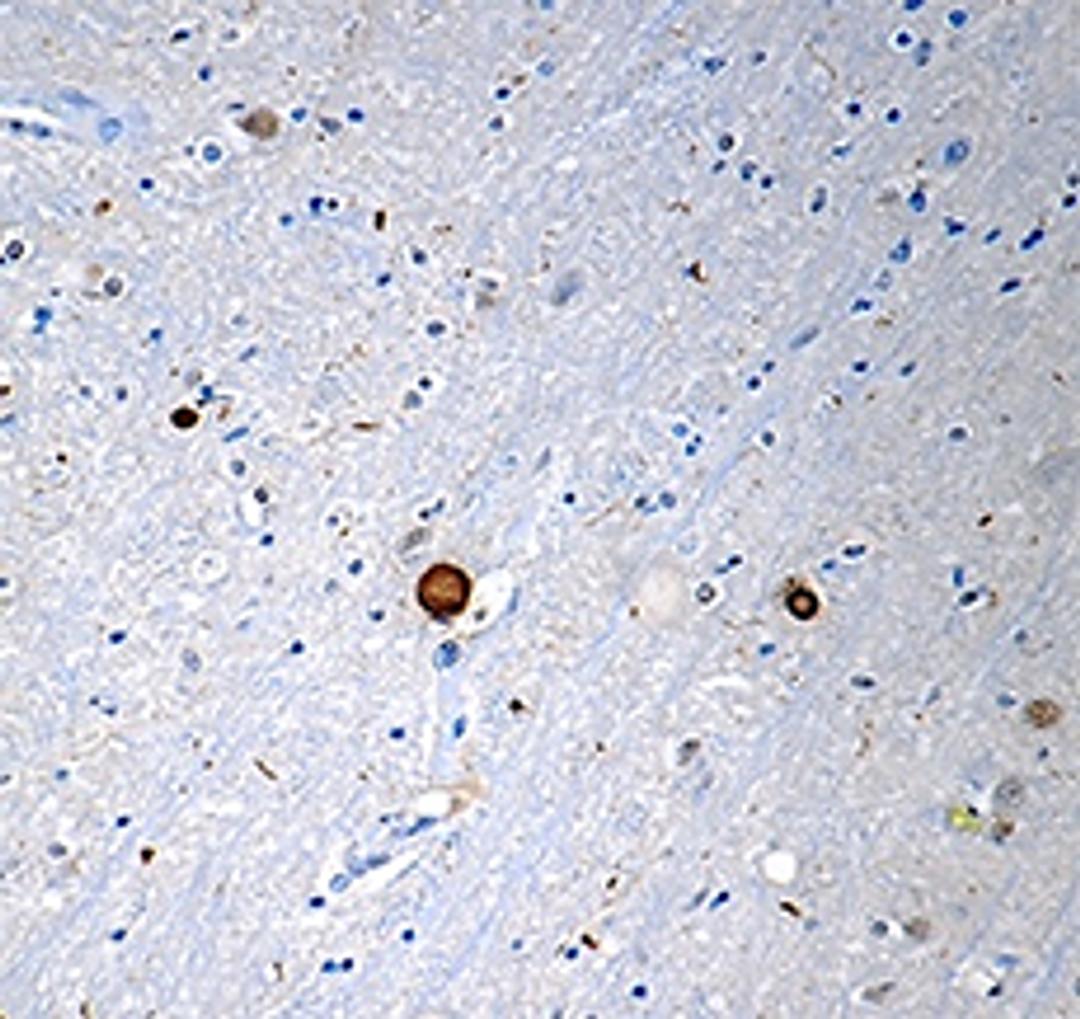
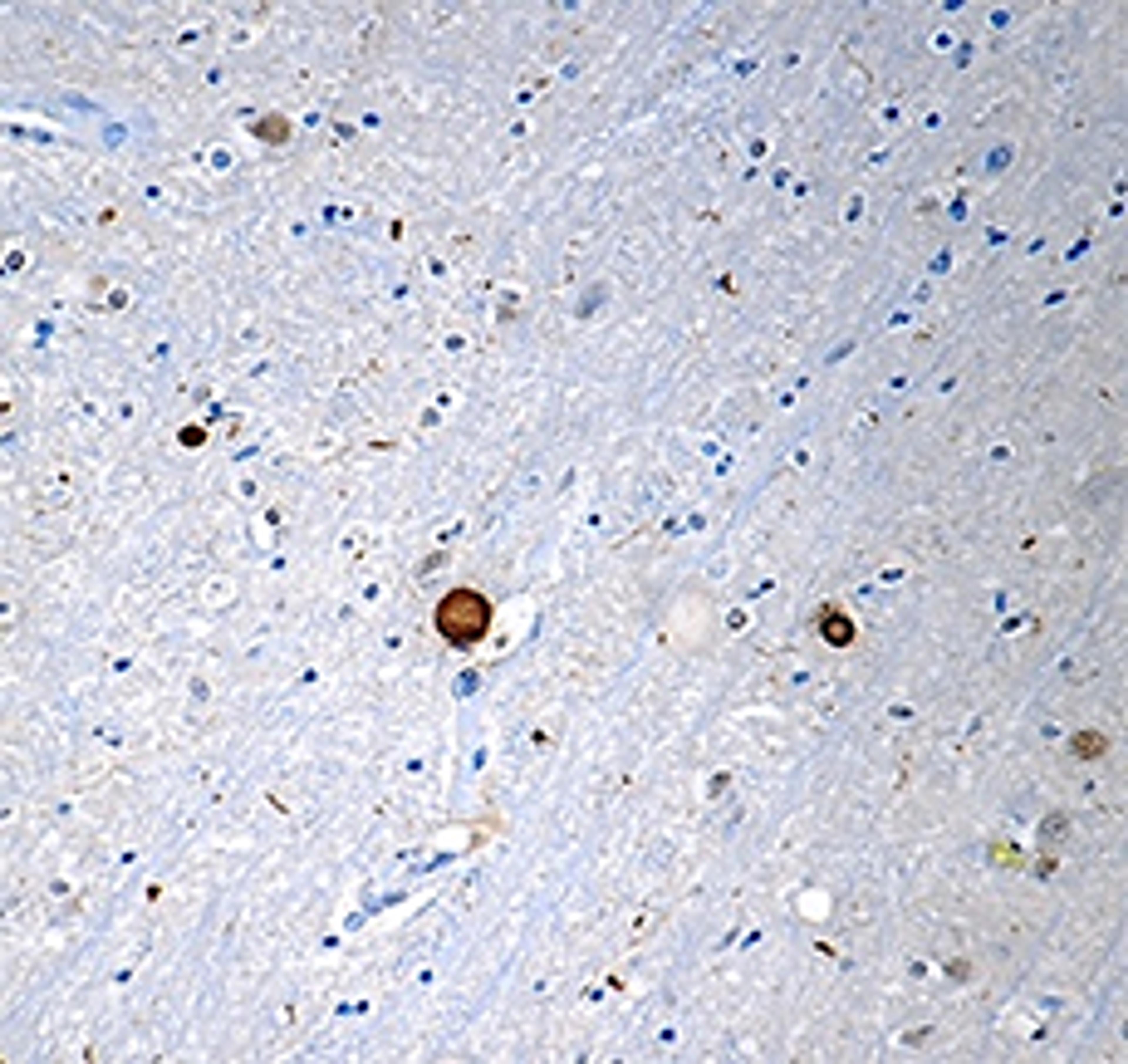
Purified anti-α-Synuclein, (C-Terminal Truncated x-122); Clone: A15127A; Reactivity: Human; Apps: IHC-P, Direct ELISA; Size: 25 µg
Biological Information
- Clonality: Monoclonal
- Host: Mouse
- Reactivity: Human
- Clone: A15127A
- Conjugate: PURE
- Isotype: Mouse IgG1, κ
- Gene: 6622
Handling
- Quantity: 25 microg
- Storage: 2°C-8°C
Applications
- ELISA (ELISA)
- Immunohistochemistry (Paraffin-Embedded Sections) (IHC (P))


