Product & ReviewsAntibodies
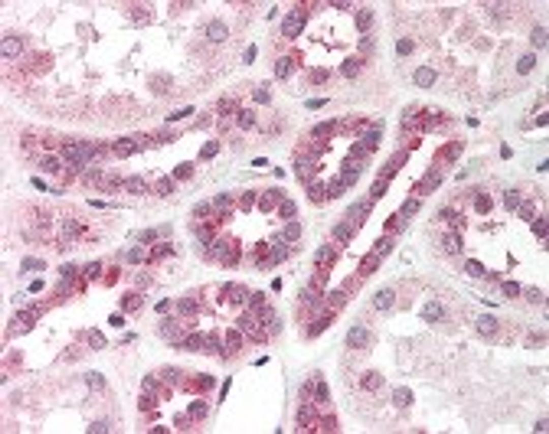
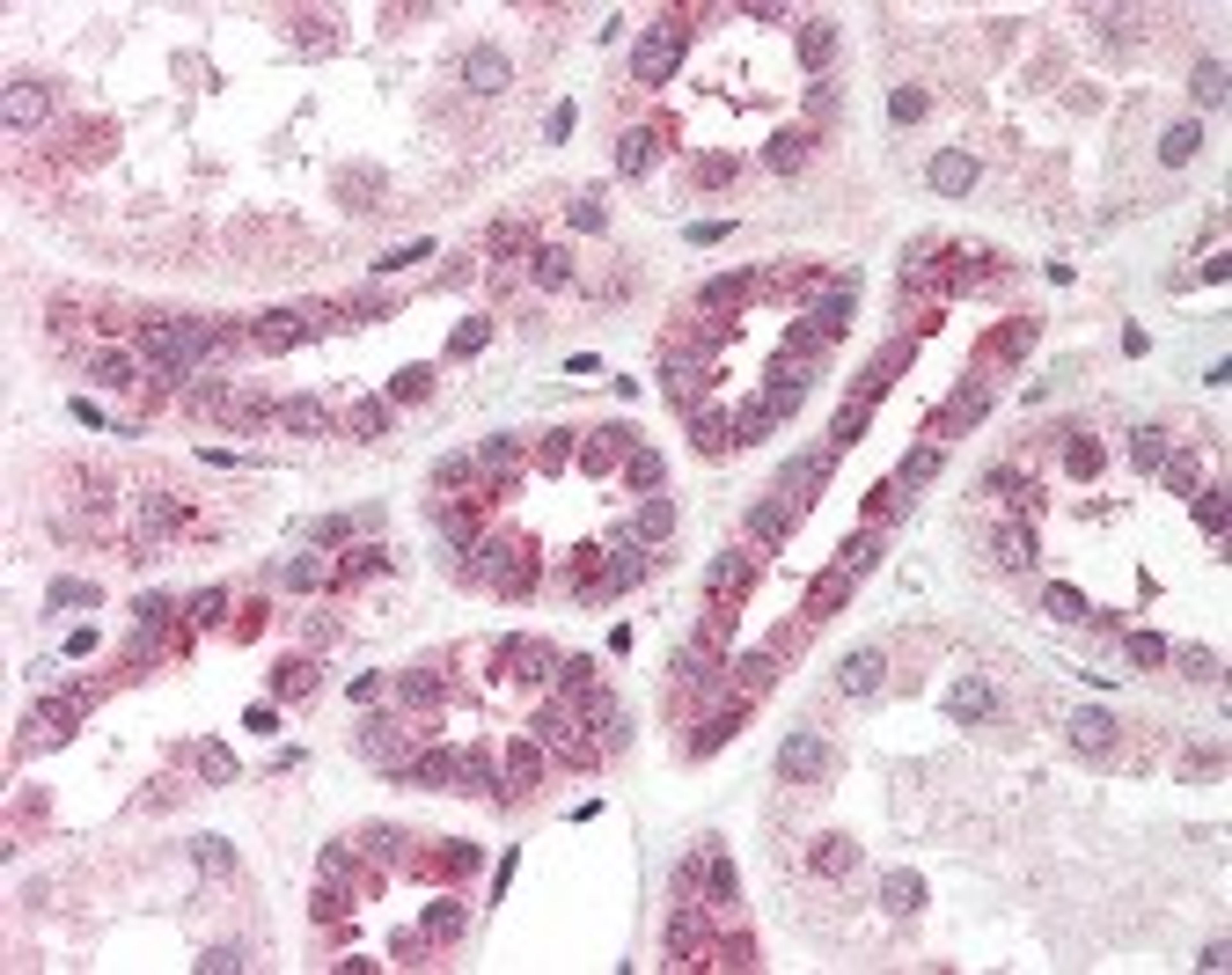
PNKP Antibody
Product Details
- Cat. No.
- 49-465
- Type
- Primary Antibody
- Clonality
- Polyclonal
- Host
- Rabbit

The supplier does not provide quotations for this antibody through SelectScience. You can search for similar antibodies in our Antibody Directory.
Biological Information
- Clonality: Polyclonal
- Host: Rabbit
- Reactivity: Chimpanzee, Human
- Antigen: PNKP
- Source: Immunoaffinity Chromatography
- Gene: 11284
Handling
- Quantity: 0.05 mg
- Storage: Short term: -20°C; Long term: -20°C.
- Buffer: 0.02 M potassium phosphate, 0.15 M sodium chloride, pH 7.2, 0.01% sodium azide.
Applications
- ELISA (ELISA)
- Immunofluorescence (IF)
- Immunohistochemistry (IHC)
- Western Blotting (WB)


