Product & ReviewsAntibodies
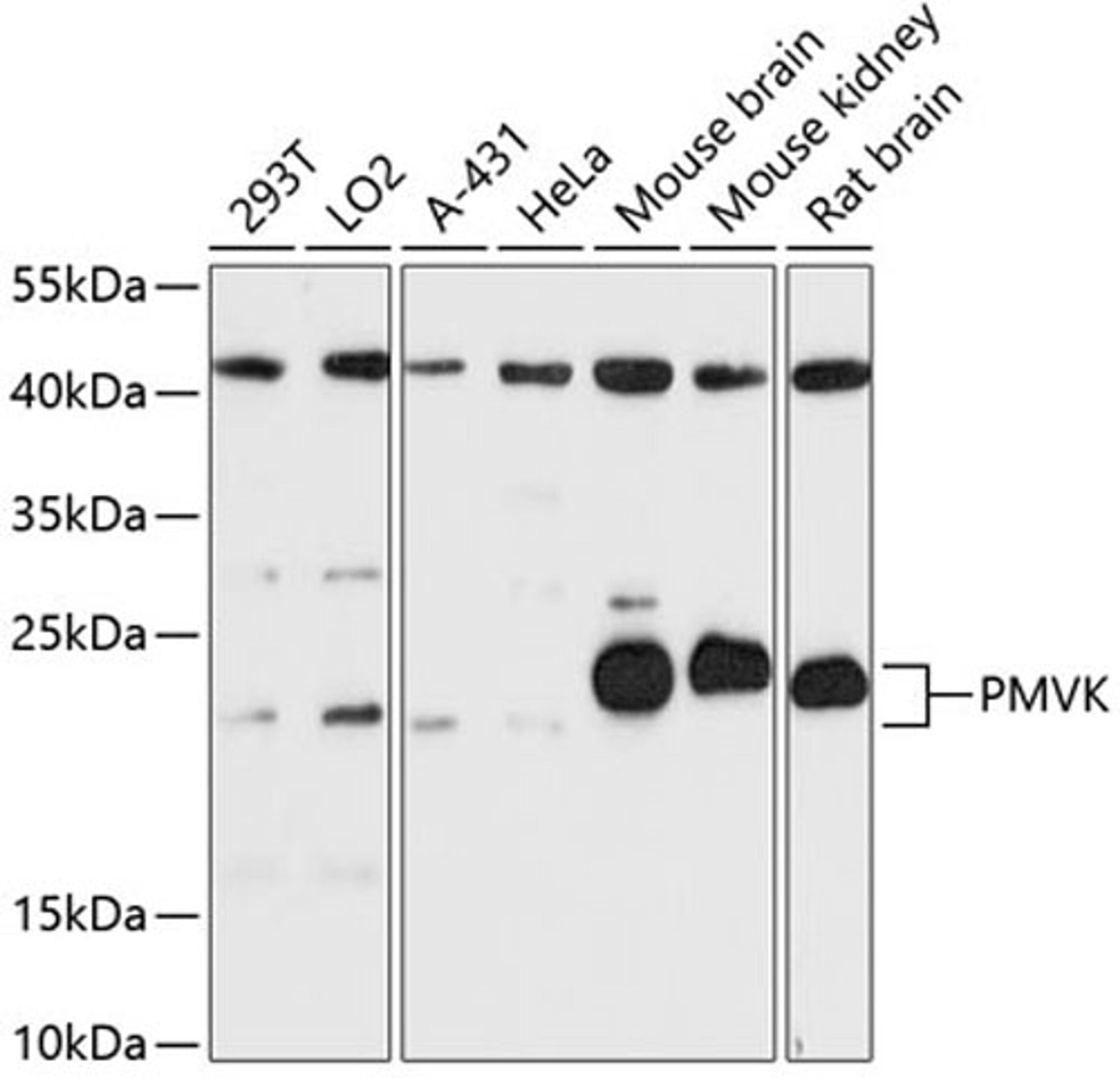
PMVK Rabbit pAb
Product Details
- Cat. No.
- A13865
- Type
- Primary Antibody
- Clonality
- Polyclonal
- Host
- Rabbit

The supplier does not provide quotations for this antibody through SelectScience. You can search for similar antibodies in our Antibody Directory.
Description
This gene encodes a peroxisomal enzyme that is a member of the galactokinase, homoserine kinase, mevalonate kinase, and phosphomevalonate kinase (GHMP) family of ATP-dependent enzymes. The encoded protein catalyzes the conversion of mevalonate 5-phosphate to mevalonate 5-diphosphate, which is the fifth step in the mevalonate pathway of isoprenoid biosynthesis. Mutations in this gene are linked to certain types of porokeratosis including disseminated superficial porokeratosis. Alternative splicing results in multiple transcript variants.
Biological Information
- Clonality: Polyclonal
- Host: Rabbit
- Reactivity: Human, Mouse, Rat


